Dear Cardiac Imaging Insider,
When contrast injection is tailored automatically to patient weight in coronary CT angiography, the result is consistent enhancement across all weight categories, according to new research from the Netherlands.
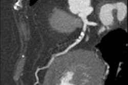
Radiologists from Maastricht University tested their new automated contrast injection device on a few hundred patients and compared the results with a control group that received a fixed contrast dose. Just by inputting patient weight before the scan, the investigators ended up with even opacification and several other benefits in the bargain.
In nuclear cardiology, a worldwide survey of radiation doses gave Europe high marks for keeping its radiation doses lower than most other places. In fact, Europe handily outperformed the U.S. and the rest of the world. In part, it results from years of compliance with European Atomic Energy Community directives on radiation safety, though there is progress yet to be made. How can Europe solidify its gains? Find out here.
Mechanical heart valves have been notoriously difficult to follow up on after they're implanted due to substantial metal artifacts in CT. But a group from Rotterdam, the Netherlands, has found it can eliminate those artifacts with the use of third-generation dual-source CT, paving the way to better assessment of prosthetic valves. Learn how they do it by clicking here.
Meanwhile, German researchers are revealing new insight on changes in heart function during free diving, when divers hold their breath for extended periods. Cardiac MRI showed that what happens to elite divers is not all that different from systolic heart failure, reported researchers from the University Hospital of Cologne. The good news is that the divers recover.
Those elite divers may have another important factor in their favor, according to another study from Germany. The researchers concluded high socioeconomic status is associated with reduced risk for cardiovascular disease, in a study you'll find here.
A much larger study known as the German National Cohort also is seeking answers to questions about socioeconomic status and risk factors in disease development. More than 200,000 volunteers will undergo cardiovascular and other testing, and they will respond to in-depth questions with the hope of finding new risk factors and new pathways to health. The Germany Presents session at RSNA 2015 in Chicago last month explained it all.
We invite you to scroll through the links below for the rest of the cardiac news from the heart of Europe, all in your AuntMinnieEurope.com Cardiac Imaging Community.


















