Accelerated MRI can bring benefits in daily routine

2017 01 09 09 45 02 632 Mri 10 Pix 20170109164542

Accelerated MRI techniques are readily available today and offer clear advantages in terms of time, resolution, diagnostic accuracy, and patient compliance, according to researchers from Bern in Switzerland.

Greater speed in MRI helps to achieve better and easier visualization of pathologies and functional anatomy, better imaging within shorter time slots, improved patient care, and increased productivity, explained lead author Dr.  Johannes K. Richter, from the department of diagnostic, interventional, and pediatric radiology at Inselspital, University of Bern, in an e-poster presentation at RSNA 2016 in Chicago.

The use of simultaneous multislice imaging for abbreviated scan times in a trauma patient (motorcycle accident). A ruptured anterior cruciate ligament (arrow) is seen on (top row) sagittal proton density-weighted images acquired at 3-tesla, together with (bottom row) bone marrow edema (asterisk) of the distal femur, lateral femoral condyle, and posterolateral tibial plateau. Depiction is essentially equivalent on the scans without and with simultaneous multislice imaging. The simultaneous multislice imaging scan, due to use of two times acceleration, required only 1:34 min:s for acquisition, approximately half that for the nonsimultaneous multislice imaging scan. All images courtesy of Investigative Radiology (January 2017, vol. 52:1, pp. 1-17).The use of simultaneous multislice imaging for abbreviated scan times in a trauma patient (motorcycle accident). A ruptured anterior cruciate ligament (arrow) is seen on (top row) sagittal proton density-weighted images acquired at 3-tesla, together with (bottom row) bone marrow edema (asterisk) of the distal femur, lateral femoral condyle, and posterolateral tibial plateau. Depiction is essentially equivalent on the scans without and with simultaneous multislice imaging. The simultaneous multislice imaging scan, due to use of two times acceleration, required only 1:34 min:s for acquisition, approximately half that for the nonsimultaneous multislice imaging scan. All images courtesy of Investigative Radiology (January 2017, vol. 52:1, pp. 1-17).

Three-dimensional acquisition methods like CAIPIRINHA and radial volumetric interpolated breath-hold examination (VIBE), CAIPI-DIXON-TWIST-VIBE are among the most important techniques at the core of accelerated sequences, and simultaneous multislice imaging can reduce scan time in diffusion-weighted and T2 scans by almost a half without any compromise in image quality, he noted. Sparse imaging techniques are showing promise too, and they rely on collecting less than the complete set of data, undersampling k-space, and generating a combination of low-resolution images capturing temporal dynamics together with a static high spatial resolution image to generate a dynamic series with high spatial resolution.

"There is much to be expected from these very advanced techniques in the next years," noted Richter, whose co-authors included Dr. Johannes T. Heverhagen, PhD, professor and head of radiology, neuroradiology, and nuclear medicine at Inselspital.

Dr. Johannes Heverhagen, PhD.Dr. Johannes Heverhagen, PhD.

The central question here is: What can be done with the time saved by accelerated MRI? You can reduce scan times, acquire more slices, have thinner slices, use more b-values, and increase temporal resolution, especially in blood oxygenation level dependent (BOLD) functional MRI, they suggested.

"Short sequences facilitate imaging in freely breathing or agitated/frail patients," the authors stated. "Higher acquisition speed directly translates into higher spatial resolution and thus higher diagnostic confidence in the same scanning time when compared with conventional sequences. With increasing time pressures and decrease in reimbursement, accelerated imaging helps with both."

Accelerated MRI combines dedicated hardware and parallel imaging algorithms, and has been developed and improved over the last three decades, they continued. Dedicated receiver hardware includes multichannel, phased array coils, while GRAPPA and CAIPIRINHA are among the available parallel imaging techniques.

GRAPPA involves parallel imaging in phase-encode direction, undersampling of lines in k-space, significant reduction in scan time, and reduction in distortions of functional imaging.

Simultaneous multislice imaging: A major innovation?

Simultaneous multislice imaging employs an innovative acquisition and reconstruction scheme that allows multiple slices to be acquired simultaneously, and the approach offers a substantial decrease in image acquisition time, or alternatively improved spatial/diffusion resolution. The advent of this technique is analogous to the development of 2D multislice, and may represent one of the major innovations in this decade with widespread clinical utility, according to Richter and colleagues.

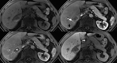
Application of an ultrashort breath-hold Dixon VIBE sequence for improved arterial phase imaging, with resultant overall improved image quality due to better patient compliance. Precontrast (top left), first (top right), and third (bottom left) arterial phase images, and 20-minute delayed hepatocellular phase images (bottom right) after injection of gadoxetic acid are presented in a 74-year-old man with metastatic rectal adenocarcinoma. Acquisition time for each image series was 4.8 seconds, with scans acquired at 3-tesla using a 60-channel body coil. A new small metastasis along the dorsal margin of the liver (black arrow) demonstrates prominent early arterial enhancement, with some wash out by the late arterial image, and no uptake in the delayed phase. Also visualized at this level are a hemangioma (white arrow) and a larger metastasis previously treated by microwave ablation (asterisk). Note the absence of respiratory artifacts due primarily to the short scan time, as compared with more conventional 15 to 20 seconds VIBE acquisitions.Application of an ultrashort breath-hold Dixon VIBE sequence for improved arterial phase imaging, with resultant overall improved image quality due to better patient compliance. Precontrast (top left), first (top right), and third (bottom left) arterial phase images, and 20-minute delayed hepatocellular phase images (bottom right) after injection of gadoxetic acid are presented in a 74-year-old man with metastatic rectal adenocarcinoma. Acquisition time for each image series was 4.8 seconds, with scans acquired at 3-tesla using a 60-channel body coil. A new small metastasis along the dorsal margin of the liver (black arrow) demonstrates prominent early arterial enhancement, with some wash out by the late arterial image, and no uptake in the delayed phase. Also visualized at this level are a hemangioma (white arrow) and a larger metastasis previously treated by microwave ablation (asterisk). Note the absence of respiratory artifacts due primarily to the short scan time, as compared with more conventional 15 to 20 seconds VIBE acquisitions.

