
Isolation protocols implemented to curb the spread of SARS-CoV-2 over the past year have had an unfortunate effect: an increase in rates of intimate partner violence (IPV), which is defined as actions between partners that inflict physical, psychological, or sexual harm, according to an article published on 6 October in European Radiology.
A team of researchers led by Simon Matoori, PhD, of Harvard University in Cambridge, MA, says that radiologists have an important role to play in identifying victims of partner violence and steering them toward supportive resources.
"The COVID-19 pandemic led to a marked increase in the number of intimate partner violence (IPV) cases, potentially leading to increased emergency department visits and radiological examinations," the authors wrote. "We believe that as radiologists, we can make a difference by being cognizant of this condition, raising an alert when appropriate and treating suspected victims with care and empathy."
Although effective for curbing the spread of SARS-CoV-2, stay-at-home orders have exacerbated existing mental and physical health challenges for many people, in part due to an inability to access support services -- prompting an increase in intimate partner violence, Matoori and colleagues noted.
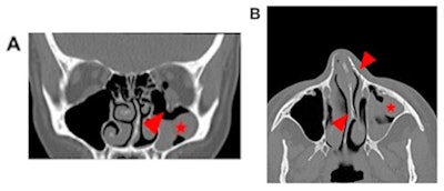
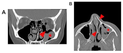
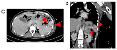
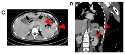
Most conditions related to intimate partner violence are fractures in the face (48.3%), fingers (9.9%), or upper trunk (9.8%), and it can be easy to interpret them as routine trauma, according to the authors. That's why radiologists should thoroughly review the medical history of cases that are suspicious for domestic abuse, discuss these cases with the referring physician, and conduct a private conversation with the patient, educating them on available resources for victims, the authors wrote.



Matoori and colleagues acknowledged that talking to suspected victims of intimate partner violence can be challenging. They proposed a three-part protocol:
- Communicate first with referring physicians or care team when intimate partner violence is suspected. There may already be information about the patient's situation in the medical record.
- Create a safe and private space to discuss domestic abuse with the patient. "Even if the abuser is not present, the relationship of the accompanying person to the abuser may impede the patient from disclosing any information," the team noted.
- Inform patients that healthcare providers are required to maintain confidentiality and that no information will be shared beyond the medical team or recorded in the medical record against the patient's preference. But also be clear about state/country policies regarding the obligation to report intimate partner violence to appropriate entities. Offer the patient resource information such as emergency services, hospital programs, and domestic abuse support groups.
Cases of intimate partner violence offer radiologists an opportunity to further participate in the continuum of care, according to Matoori's team.
"As radiologists move beyond the reading room and join the multidisciplinary team providing direct care to the patient, they may choose to volunteer to handle IPV cases, especially if they are trained to handle the complexities of these conversations," the researchers concluded. "Indeed, radiologists and radiographers are uniquely positioned to engage with IPV victims due to the physical separation between the victim and any accompanying persons in the radiology department."