
A dental brace wire was found in a woman's bowel -- 10 years after she had last worn dental braces, according to a new case report published online in BMJ Case Reports (7 August 2017).

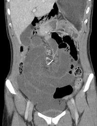
After an initial visit to the emergency department (ED) where she had been thought to have biliary colic, a previously healthy 30-year-old woman returned to the ED two days later complaining of worsening central abdominal pain, according to the group from Sir Charles Gairdner Hospital in Nedlands, Western Australia. A CT scan of the abdomen showed a metallic, wire-shaped foreign body at the mesenteric root of a small-bowel volvulus. The wire had pierced several parts of the small bowel, causing the volvulus.
The patient hadn't worn braces for 10 years and didn't recall ingesting the wire or noticing that her braces wire was missing. The authors noted that foreign body ingestion should be considered as a cause of abdominal pain in patients with no other medical or surgical history.
"Routine plain film of the abdomen is a useful initial investigation and should not be overlooked," the authors wrote.
The full case report can be found here.