
The results of a Dutch population study, to be discussed at this week's European Society for MR in Medicine and Biology (ESMRMB) meeting in Toulouse, France, show that intraplaque hemorrhage is a stronger indicator of a cardiovascular event than plaque fat content.
Also, preliminary research due to be outlined at the same conference, suggests children exposed to cannabis or smoking during fetal development have thinner cortical brain thickness associated with poorer cognitive performance in later life, according to Dr. Gabriel Krestin, PhD, immediate past president of the European Society of Radiology (ESR). In Thursday morning's keynote lecture about population imaging for disease prevention, he will present the latest results from the Rotterdam Study and outline the dramatic impact such results may have on disease prediction, diagnosis, and treatment.

Not to be confused with population screening, population imaging is epidemiological research done through large-scale imaging in unselected and nondiseased population cohorts, explained Krestin, chair of the radiology department at Erasmus MC, University Medical Center Rotterdam in the Netherlands. These projects aim to find out determinants such as biochemical, genetic, or imaging biomarkers for the prediction of clinical outcomes.
"We want to know whether certain markers and particularly imaging biomarkers allow us to predict who will develop certain chronic common diseases such as neurodegenerative disease (Alzheimer's), cardiovascular disease, osteoarthritis, or psychiatric diseases like depression," he told AuntMinnieEurope.com in a precongress interview.
The 22-year-old Rotterdam Study in the city's neighborhood of Ommoord includes 15,000 people 45 years old and older. These subjects repeatedly undergo extensive examinations such as blood samples, cognitive tests, behavioral questionnaires, and since 2006, MRI of the brain, of the carotid arteries, or of their knees on a dedicated scanner installed in the Ommoord research center.
The discovery that hemorrhage within a carotid artery plaque is highly correlated to fatal cardiovascular events is one of the study's most recent major achievements, Krestin noted.
"Until recently, it was thought that lipid content of plaque indicated vulnerability. We now know that hemorrhage is an even stronger indicator of a plaque that may rupture," he said. "Intraplaque hemorrhage puts subjects at a high risk of dying of cardiovascular disease in the next couple of years."
This new concept, a direct outcome of the Rotterdam project, has been demonstrated in smaller studies, but now must be verified in larger populations to have an impact on patient care.
The MRI and biochemical data can be combined with CT to study arterial calcification in the thoracic aorta, coronary, and carotid arteries and in the intracranial arteries in a subset of the Ommoord cohort. Preliminary results in the study of 2,600 unselected elderly people scanned on a CT system at the Erasmus Medical Center has recently shown that calcification in the intracranial arteries is a very strong predictor of stroke development later in life.
"Subjects with such calcification in the intracranial arteries can be at increased risk of stroke. Timely detection could allow doctors to treat patients in advance with statins or other drugs to decrease stroke in these patients. Until recently, it was thought that carotid artery plaque was the best predictor of stroke but intracranial calcification may be the stronger indicator," Krestin said.
Population imaging will provide further insight into what roles risk factors play, both qualitatively and quantitatively, in the morphologic substrates underlying disease development, according to Dr. Gabriel Krestin, PhD. Image courtesy of the ESR.
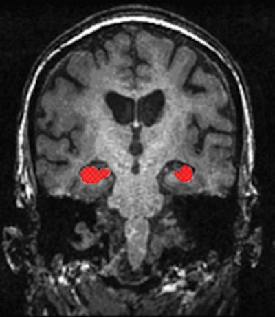
The studies in Rotterdam and similar studies elsewhere have revealed a myriad of results, he added. Notably, that size of the hippocampus is associated with development of Alzheimer's; subjects with smaller or accelerated atrophy rate of the hippocampus are more prone to develop cognitive impairment and Alzheimer's disease.
"We have also found common mutations in the gene sequence of humans that are associated with imaging phenotypes like the volume of the hippocampus. As and when some of these imaging biomarkers, in this case the size of the hippocampus, are validated through large studies, they could become screening tools," he said.
Early diagnosis of Alzheimer's through screening will become increasingly important as drugs are developed to combat the disease. Furthermore, biomarkers to help monitor treatment effects will have a direct impact on drug development and individual treatment strategies.
Another part of the study that began 10 years ago is Generation R. It follows 10,000 children located all over Rotterdam from development in the mother's womb to the age of 18. At the age of 8, all subjects are to be scanned with a dedicated 3-tesla MR unit.
Pilot studies have looked at the effects of smoking or cannabis use during pregnancy on the brain development of the children later in life. One of the imaging biomarkers that may signal abnormal effects is cortical brain thickness. Preliminary results in this multiethnic pediatric group show certain parts of the brain are less developed in exposed children than in nonexposed children between 6 and 8 years old.
"Cortical thickness in certain areas of the brain is less in children who have been exposed to smoking or cannabis use during the mother's pregnancy. We have also found that the frontal cortex is thinner in children of depressed mothers. We don't know what mechanism causes this, but the result is that the children's cognitive or emotional performance may be impaired later in life," Krestin said.
This year the Generation R study has been rolled out to large-scale imaging studies looking at brain, lungs, and heart development, as well as body fat tissue measurement to look into metabolic disease.
Along with findings from the Age, Gene/Environment Susceptibility (AGES) study in Iceland, as well as the Atherosclerosis Risk in Communities (ARIC) study, Cardiovascular Health Study (CHS), and the Framingham Heart study in the U.S., Krestin hopes that genomic and imaging data from the Rotterdam study can help prove more associations through large numbers of cases and controls.
"Population imaging is an exciting new area with probably not more than 10 large scale studies worldwide that include advanced imaging examinations. We should join forces in order to be better able to correlate genetic mutation to certain imaging phenotypes," he said. "Concentrated action is needed to pool data for even more powerful results."
He thinks population imaging will provide further insight into what roles risk factors play, both qualitatively and quantitatively, in the morphologic substrates underlying disease development. Dedicated infrastructures and large-scale collaborations can help to produce meaningful information and correlation with outcomes and genetic information may provide valuable details about risk profiles and disease prediction, Krestin concluded.