
New research has emphasized that imaging is playing an increasingly important role in the diagnosis and management of the serious complications resulting from illicit drug use.
"The total impact is enormous: in deaths, permanent physical and mental injury, and in social impact, including criminal activity," noted Dr. Sarah Constantine, PhD, senior consultant radiologist at The Queen Elizabeth Hospital in Adelaide, South Australia.
In Australia, illicit drug use is estimated to contribute to 3% of the total burden of disease and injury: Opioid use being the leading cause (31%), followed by amphetamines (24%). The reduction in methamphetamine and nonmedical opioid painkiller use is perhaps the only positive trend in this continuing tragedy, she added, although South Australia is still often referred to in the popular press as the nation's "meth capital".

Almost half of all Australians over the age of 14 report using illicit drugs at some point in their lives, particularly cannabis, cocaine, heroin, ecstasy, and inhalants. Around 2,000 Australians die each year from drug-taking, and the biggest increase in illicit drug use is in people in their 40s, Constantine and fellow radiologist Dr. Jim Buckley reported in a poster at the annual scientific meeting (ASM) of the Royal Australian and New Zealand College of Radiologists (RANZCR).
"Presentation to hospital with complications from illicit drug use is common, but abnormalities on imaging are far less common, but are important to recognize, especially as a history of illicit drug use is not always available," they stated.
Around a quarter of the burden of disease and injury resulting from illicit drug use is from poisoning or overdose, the authors continued.
"Australia has a relatively low proportion of people who inject illicit drugs when compared to other countries," they wrote. "Despite the provision of needle syringe programs to minimize the risks of disease from dirty needles, almost 40% of users reported re-using their own needles."
Around 8% of users report developing an infection or abscess (excluding blood-borne infections such as HIV and hepatitis C). Common complications resulting from overdose include hypoxia from central nervous system depression, particularly from heroin overdose, and aspiration pneumonitis due to failure to protect the airway.
CT findings
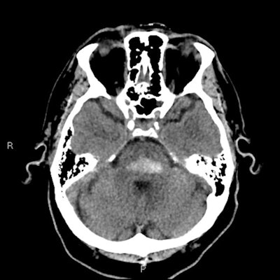
Hypoxic brain injury is an unfortunate consequence of drug addiction and especially drug overdose. Any illegal drugs are central nervous system (CNS) depressants, and overdose can lead to respiratory depression, respiratory arrest, and subsequent hypoxia. The early findings in CT are those of cerebral edema. Some drugs such as heroin have a vasospastic effect that can produce focal infarcts, and for those who survive the event, the long-term appearances are varying degrees of cerebral atrophy, the researchers explained.
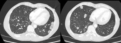
"Aspiration pneumonitis and pulmonary edema are also common in the abuse of several drugs," they noted. "Aspiration frequently occurs in the setting of overdose, especially with CNS depressants. Pulmonary edema can occur with cocaine, opiates, and methamphetamine abuse."

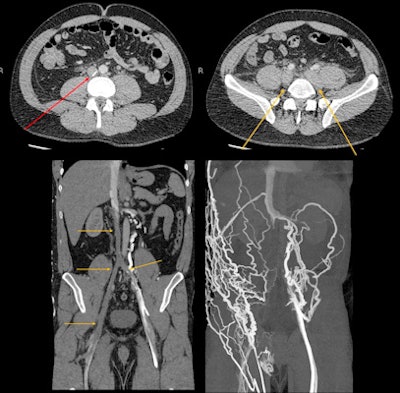
Septic emboli can occur as a result of septic thrombophlebitis, infective endocarditis, or injection of microorganisms with the drug, and common sites for septic emboli include the chest and brain. Retained needle fragments are common with injecting drug users; embolization of needle fragments is less common but has been reported.
Cocaine and heroin use
Cocaine-induced midline destructive lesion syndrome is a common complication of snorting cocaine, and about 5% of users will have a nasal septal perforation, the authors wrote. The lesion can progress to destroy the palate and nasal walls, producing a saddle-nose deformity, and eventually to necrosis of the midface.
"Cocaine causes cerebral vasospasm, and significantly reduces cerebral blood flow," they pointed out. "Cocaine abuse is also associated with both parenchymal and subarachnoid hemorrhage, which are twice as common as ischemic events."

"Crack lung" is an acute pulmonary syndrome that occurs within 48 hours of smoking crack cocaine. Patients present with dyspnoea, chest pain, hemoptysis, and/or fever. CT shows diffuse alveolar and interstitial opacites, often ground glass in nature, and occasionally with small pleural effusions. The appearance is clear with cessation of the drug. Pneumomediastinum is also seen with crack cocaine smoking, the authors noted.
Heroin smoking or inhalation produces a unique leukoencephalopathy that does not occur with injection or oral ingestion of the drug. Although rare, the condition has a mortality of around 25%. Acute clinical symptoms include restlessness, speech disturbance and ataxia, they said.
"The subacute phase includes worsening cerebellar symptoms, hypertonic reflexes, spasticity, tremor, and choreoathetoid movements. In the chronic/preterminal phase, hypotonia, areflexia and respiratory failure ensue," they stated. "MRI shows high T2 signal in the globus pallidus, and the white matter of both the cerebellum and cerebrum."
Methamphetamines
Amphetamines are synthetic psychostimulant drugs. Methamphetamine is generally swallowed, injected, or smoked, but it can also be inhaled, the researchers explained. The most potent form is "crystal meth" or "ice." Amphetamines cause vasoconstriction and increased cardiac output, which can lead to severe hypertension; this is one of the leading causes of cerebral hemorrhage in meth users.

Amphetamine use is also associated with ischemic events and posterior reversible encephalopathy syndrome, they noted.
Methylenedioxymethamphetamine (MDMA) is an amphetamine derivative empathogen, commonly known as ecstasy. However, some pills sold as ecstasy may only have a small amount of MDMA or none. MDMA is usually swallowed in a tablet or capsule form but can also be a powder or crystal.
"The main cerebral complications of MDMA are ischemia and stroke. Vasospasm and arteritis have also been reported, along with reduced cerebral blood flow to the occipital cortex and globus pallidus," the authors pointed out.
Pneumomediastinum has also been reported, and it relates to increases in intrathoracic pressure from drug inhalation and drug-related seizures. MDMA can also have a vasoconstrictive effect on the splanchnic vasculature. Multiple cases of gut ischemia associated with MDMA have been reported, as well as distal colon perforation from pressure necrosis due to constipation, they concluded.