
Research from the University Hospital of Pisa, Italy, shows 2D visualization of CT and MRI images on the iPad 2 can allow detection of pulmonary nodules as small as 2 mm. Attendees at Thursday's EuroPACS session at the Computer Assisted Radiology and Surgery (CARS) congress learned how the study has shown that across different CT examinations -- including CT colonography, chest CT, and CT pulmonary angiography -- no such lesion was missed on the iPad 2 in comparison with conventional workstations.
"We started our study shortly after the introduction of the iPad 2 on the market, as we felt that this device could play an important role for 2D visualization of CT and MRI images whenever a regular workstation is not available, and for teaching or image sharing purposes," said session speaker Dr. Lorenzo Faggioni, a staff radiologist in the radiology department of the University Hospital of Pisa.
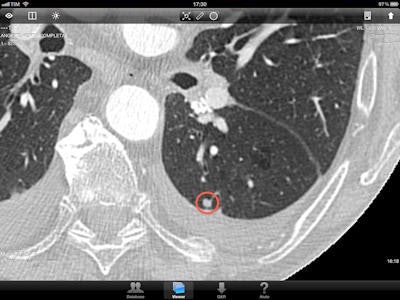
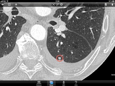
 Screen capture of a pulmonary nodule as displayed on the iPad 2. All images courtesy of Dr. Lorenzo Faggioni.
Screen capture of a pulmonary nodule as displayed on the iPad 2. All images courtesy of Dr. Lorenzo Faggioni.There is still some resistance to the use of mobile devices in clinical practice, due to the fear that these devices may perform less optimally than regular workstations, thus bringing the risk of missing lesions or making wrong diagnoses. However, Faggioni said the screen resolution of the iPad 2 is more than adequate for 2D analysis of CT and MRI examinations, where pixel matrices are relatively low -- typically 512 x 512 for CT and often less for MRI. First impressions of using the iPad 2 for the visualization of small lesions is that the image quality of CT and MRI studies on the iPad 2 is comparable with that perceived on conventional workstations, the researchers found.
"At the beginning of our research on the iPad 2, we did not expect that a 100% agreement with the iMac in lung nodule detection could occur. Little data have been published in the literature so far about the diagnostic performance of the iPad in a radiological setting, but they are substantially in line with our findings," said Faggioni, citing McNulty JP et al, who found the iPad has diagnostic accuracy comparable to conventional workstations in the evaluation of MR spinal emergency cases (Academic Radiology, 15 April 2012, article in press). Also, Johnson PT et al achieved similar results in the identification of pulmonary embolism from CT pulmonary angiography datasets (Emergency Radiology, 26 March 2012, online first).
While screen resolution of the iPad 2 allows doctors to identify even tiny nodules at first viewing, the new iPad equipped with a 3 megapixel (MP) Retina display has even higher spatial resolution, Faggion added. Moreover, images can be zoomed in with relatively high magnification factors of up to about 400% without any significant loss of detail.
The recent study's findings were obtained from a relatively small number of chest CT datasets (41) using an iPad 2. It is not yet known how the new iPad, which provides boosted screen resolution along with higher processing power, will eventually compare. However, the study team at Pisa has now started collecting data comparing a conventional U.S. Food and Drug Administration/CE-cleared PACS workstation and the new iPad, and initial results are very encouraging. Fuller results will hopefully be presented at the next RSNA or ECR meeting and should generate interest owing to their reflection of the impact that tablets are likely to have on workflow optimization in healthcare departments.
At present, the lack of dedicated tablet software tools for advanced image processing, such as CAD applications or tools for automated nodule segmentation and volume analysis, means that a conventional workstation is still required for a more detailed diagnostic workup.
"For our study, the iPad display was not calibrated and was used 'as is,' because it was not intended for primary diagnosis and reporting. It would be very interesting to test the iPad performance after the development of more powerful software enabling advanced image processing with 3D and CAD capabilities," Faggioni noted. "However, it should be kept in mind that tablets are not designed to replace workstations for any purpose, but to be used as ultraportable, lightweight devices for fast 2D review of medical images, as well as for image sharing and teaching to residents and medical students," he stressed.
 In the future, societies will need to set minimum requirements for a tablet to be used for primary diagnosis in cases where access to a regular workstation is not possible, according to Faggioni.
In the future, societies will need to set minimum requirements for a tablet to be used for primary diagnosis in cases where access to a regular workstation is not possible, according to Faggioni.
He also underlined that image reading on the iPad is significantly more time-consuming than on a conventional workstation: A regular workstation's large screen allows for panoramic image reading without changing zoom factor, while for reading entire datasets on the iPad, it is necessary to repeatedly zoom in and out and pan images to ensure that all image details are properly assessed.
"It makes little sense -- at least currently -- to see in tablets a potential replacement to conventional workstations for any kind of primary diagnosis wherever such workstations are readily available as it is far easier and faster to browse through a series of 1,000 or more CT images with a mouse in front of a 25-inch medical display!" he said.
Instead, tablets can play a role either for teaching or sharing medical images with nonradiologists -- when use of a workstation is not warranted or might unnecessarily interfere with regular diagnostic workflow in a radiological center -- or when preliminary 2D reading of a CT examination is desired, but no workstation is accessible.
Once sufficient evidence has been built about the comparative diagnostic performance of tablets versus certified desktop workstations, Faggioni advocates the issuing of a statement at the level of national and international societies in order to set the minimum requirements for a tablet to be used for primary diagnosis in cases where access to a regular workstation is not possible.
Tablets can also be useful when a diagnosis has already been made elsewhere and access to anatomical data is the only goal, as might be the case for surgical planning in the operating theater.
"For those purposes, I think tablets will be increasingly used in radiology departments and hospital wards in general, if not because they can allow for significant cost savings to healthcare systems by avoiding the purchase of dedicated workstations connected to the PACS infrastructure via conventional wired networks," Faggioni said.
CARS delegates should have gained an understanding of the great potential of tablets for displaying CT images without confusing the problem of primary diagnosis with that of image reading and sharing, he added.
"It would be wrong to tout tablets as potential workstation killers, but I believe there is already sufficient evidence that workstations are no longer indispensable for certain tasks, such as preliminary 2D image reading and sharing, as well as for educational purposes," Faggioni concluded. "For those latter applications, tablets have now reached a degree of technological maturity that makes them an attractive and cost-effective alternative to standalone workstations."



















