
VIENNA - With imaging increasingly in the hands of nonradiologists due to improvements in nonradiating imaging, such as ultrasound and MRI, and the growing use of push-button methods, technical knowledge alone is no longer a safeguard of professional turf as more clinicians acquire their own machines to carry out imaging procedures.
Besides nonradiologists taking a greater share of imaging, particularly in MRI, complacency among radiologists themselves poses a significant threat to the profession, according to Dr. Georg Bongartz, vice chair of radiology and head of the abdominal oncologic imaging section at University Hospital of Basel in Switzerland. He is a speaker at today's Professional Challenges session about opportunities and threats.
 Dr. Georg Bongartz from Basel, Switzerland.
Dr. Georg Bongartz from Basel, Switzerland.
Bongartz stresses the need for radiologists to "get clinical" -- to keep track not only of radiological advances but also of clinical development and treatment, and to be at the top of the knowledge chain. Otherwise, radiologists risk being restricted to providing a technical service, while the interpretation and reporting of images will be carried out by clinicians, and this division will bring with it the financial implication of separate billing for the two elements.
Whether for economic reasons or because the clinician gets no added value from the radiological report, such a separation is a real threat, experts agreed. The only way to avoid such an eventuality was through competitive subspecialist expertise to respond to the needs of clinical colleagues.
"If we don't 'get clinical,' radiologists will be lost to image delivery," said Bongartz in a precongress interview with ECR Today. "If our reports don't add value to the technical service, we won't survive."
The radiological report, therefore, should provide clinically relevant information with quantitative and qualitative data, ideally presented in a graphic, analytical display. When monitoring response to treatment, concrete numbers should prove effect, such as chemotherapy reaction in specific patients. Advice should be useful and succinct. Furthermore, reports should be delivered in a timely fashion, or radiologists risk damaging their connection with their clinical partners.
"If the surgeon can read a scan immediately or wait 36 hours for the radiology report, what will that surgeon do? Our mission is to know why we image and what the results change for the patient's therapy and prognosis," he underlined.
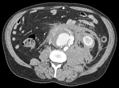
 A middle-aged patient with abdominal pain considered on clinical grounds to be due to diverticulitis. Contrast-enhanced CT reveals active retroperitoneal haemorrhage from an actively leaking abdominal aortic aneurysm. Radiology (CT in this case) completely alters the diagnostic thinking and the therapeutic strategy, thereby having an impact on the outcome of the patient, who survived aortic surgery. Image courtesy of Dr. Adrian Dixon.
A middle-aged patient with abdominal pain considered on clinical grounds to be due to diverticulitis. Contrast-enhanced CT reveals active retroperitoneal haemorrhage from an actively leaking abdominal aortic aneurysm. Radiology (CT in this case) completely alters the diagnostic thinking and the therapeutic strategy, thereby having an impact on the outcome of the patient, who survived aortic surgery. Image courtesy of Dr. Adrian Dixon.Another means of enhancing the profile of radiology is through radiologists publishing more radiological outcome studies to help prove to clinical colleagues that new methods are worth applying.
"The clinician wants to know what will happen to the patient. Therefore we need to move from publication of new technique and improvement studies to publishing outcome studies, because the former don't deliver add-on value or interest the clinician," Bongartz said.
By cooperating with clinical partners in research projects, radiologists can turn the challenge of becoming more clinical into an opportunity, as both parties benefit from each other's input, he continued.
"Some patients don't profit from catheter angiography, this while cardiologists have limited resources and long waiting lists. If we share the patients, clear criteria can determine those that will benefit from invasive diagnosis and those that should undergo less invasive procedures. For this to work, both parties must agree and be on the same knowledge basis," he said.
Similarly, radiologists need to include clinicians in research that hinges on clinical application of new imaging techniques.
Radiologists in small general settings such as private practices or small hospitals are not exempt from the need to subspecialize. The answer lies in subspecialty training before final qualification, through fellowships in dedicated areas for example. Radiologists should also make new connections with other services, and pursue ongoing education, according to Bongartz.
"Those in smaller practices should develop knowledge in separate areas from colleagues. In addition, try to make alliances with radiologists in other hospitals or clinics, not just those with the same niche interest, but also those who have different subspecialty interests," he said. "Interinstitutional teleradiology is key, both for educational purposes and for the exchange of patients when a case falls outside one's expertise."
These days, subspecialization is mandatory for radiologists, at least in terms of body systems such as the thorax, abdomen, brain, heart, and musculoskeletal, and also disease mechanism such as oncology, Bongartz emphasized.
Elaborating on this theme, even disease mechanism such as oncology could be further subspecialized, according to co-speaker Dr. Adrian Dixon, emeritus professor of radiology and radiologist at Addenbrooke's Hospital in Cambridge, U.K., and former editor in chief of European Radiology.
"In large centers, for example, oncological radiologists will now tend to concentrate on one or more types of cancer: The radiologist with expertise in prostate cancer may not understand the nuances of complex hepatomas and vice versa," he said.
Failure to ensure that such subspecialization is supported in training risks the specialty being taken over by others, according to Dixon, who strongly endorses the three-year general training plus two year subspecialty training model. Those who are determined to pursue a certain subspecialty could start with that interest at an earlier stage through focused, individualised training, but non-adiologists should only be radiologically trained in situations in which a genuine long-term partnership was guaranteed.
Overall, subspecialization will guarantee diagnostic and therapeutic impact, securing the radiologist a central role in the clinical process.
"Only if the radiologist's contribution in reporting or exchange at clinicoradiological meetings helps refine the diagnosis and contributes to management plans will radiologists continue to enjoy the respect of their clinical colleagues and, thereby, the right to lead the discussion," he noted.
To maintain this crucial relationship with clinical colleagues who are fast gaining imaging skills, subspecialized radiologists must also continuously monitor imaging developments. Dixon pointed to some radiologists continuing to perform lumbar spine radiography long after it was realized that MRI provided much more information.
Self-education on an ongoing basis and knowledge of modern referral guidelines such as iRefer and appropriateness criteria will help to ensure that appropriate diagnostic pathways are followed. Furthermore, while it is easier for radiologists to defend a mistake if they have a proven audited track record of reporting and procedural skills, they must also perform enough of a certain type of examination such as mammography to maintain their skills, otherwise medicolegal cases may be lost.
"Radiologists should be proactive and confident enough to view themselves as the front of house of their hospital," he said. "Second, general radiologists must understand how their leadership over the next couple of decades will determine the future of our specialty."
Originally published in ECR Today on 6 March 2014.
Copyright © 2014 European Society of Radiology



















