
Radiologists need to know the essentials about head and neck, brain, and spinal injuries from skiing and snowboarding and about how CT and MRI can help in challenging cases, according to new research presented at the RSNA 2020 meeting by Swiss trauma experts.
"Although injury patterns after skiing and snowboarding accidents differ, injury severity does not differ significantly," noted Dr. Mariana Dalaqua and colleagues from the neuroradiology unit at Hôpital du Valais, Sion. "An understanding of mechanisms of injury, risk factors, and preventive measures may decrease the incidence of winter sports-related injuries."
Around 200,000 skiers and snowboarders a year present to emergency departments in the U.S., and about 7,000 patients require hospitalization, they explained. Neurological injuries are the leading cause of death and disability, despite accounting for only a small fraction of injuries overall, and men and experienced skiers and snowboarders tend to be more at risk of serious injuries.
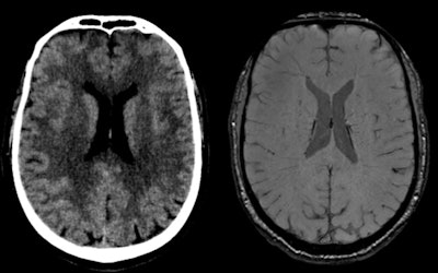
Traumatic brain injury in 64-year-old male skier who had seizures after trauma (broken helmet, Glasgow Coma Scale [GCS] 9/15), psychomotor agitation). CT (left) shows linear hyperdensity adjacent to septum pellucidum. MRI (right) shows susceptibility artifact compatible with hemorrhagic residue in contact with middle part of septum pellucidum on its right lateral surface above the fornix. All figures courtesy of RSNA 2020 and Dr. Mariana Dalaqua.Head and neck injuries account for between 3% and 15% of all injuries. Traumatic brain injury (TBI) is more common in young skiers, children, and adolescents, and brain injuries are the most common severe traumatic injuries associated with skiing, and the injuries with the highest fatality prevalence, Dalaqua and colleagues pointed out in a digital poster.
Disturbances in consciousness or signs of concussion have been reported in 22% to 42% of skiing-related head injuries. Notably, the incidence of head injuries and of potentially serious head injuries has decreased with the widespread use of helmets.
The most frequent causes of head injuries are falling and collisions with an object other than the skiing surface and falling. Concussion is a common head injury, along with open wounds of the scalp and face.
Spinal injuries
Spinal injuries rank as the third most common, after head and abdominal injuries, for critical injuries among patients with severe skiing lesions. They account for between 1% and 13% of all skiing and snowboarding injuries, and peripheral nerve injuries constitute less than 1% of reported cases.
A 28-year-old woman suffered trauma during sledging. Acute fracture of L1 vertebral body with height loss and small backward retreat of posterior wall, as well as multifragmentary sacral fracture, prevertebral, and presacral hematomas. Residual right L5 radiculopathy after surgical fixation."Spinal injuries are a major cause of permanent disability and appear to be increasing among skiers and snowboarders," the researchers said. "Spinal injuries in skiers have been traditionally much less common than in snowboarders, but this disparity is likely to diminish with the recent trend of incorporating snowboarding moves into skiing."
Thoracolumbar spine injuries are more common than cervical spine or sacral lesions. Anterior thoracolumbar abnormalities are a result of excessive loading of the spine, which increases when the athlete is flexed forward. Because elite skiers begin training at an early age, it is likely that the anterior endplate lesions are a result of an imbalance between the applied load and the loading capacity of the immature spine.
What's the value of CT and MRI?
Skiers and snowboarders admitted to the emergency room with head or spinal trauma require a fast assessment, and in this context CT is preferred to MRI due to its availability and lack of absolute contraindications.
"CT depicts very clearly facial and skull fractures, as well as extra-axial hemorrhage (epidural, subdural, and subarachnoid bleeding). Brain contusions can also be characterized, especially the hemorrhagic ones, but are usually more obvious only after a few hours, as vasogenic edema becomes more evident," the Sion group pointed out.
A normal CT is one of the factors that define a brain injury as mild. Initial findings representing diffuse axonal injury can be really subtle and should be further investigated with MRI in cases of high kinetic energy trauma with normal CT and clinico-radiological dissociation, they added.
Cervical pain in 57-year-old man after ski fall. Fracture of base of C2 odontoid process with lesion of anterior longitudinal ligament, prevertebral hematoma, and narrowing of left vertebral foramen, without arterial dissection.Even in the absence of skull or cervical fractures, patients may present with vascular injuries, so a high degree of suspicion is required from the examiner. Mechanisms of hyperflexion, hyperextension, acceleration, or deceleration should raise a red flag and elicit a more comprehensive investigation. In the acute setting, CT angiography is preferred over MR angiography if the patient presents with one of these mechanisms and/or skull base fractures and/or cervical fractures involving the vertebral foramina.
CT of the spine highlights fractures and dislocations, raising suspicion of ligament and spinal cord injuries, but MRI has superior sensitivity for these injuries and can confirm soft tissue lesions, vertebral canal hemorrhages, and spinal cord injuries.
Peripheral nerve trauma is often associated with orthopedic trauma, so CT is the modality of choice in such cases. MRI of the brachial or the lumbosacral plexus, or of the affected limb, is usually necessary to enable the direct visualization of a peripheral nerve injury.
Cause of injuries
The most common cause of TBI is collision with a stationary object like a tree, and this occurs in almost half of cases. Spinal injuries in both skiers and snowboarders result most often from falls (60%-70%), according to Dalaqua and colleagues.
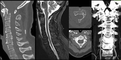
Traumatic injury in 53-year-old man after ski fall (GCS 6/15 onsite). Normal initial brain CT scan, but clinical evaluation was impossible due to intubation onsite. CT revealed teardrop fracture on C3 and subtle retrolisthesis of C3 over C4, suggesting hyperextension discoligamentous injury. MRI confirmed rupture of anterior longitudinal ligament, discal extrusion into prevertebral space, and a hemorrhagic spinal contusion at C3-C4 level. Patient was found to be tetraplegic after extubation."The mechanism of injury determines the distribution of injury levels and thus influences the degree of neurologic deficit," they commented.
Falls after a jump result in the highest rate of thoracic and lumbar fractures in skiers (56% and 31%, respectively) and snowboarders (50% and 50%, respectively). Thoracolumbar fractures generally are associated with a lower incidence of neurological deficit, and most of them are simple compression fractures. The fall after jump mechanism results in the lower occurrence of neurological injury. Conversely, skier-versus-skier collisions result in the highest incidence of cervical injuries in skiers (50%) and snowboarders (80%), which are the injuries more often associated with neurological deficits, Dalaqua and colleagues concluded.


















