
New international research on musculoskeletal trauma of the ankle, knee, shoulder, spine, and hands resulting from volleyball has identified the best imaging modality to use in a range of clinical situations.
"Radiography should initially be performed to diagnose or rule out acute osseous injury," noted Dr. Daichi Hayashi, PhD, research assistant professor of radiology at Boston University School of Medicine, in an e-poster presentation at RSNA 2016. "Radiographically occult fractures may be detected using CT or MRI if clinically suspected."
Use ultrasound for initial diagnosis of muscle, tendon, and ligament injuries, and for injuries of deep structures or large/extensive lesions. MRI can depict a larger region of interest, with more detailed anatomical information of the type and extent of lesion, he added.
Volleyball has become one of the most popular sports worldwide, and is played by around 500 million people. Injuries can be acute or due to overuse. Often acute injuries are related to trauma in a match or training, while overuse injuries are related to repetitive mechanical stress over time, stated Hayashi, who was previously based at King's College London School of Medicine.
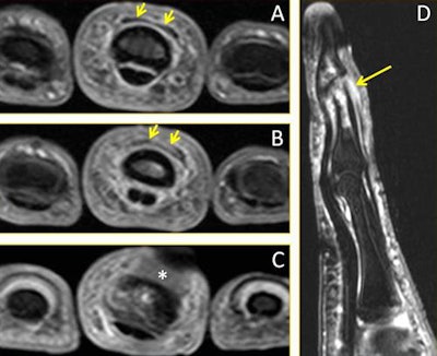
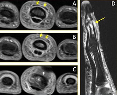
 A 28-year-old male volleyball player with a finger injury. Consecutive axial fat-suppressed T2-weighted MR images of the third finger: (A) Proximally, there is normal appearance of the distal extensor tendon (short arrows); (B) Distally to A, the distal extensor tendon is thickened with increased signal intensity (arrows); (C) More distally to B, the distal extensor tendon is no longer depicted (*), consistent with a complete distal rupture. (D) Sagittal fat-suppressed T2-weighted MR image of the third finger depicts the complete rupture of the distal extensor tendon (arrow). The associated impaction fracture and bony contusions about the distal interphalangeal joint also are seen. Image courtesy of Dr. Daichi Hayashi, PhD.
A 28-year-old male volleyball player with a finger injury. Consecutive axial fat-suppressed T2-weighted MR images of the third finger: (A) Proximally, there is normal appearance of the distal extensor tendon (short arrows); (B) Distally to A, the distal extensor tendon is thickened with increased signal intensity (arrows); (C) More distally to B, the distal extensor tendon is no longer depicted (*), consistent with a complete distal rupture. (D) Sagittal fat-suppressed T2-weighted MR image of the third finger depicts the complete rupture of the distal extensor tendon (arrow). The associated impaction fracture and bony contusions about the distal interphalangeal joint also are seen. Image courtesy of Dr. Daichi Hayashi, PhD.Recent studies show the incidence of volleyball-related injuries is between 1.7 and 3.0 injuries per 1,000 hours of play, and many injuries occur due to repetitive jumping and hitting the ball overhead, he pointed out. Most injuries occur among players in front-line positions, which is where jumping and landing occur most often. Most injuries involve the lower extremities, and match injuries are more frequent than training injuries.
Across all age and sex groups, the ankle was the most commonly injured body part (26%), followed by the knee (15%), hand/finger/thumb (13%), and lower back (9%), according to data from the International Volleyball Federation (FIVB) Injury Surveillance System (ISS) based on 32 major FIVB events (23 senior and nine junior) held between September 2010 and November 2014.
Hayashi and colleagues described the type of injuries that occur in the following body regions:
- Ankle -- Acute ankle sprain is the most commonly reported injury in volleyball players, contact-related inversion sprains accounting for the vast majority. They mainly occur in players in front-line positions (attackers, blockers).Very often the attacker is taken across the center line when trying to catch a set that is too low and too close to the net. Then the blocker, who jumps later than the attacker for tactical reasons, may land on the attacker's foot under the net, thereby being exposed to a risk of ankle sprain.
- Knee -- Acute ligamentous injuries in the knee occur in players executing jumping and landing movements (after blocking or "spiking" the volleyball), especially in players in front-line positions (blockers and attackers at the net). A tear of the anterior cruciate and medial collateral ligaments can occur after a valgus force is applied when landing. Anterior knee pain is common, and most commonly is due to patellar tendinopathy (= jumper's knee). Most knee injuries do not involve direct external contact to the injured body part and are likely to represent chronic or overuse injury (e.g., patellar tendinopathy, chronic meniscal, or cruciate/collateral ligament injuries).
- Shoulder -- Repetitive overhead swinging of the arm probably is the main mechanism of overuse shoulder injuries in volleyball, especially during spiking. Such injuries are more likely to occur in attackers and jump servers than setters, and are more commonly related to noncontact overuse injuries. The force imparted to the ball during spiking or serving mainly originates from the torso, and the scapula is responsible for providing a stable base of support in a way that the upper extremity will be correctly placed during the overhead actions. The shoulder girdle is exposed to an exceptional cumulative load related to repetitive spiking and serving, and may be a risk factor for rotator cuff impingement or labral damage.
- Hand/finger injuries -- Direct contact of the hands and fingers with the volleyball is the main cause of these injuries, which may occur while setting, spiking, serving, or blocking, and many injuries are acute. The majority are ligament and capsule sprains. Receivers may be at risk of tendinopathy and superficial neuropathy, especially at the first dorsal extensor compartment of the hand/wrist. De Quervain's tenosynovitis can occur due to repeated microtraumas at the dorsal and radial aspect of wrist, which is employed in the volleyball receiving position. Mallet finger injuries can occur when an extended finger is struck on the tip by the ball, and it is due to a flexion force applied on the tip of the finger, while the distal interphalangeal joint is fully extended.
- Back/spine injuries -- The stresses and load resulting from repetitive spiking and jumping make the lower back at risk for overuse injuries. Most are overuse-related, and lower-back muscle strains are most common. Intervertebral disk herniation and degeneration are the second most common category. When spiking the volleyball, some movements of the spine increase the risk of injury, including twisting, flexing, lateral bending, and other asymmetrical motions. Repetitive flexion of the spine may lead to disk degeneration, bulging, and disk herniation posteriorly. Repetitive hyperextension of the spine can lead to spondylolysis and spondylolisthesis.
Figures from the National Electronic Injury Surveillance System of the U.S. Consumer Product Safety Commission show that 692,024 volleyball-related injuries have occurred in people younger than 18 years old. Upper (48%) and lower (39%) extremity injuries occurred most frequently, and a strain/sprain is the most common type of injury. A fall to the ground is the most common mechanism of injury, and injuries in children may affect the physeal plates and apophyses.
The co-authors of the RSNA exhibit were Drs. Akira M. Murakami and Ali Guermazi, both of Boston University School of Medicine; Frank W. Roemer, from Boston University School of Medicine and University of Erlangen-Nuremberg, Germany; Yogesh Kumar, Yale New Haven Health at Bridgeport Hospital, Connecticut; and Michel Crema, Saint-Antoine Hospital, Paris VI University, France.
The authors disclosed that Ali Guermazi is president of Boston Imaging Core Lab (BICL), and a consultant for Merck Serono, Astra Zeneca, TissueGene, Genzyme, and Ortho Trophix. Frank Roemer is a BICL shareholder.



















