
New total-body PET/CT equipment could be a game changer in complex adult and pediatric cases, according to a Swiss nuclear medicine expert who has recently shared his experiences working with one of these scanners.
There are many areas where working with an advanced PET/CT scanner can make a real difference, according to Prof. Dr. Axel Rominger, head and chairman of the Department of Nuclear Medicine at Inselspital, Bern University Hospital, who has worked with a Quadra PET/CT scanner for the past two years.
"Imaging becomes easier and faster," he said at the Conference on Hybrid Imaging Live (CHILI), organized by the European Society for Hybrid, Molecular, and Translational Imaging (ESHIMT) on 11 November.

"You don't need to shuffle patients back and forth when acquiring dynamic 4D data, and drug discovery is also very much supported by these new devices," he said, adding that PET acquisition can be significantly shortened with the new scanners, while image quality remains outstanding.
In a patient with malignant melanoma, Rominger and his colleagues artificially reduced the acquisition time down to 30 seconds and managed to image tiny lymph nodes. "We don't miss any small hypermetabolic metastases. In such short scans, image quality becomes worse and noise is increasing, but you could theoretically work with these scans."
The team also imaged a neuroendocrine tumor in a two-minute acquisition scan. "Image quality is very nicely preserved," he said.
New PET/CT equipment is also useful when imaging in non-optimal conditions, for example, patients with adipose tissues or a non-optimal blood glucose level.
"For these patients, this might be a real game changer," said Rominger, who presented the case of an 87-year-old obese patient with adenocarcinoma of esophagogastric junction (AEG) and a heavily increased blood glucose level. "We could image this patient to a certain extent and see the hypermetabolic lesion quite easily in less than two minutes."

The new system also enables further dose reduction. Researchers found out that even frames as short as ten seconds comply with current European Association of Nuclear Medicine (EANM) Research Ltd. (EARL) guidelines for the standardization of PET imaging developed for conventional systems.
A team in the Netherlands showed that examinations comply with EARL specifications even when scan duration and/or activity administration is reduced up to a factor of ten, without the interference of increased noise.
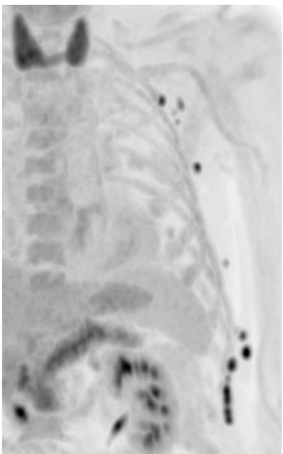
Long axial field-of-view (LAFOV) technology is also interesting in children, as it enables the reduction of dose drastically, said Rominger, who shared the example of an eight-year-old child with Morbus Hodgkin disease and cervical, bone, and splenic involvement.
"The child underwent chemotherapy and we reduced the dose down to 14 MBq, so 0.5 MBq per kilo. We obtained very nice corresponding reconstruction and preserved image quality," he said.
LAFOV PET/CT could thus be a game-changing option for children, he believes. "You can either inject a more or less regular dose and then do ultrafast acquisition, and thus avoid anesthesia in a certain number of children. Or you can inject an ultralow dose and do a regular scan and avoid as much radiation burden as possible," he said.
In a recent case report, Dutch researchers imaged a ten-week-old infant with LAFOV PET/CT, using 12 MBq in three minutes, thus avoiding sedation. 'That's a very low dose. It's a very nice development and offers new opportunities in children," he said.
The tool can also be useful to guide prostate-specific membrane antigen (PSMA) therapy and determine if a patient is eligible for a PSMA radioligand therapy (RLT).
"You can follow this up with an FDG scan and use only a low dose and you can look for the mismatch. If you don't have a PSMA uptake in the lesion but then have an FDG uptake in the liver, this is known to be a negative predictor for the outcome," said Rominger, who has also set up a prospective study to compare ultralow-dose PET/CT on a Biograph Vision Quadra machine with a standard axial field-of-view (SAFOV) scanner in patients with lung cancer.
"That's work in progress, but so far we're quite happy with the performance," he said.
Low dose and ULD offer the possibility to perform multiple follow-up PET/CT scans on short-term follow-up. "You could even think about more and different radiotracers for further disease characterization."
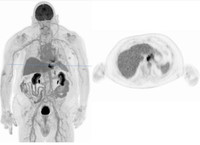
![Ultralow-dose scan on Biograph Vision Quadra PET/CT (F-18 FDG in a healthy volunteer; weight: 86 kg; dose: 20.8 MBq [0.24 MBq/kg]).](https://img.auntminnieeurope.com/files/base/smg/all/image/2022/11/ame.2022_11_17_01_11_0740_2022_11_17_Rominger_image3.png?auto=format%2Ccompress&fit=max&q=70&w=400)
This comes with challenges, for instance having other tracers available. "From the technical point of view, it's possible. You can potentially think about screening at-risk population patients," he said.
The next challenge will be to break down rather long-lasting dynamic acquisitions that can take up to 80 minutes, depending on the protocol. "This is cumbersome for patients, staff, colleagues, and departments. There is a lot of work to do to develop shorter protocols," he said.
Other issues with the new system are the necessity to have enough technologists to prepare patients in shorter times, enough uptake rooms, and virtually infinite data handling storage. Time for research should also be saved.
"The system is mature, robust, and there is no major downtime with it. It has clear advantages compared to standard scanners and it's kind of a game changer. The next few years need to prove that expectations can be met, but it looks quite promising so far," he concluded.