
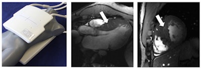
For what is thought to be the first time, German researchers have confirmed the viability of 7-tesla cardiovascular MRI to provide high-resolution images of the beating heart and subtle changes of the myocardial tissue structure in patients with abnormal thickening of the heart muscle.
The cardiac anomaly is called hypertrophic cardiomyopathy and can happen to anyone at any age. As the cells of the heart muscle enlarge and ventricle walls thicken, blood flow from the ventricle is restricted and causes obstructive hypertrophic cardiomyopathy.
The new 7-teslsa findings come from Charité-Universitätsmedizin Berlin and the Max Delbrück Center for Molecular Medicine (MDC) and were published online on 10 February in PLOS ONE.
Cardiovascular MR has shown that it can help detect and assess the condition by illustrating the difference in myocardial tissue and other morphological details. And, while 7-tesla MRI is known to enhance spatial resolution, the high-field magnet strength has not yet been investigated as an option for hypertrophic cardiomyopathy patients.

After screening 131 patients with hypertrophic cardiomyopathy between 2011 and 2014, researchers chose 13 patients (mean age of 56 years, ± 31 years) and 13 healthy age- and gender-matched control subjects (mean age of 55, ± 31 years) who met the study criteria.
For image comparison purposes, subjects were scanned using a whole-body 7-tesla scanner (Magnetom, Siemens Healthcare), which included 2D cine fat-saturated, fast, low-angle shot (FLASH) images acquired using a high-resolution fast gradient echo (FGRE) sequence.
Subjects also underwent scanning with a 3-tesla MRI system (Magnetom Verio, Siemens) for additional image comparisons. Two subjects underwent an additional 1.5-tesla MRI exam (Magnetom, Siemens) using a 12-channel radio-frequency (RF) body array coil for signal reception.

Mean scan time for the 7-tesla exams was 22 minutes (± 13 minutes). There were six patients who reported minor adverse effects, such as temporary dizziness, temperature sensations, and metallic taste from the high-field magnet. There were no adverse effects reported among the healthy control subjects.
Researchers rated the quality of cine images and presence of artifacts from 7-tesla scans on a three-point scale. A score of 0 indicated images were of no diagnostic value, 1 was considered "good" image quality, and 3 as "excellent." In addition, a score of 2 meant there were "major artifacts," score of 1 as "mild artifacts, and 0 as "no artifacts."
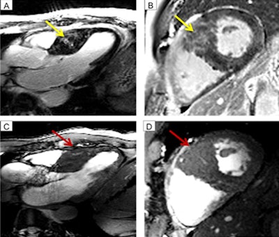
In evaluating the results, 7-tesla 2D cine FGRE image quality was rated as "good" with a mean of 1.1 (± 0.3) by one observer and 1.3 (± 0.2) by the other reader. The study also found that late gadolinium enhancement (LGE) using 7-tesla MRI was detectable in 12 (92%) of 13 hypertrophic cardiomyopathy patients.
High-spatial-resolution 7-tesla cine images also visualized minute depressions in the myocardial tissue of the left ventricle in seven subjects (54%), with all of those abnormalities located in regions positive for late gadolinium enhancement. Interestingly, 3-tesla MRI did not detect any of those deficiencies.
The mean artifact score was deemed to be "mild," with scores of 1.2 (± 0.2) and 1.4 (± 0.3). While artifacts were found in six patients, they did not hinder any patient's cardiac evaluation.
"To the best of our knowledge, this is the first study showing the feasibility of cardiovascular MR at 7-tesla in a larger group of cardiac patients," wrote lead author Dr. Jeanette Schulz-Menger and colleagues. "Besides the successful implementation of 7-tesla in hypertrophic cardiomyopathy, we were able to identify unexpected subtle crypts in hypertrophied regions, which were not detectable at clinical field strengths in a routine setting."