
Radiologists can enhance their ability to diagnose soft-tissue lesions by using certain gamuts to more easily recognize the specific features and parameters derived from functional MRI sequences, according to prize-winning research from Spain.
Techniques such as diffusion-weighted imaging (DWI), dynamic contrast-enhanced (DCE) MRI, and proton MR spectroscopy (MRS) are progressing rapidly, but correlation with conventional MRI signs as well as clinical data is still mandatory to ensure a proper diagnosis, explained Dr. Teodoro Martín Noguerol and colleagues from the MRI unit at Health Time (HT) in Jaén.
"MRI provides the highest tissular contrast resolution, enabling radiologists to properly detect and characterize the vast majority of musculoskeletal soft-tissue lesions with high accuracy," they noted in a digital poster that won a magna cum laude award at last month's RSNA congress in Chicago. "There is a wide range of radiological classical MRI semiology and signs used in common clinical practice that allows radiologists to differentiate between soft-tissue lesions."

DWI, DCE-MRI, and MRS can provide valuable information about physiopathological features of soft-tissue musculoskeletal (MSK) lesions that allows radiologists to increase the overall accuracy of their studies -- even adding data about the likelihood of response to treatment, lesion recurrence, and early response to chemotherapy or radiotherapy, the authors pointed out.
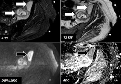
DWI can detect, characterize, and evaluate the movement of water molecules at the extracellular space; the presence of biological membranes hinders the free movement of water molecules. DWI is usually based on a single-shot echo-planar imaging sequence applying two motion-probing gradients, separated by a short lapse of time, that allow one to determine the displacement of water molecules between them, they stated.
Apparent diffusion coefficient (ADC) is the parameter that helps quantify the degree of water molecules displaced, and depending on the combination of DWI signal intensity and ADC values, different biological interpretations about tissues features can be performed.
"There is an inherent inhomogeneity of magnetic field in the MSK system due to the presence of multiple air-bone-fat-soft tissue interfaces," they continued. "The acquisition of DWI may need some specific technical adjustment in order to try to minimize the possible artifacts and maximize the signal-to-noise ratio."
Physical basis of DCE-MRI
Martín Noguerol and colleagues highlighted the following key points about DCE-MRI:
- The use of DCE-MRI enables evaluation of the characteristics of the capillary network with regard to permeability and angiogenesis of MSK soft-tissue lesions using gadolinium-based contrast agents (GBCAs).
- DCE-MRI uses high temporal resolution sequences, usually based on spoiled gradient-echo (SPGR) acquisition techniques with mild to moderate spatial resolution.
- The goal of DCE-MRI is to evaluate the changes of signal intensity within soft-tissue lesions as the GBCA passes through the capillary network, as well as its interchanges with the interstitium.
- DCE-MRI sequences are preferred over T2* dynamic susceptibility contrast (DSC) used, for example, in the central nervous system, as DCE-MRI is much less sensitive to susceptibility artifacts common in MSK imaging due to the intrinsic inhomogeneity of the magnetic field.
- Soft-tissue lesion enhancement after GBCA administration on conventional T1-weighted imaging with or without fat suppression is usually linked to increases on the DCE-MRI (perfusion) related parameters.
- There are specific clinical scenarios in which a mismatch between both modalities may be the key for diagnosing specific conditions.
"First of all, it's important to differentiate between T1-weighted DCE and T1-weighted permeability studies," they wrote. "Both approaches have the same basic sequence design, a dynamic sequence, usually 3D SPGR with high temporal resolution."
The injection rate of GBCAs varies from 3 mL/sec to 5 mL/sec, while for permeability studies, T1 maps prior to GBCA administration have to be acquired.

Lipomas are one of the most common lesion types to show low signal intensity on DWI and low ADC values. Despite showing lower ADC values than malignant sarcomas, lipomas are benign, the authors explained. These low ADC values are because the DWI sequence uses fat suppression pulses that nullify the signal on both low and high b-values from lipomas. Also, lipomas are composed in 95% of cases by fat vacuoles with scarce presence of water molecules (which are responsible for any kind of signal intensity on DWI).
"Due to susceptibility artifacts, it is not uncommon to identify false hypointense lesions on DWI and low ADC values due to the presence of blood in the acute or subacute early (1-7 days) phase. This is called [the] blackout effect," they added.
Where does MRS fit in?
MRS has been classically applied for central nervous system lesion characterization but also in other anatomical areas. It has shown promise for MSK soft-tissue assessment, but its implementation as part of routine protocols for MSK is still of doubtful efficiency and has shown limited repeatability, according to the researchers.
MRS is based on the chemical shift property of H1 protons under the application of an external magnetic field. Under a constant external magnetic field (B0), shielded protons (H+) have a lower energy state and show lower frequency (with lower chemical shift) than deshielded protons.

"The use of MRS for soft-tissue lesions may help to complement and increase the specificity of our diagnosis," they elaborated. "One of the main potential applications is for helping in the diagnosis of lesions of uncertain origin, especially necrotic lesions with peripheral enhancement."
MRS may be useful for the assessment of post-treated lesions in which the presence of swelling, edema, and hyperenhancing fibrosis changes may pose a challenge for rule-out persistence of tumoral rest or disease recurrence. Another possible application is to guide the performance of core-needle biopsy to these areas with high proliferative cellular suspicion, the group concluded.