
VIENNA - Data mining of quantitative measurements made by radiologists when interpreting images is expected to become increasingly important, thanks to the marriage of image analysis tools and reference databases, European Congress of Radiology (ECR) delegates learned at a refresher course on Thursday.
The functional and quantitative data provided by MRI, ultrafast CT, and hybrid imaging modalities go way beyond the anatomical and morphological parameters traditionally used for diagnostic analysis. Radiologists now have the tools to extract quantitative measurements of functional parameters such as flow, perfusion, motion, and function, as well as tissue characterization, texture, and local alterations in physical characteristics that allow better depiction of focal abnormalities. The power of healthcare informatics makes utilization of this data easier.
This is the opinion of Dr. Osman Ratib, chair of radiology at the department of medical imaging and information sciences, University Hospital of Geneva, Switzerland. He thinks the use of quantitative analysis tools is now required to help establish and optimize objective criteria to distinguish between normal and abnormal tissue.
The emergence of hybrid techniques that extend images into a molecular dimension, where metabolic parameters are measurable, allow for a more accurate and objective diagnostic analysis of image data. Such a plethora of information requires advanced software tools to enable extraction of quantitative data and to assist radiologists in their diagnostic tasks and provide adequate tools for display and visualization of complex data, he remarked.
![]() |
| Quantitative analysis of hybrid PET/CT images of a head and neck tumor, using OsiriX open-source software. (Provided by Prof. Osman Ratib) |
Clinical decisions in patient management, as well as treatment monitoring, rely on precise quantitative criteria.
"They require appropriate software tools and suitable reference databases to establish objective limits and thresholds that can be used in patient management and therapeutic decision-making," Ratib pointed out. "The demand comes from a progressive evolution of healthcare toward evidence-based medicine, where objective and measurable criteria can be used to select the most appropriate treatment."
Support is also needed to help predict patient response to treatment and to separate responders from nonresponders. Techniques such as PET/CT and PET/MRI provide quantitative measurements of tracer uptake and metabolic pathways that allow doctors to better monitor response to treatments, he added. Referring physicians and clinical specialists rely on these measurements in daily practice, and they expect radiologists to provide more than just diagnostic findings. Therefore, radiologists face a significant increase in workload, and computer analysis software is vital for their work.
One common example of image analysis is the evaluation of oncological studies, including the quantitative longitudinal follow-up of tumor size and response to treatment over a series of exams acquired at different points in time. Ratib thinks such analysis requires adequate measurement tools but also appropriate informatics infrastructure to maintain a database of previous measurements and cohorts of reference values. Additionally, with the emergence of new metabolic imaging techniques, these measurements do not rely only on changes in size and shape of tumors but also on their metabolic activity.
Similar quantitative analysis techniques are presently applied to functional imaging of the brain, with advanced MRI providing diffusion-weighted approaches and fiber tracking yielding additional functional parameters that can be critical for evaluating strokes, tumors, and brain trauma.
![]() |
| Advanced image analysis tools help radiologists establish more precise, evidence-based diagnoses. In these examples, OsiriX open-source software was used. (Provided by Prof. Osman Ratib) |
![]() |
Besides the growing importance of image analysis techniques and informatics infrastructure in daily radiology practice, the need for easy management and communication is a must in today's network-oriented clinical care. Moreover, new computer-aided diagnosis (CAD) techniques are becoming more widely prevalent in assisting radiologists in providing more accurate diagnostic decisions.
This change in work environment will undoubtedly influence the way radiologists perform, and they will have to adapt their workflow accordingly. The refresher course explained how to make best use of this additional information, and how radiologists need to adapt their diagnostic workflow to achieve desired results. It highlighted some key concepts linking new techniques of image reconstruction and image analysis as well as discussed image rendering techniques that are available.
DICOM has already enabled great progress toward sharing results of CAD procedures, and these can be integrated effectively in daily practice. Dr. Bernard Gibaud, senior researcher at the Unité VISAGES Inserm 746 in Rennes, France, noted that semantic Web technologies could bring significant added value to CAD. Ontologies have two functions: to provide a reference vocabulary, as well as axioms that allow the classes and relationships to be defined in a formal way. It is precisely the latter that bring an added value over using DICOM syntax, thanks to the ability of reasoning, he explained. Most current ontologies are defined using OWL, the Web Ontology Language, which is based on Description Logics, a family of powerful knowledge representation languages used widely in artificial intelligence.
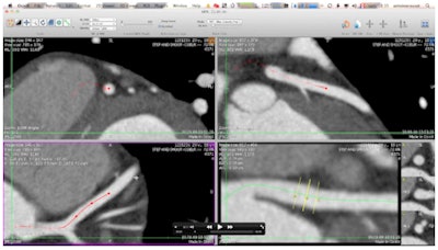
![]() |
| Virtual endoscopy rendering and navigation from high-resolution CT scan, using OsiriX open-source software. (Provided by Prof. Osman Ratib) |
So, what can ontologies contribute to CAD? As an example, one may need to localize a given abnormality in a particular anatomical structure, e.g., to express that a tumor is located in the "inferior frontal gyrus." Using an ontology such as the Foundational Model of Anatomy can provide related knowledge about this entity, such as that it is a regional part of the "frontal lobe." This kind of knowledge can then be used to query from a database of all cases of a tumor located in the "frontal lobe," according to Gibaud. Similarly, using an ontology such as the NCI Thesaurus (NCIT) would make it possible to denote this tumor as a "glioblastoma," defined in NCIT as a subclass of "anaplastic malignant neoplasm." Thus, using ontologies and ontology languages to query databases will facilitate indexing and retrieval from CAD results databases due to the support of large taxonomic graphs, involving various relationships ("is a," "regional part of," etc.).
The way taxonomies based on medical terminologies used to be defined may not be strict enough to enable safe reasoning using ontology languages.
"A lot remains to be done to get a 'real' ontology suitable for actual reasoning; this requires close collaboration between ontologists and domain specialists. And the conceptual entities we need to model -- e.g., 'diameter of circle,' 'major axis of ellipse,' etc. -- may or may not have been already defined by other communities, or in a way that is not fully satisfactory for radiology," said Gibaud. He thinks reaching convergence and consensus across multiple overlapping domains is a challenge that needs to be met because otherwise there will be no successful integration of radiology observations with, for instance, pathology results.
Originally published in ECR Today March 1, 2012.
Copyright © 2012 European Society of Radiology




