Simultaneous multislice imaging RESOLVE uses the readout-segmented, multishot echoplanar imaging (EPI) sequence for high-resolution, low-distortion diffusion imaging, and can be applied to brain, spine, head/neck, and body regions such as the prostate and breast. The main drawback is the lengthened acquisition times relative to single-shot EPI. Simultaneous multislice imaging brings strong clinical benefits to RESOLVE: faster scan times (high-resolution EPI with no time penalty), thinner slices, more slices, and more diffusion resolution (more b values, more directions), they added.

Scan time can be markedly reduced, depending on the slice acceleration factor, which is an empirical compromise between the necessary spatial resolution for a planned exam and its acquisition time (e.g., with an acceleration factor of two); a simultaneous multislice imaging diffusion-weighted imaging exam's acquisition time can be reduced by almost half, the authors wrote.

Data sparsity

Data sparsity involves collecting less than the complete set of data, specifically undersampling k-space, and a well-known example is sampling every other line of k-space, which results in fold over artifacts (image wrap), they noted.

"Sparse reconstruction techniques depend upon the concepts of image sparsity, aliasing artifacts, and specialized reconstruction to recover the unaliased, sparse image; images may have data sparsity spatially or temporally," they explained. "Thus MRI techniques that observe a dynamic process, such as cardiac motion or contrast enhancement, are good areas potentially for the application of sparse reconstruction."

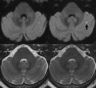
The use of simultaneous multislice imaging to decrease scan time for thin section imaging of the brain. A small pinpoint early subacute cerebellar infarct (arrow) is seen, on images acquired at 3-tesla using a 64-channel head and neck coil, in a 49-year-old female patient. For all scans, 2.5-mm-thick sections were acquired through the entire brain. Readout-segmented, diffusion-weighted (b = 1,000) images are compared in the upper row, without and with simultaneous multislice imaging (two times acceleration). simultaneous multislice imaging was used to allow a decrease in TR from 12.75 to 6.38 seconds, with scan time thus decreasing from 5:46 to 3:26min:s. In the lower row, T2-weighted scans without and with simultaneous multislice imaging (three times acceleration) are compared. In this instance, simultaneous multislice imaging was used to eliminate the need for concatenations (three were required for the conventional scan, due to the number of slices), resulting in a decrease in scan time from 1:29  3 (4:27) to 1:45 min:s.The use of simultaneous multislice imaging to decrease scan time for thin section imaging of the brain. A small pinpoint early subacute cerebellar infarct (arrow) is seen, on images acquired at 3-tesla using a 64-channel head and neck coil, in a 49-year-old female patient. For all scans, 2.5-mm-thick sections were acquired through the entire brain. Readout-segmented, diffusion-weighted (b = 1,000) images are compared in the upper row, without and with simultaneous multislice imaging (two times acceleration). simultaneous multislice imaging was used to allow a decrease in TR from 12.75 to 6.38 seconds, with scan time thus decreasing from 5:46 to 3:26min:s. In the lower row, T2-weighted scans without and with simultaneous multislice imaging (three times acceleration) are compared. In this instance, simultaneous multislice imaging was used to eliminate the need for concatenations (three were required for the conventional scan, due to the number of slices), resulting in a decrease in scan time from 1:29  3 (4:27) to
1:45 min:s.

Sparse reconstruction techniques rely upon the use of a specialized data sampling pattern that results in nonregular, noise-like aliasing artifacts, which can be achieved, for instance, by randomly undersampling k-space, and the actual image is readily distinguishable from these. The selection of an appropriate trajectory through k-space for data collection is extremely important, with one requirement being that the path must be smooth. With 2D imaging, in the place of random undersampling, other trajectories are used, for example, radial or spiral paths, the researchers pointed out.

Reconstruction methods are based upon the concept that spatial information can be separated from temporal information in a dynamic image series, and low-resolution images capturing temporal dynamics are used together with a static high spatial resolution image to generate a dynamic series with high spatial resolution, they added.

"These methods rely upon the assumption that the change from frame to frame is only in a few image pixels, and that the change is slow and smooth," the authors wrote. "HYPRFlow is one such technique, used for MR angiography, and assumes that the signal intensity changes are restricted to blood k-t methods, like separable methods, take advantage of sparsity in dynamic acquisitions, but use both spatial and temporal sparsity."

Many variants of this approach exist, but all depend upon the principle that for many dynamic images (e.g., cardiac imaging) only certain parts of the image contain motion, the rest being static, they concluded.

Page 1 of 1303
Next Page