Brain F-18 DOPA PET imaging is an increasingly valuable tool to study the dopaminergic pathway to differentiate Parkinson's disease (PD) from other parkinsonian syndromes (PS), researchers have reported.
“It is important to distinguish between PD and other PS, including essential tremor, drug-induced, vascular, and psychogenic parkinsonism,” noted radiologist Dr. Magali Hovsepian, medical director of TCba Diagnostic Center in Buenos Aires in Argentina, and colleagues, adding that clinical differentiation between PD and other causes of PS is not always possible and accurate diagnosis is vital for treatment selection.
Also, the technique is indicated to detect atypical cases and early onset PD with mild symptoms and to evaluate patients with no appropriate response to treatment. “In PD patients, [F-18] DOPA PET shows a characteristic pattern of striatal decrease uptake from the back to the front, first losing the ‘tail’ of the ‘comma’. This pattern is not present in other PS,” they stated.
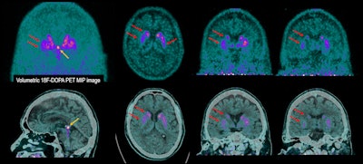
46-year-old man with involuntary tremors and muscular stiffness in right upper and lower limb. He was referred due to loss of sense of smell (anosmia), which started more than 10 years previously. Electromyography was normal, but mild cognitive impairment was apparent. Brain F-18 DOPA PET scan shows decreased tracer uptake in left putamen (red arrows) and, to a lesser extent, in the left caudate nucleus (yellow arrow), reflecting dopamine pathway deficiency, compatible with early onset Parkinson's disease. Right striatum with normal typical “comma shape” uptake. (A) PET images. (B) CT images. (C) Fused PET/CT images. All figures courtesy of Dr. Magali Hovsepian et al and presented at ECR 2025.
PD is the second most frequent neurodegenerative disorder, with increased incidence due to the aging population, and it is a leading cause of disability and high health costs. In normal subjects, neurons in the substantia nigra produce dopamine that is transported and released in the striatum through the dopamine pathway. Reduction of dopamine in the striatum (lenticular and caudate nucleus) affects motor control, according to Hovsepian, who is also a director of the Argentinian Society of Radiology (SAR), and her colleagues.
PD is characterized by the progressive degeneration of dopaminergic neurons in the substantia nigra, causing striatal dopamine deficiency, they continued. The clinical symptoms include resting tremors, muscle rigidity, bradykinesia (cardinal motor manifestations), and other symptoms, including impaired balance, speech and writing problems, loss of smell, etc.
“Parkinsonian syndromes are a group of conditions including essential tremor, drug-induced, vascular, and psychogenic parkinsonism that share clinical symptoms with PD, mainly motor signs,” the authors pointed out in an ECR 2025 e-poster. “However, these PS are not associated with striatal dopamine deficiency. In many cases neurologists can differentiate PD from other causes of Parkinsonism, but it is not always possible and accurate diagnosis is necessary for adequate patient treatment selection.”
70-year-old man with involuntary movements and tremors in the left lower limb for two years. He also suffered from anxiety and depression. History of treatment with clebopride due to functional gastrointestinal disorders. This dopamine antagonist drug could explain altered movements of pharmacological origin. Brain PET scan with F-18 DOPA shows evident decrease in tracer uptake in both striatum nuclei with right predominance (red arrows), depicting presynaptic dopaminergic deficit of the nigrostriatal pathway, compatible with Parkinson´s disease. (Yellow arrow) Incidental tracer uptake in calcified pituitary gland. (Upper row) PET images. (Lower row) Fused PET/CT images.
F-18 DOPA is an amino acid analog to natural L-DOPA, a dopamine precursor. The radiotracer reaches the nigrostriatal pathway and is converted to F-18 fluoro-dopamine, so the decrease in its uptake depicts dopamine terminal loss, distinctive of PD, they pointed out. “Consequently, evaluating striatal [F-18] DOPA uptake with a brain PET scan is a reliable tool to differentiate PD from PS and may change treatment.”
A previous study by Ibrahim et al (J Nucl Med Mol Imaging 2016;6(1):102-109) showed a 95.4% sensitivity and 100% specificity of F-18 DOPA PET for detecting dopamine deficiency. The technique is also currently indicated to detect early onset PD with mild symptoms, as well as atypical cases, and to evaluate patients with no appropriate response to treatment. Additionally, it is recommended to help distinguish between dementia with Lewy bodies (DLB) and Alzheimer's disease (AD).
76-year-old woman with involuntary movements and tremors in the upper limbs, disorientation, and cognitive impairment (memory loss). Brain F-18 FDG PET scan shows significant decrease in cortical metabolism in the temporal lobes (red arrows) and parietal regions (yellow arrows), lobes that are usually affected both in dementia with Lewy bodies (DLB) and Alzheimer’s disease (AD). In this case, involvement of the occipital lobes is also seen (green arrows), which is not usually seen in AD. Cortical involvement is slightly asymmetrical, with the right side being more involved. A slight decrease in radiotracer concentration is also observed in the frontal lobes. The pattern of cortical metabolism involvement is compatible with DLB, also known as Lewy body dementia.
Brain F-18 DOPA PET imaging can show in vivo the nigrostriatal dopaminergic system, the researchers noted. The physiological biodistribution pattern of F-18 DOPA in the body includes high uptake in the basal ganglia, pancreas, adrenal glands, and excretion in urinary and biliary tracts. Normal striatum uptake has a typical “comma” shape and is symmetrical. Also, in PD patients, the decreased uptake may be symmetrical or asymmetrical, and the abnormal striatal uptake is contralateral to motor symptoms.
F-18 DOPA PET images can be fused with CT or MRI images, providing anatomical detail to the evaluation.
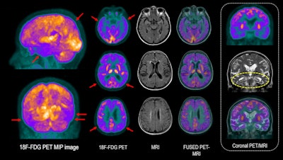
75-year-old woman with anosmia, bradykinesia, mild resting tremor in the right arm, and cognitive impairment. Patient is currently on levodopa treatment, with improvement of motor symptoms. Brain F-18 FDG PET scan shows decreased metabolism in the temporal and parietal lobes (red arrows), with left predominance. To a lesser extent, a slight decrease in cortical metabolism is observed in the frontal regions. MRI shows mesial temporal lobe atrophy with slight decrease in bilateral hippocampal volume (MTA 2) (yellow circle), with reduced metabolism evident in PET images. PET/MRI reflects cortical involvement with Alzheimer's disease-type neurodegenerative pattern.
Patient preparation includes solid food fasting for six hours before examination, and adequate hydration is recommended. 24 hours before the PET scan, patient treatment with L-DOPA or other antiparkinsonian drugs should be suspended, the Buenos Aires team emphasized, adding that pretreatment with 200 mg of carbidopa orally (peripheral dopa decarboxylase inhibitor) 60 minutes before radiotracer injection is routinely indicated. “It is a common practice that increases the availability of DOPA to the brain and reduces the absorbed dose to the bladder and kidneys. IV injection of 5 mCi of [F-18] DOPA is the usual dose in adult patients.”
PET image acquisition should start between 70 and 90 minutes after the radiotracer intravenous injection. Patients should be in a supine position, headfirst in a dedicated holder with arms along the body, and movements during the examination should be avoided. PET scans must include the whole head, they confirmed.
You can read the full ECR poster on the ESR's EPOS site. The co-authors were Drs. J. San Roman, C. Collaud, G.B. Amorin, and N. Pabstleben.




















