
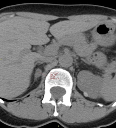
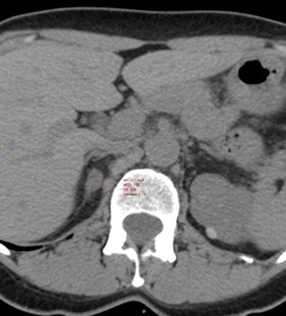
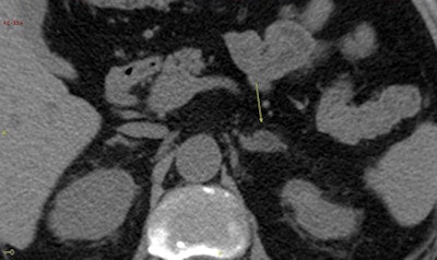
New research from Italy has highlighted how the use of CT is uncovering a growing number of incidental findings. About 4% of CT scans will detect a subclinical "silent" tumor in the adrenal gland, which presents a challenge due to inadequate information available about disease progression, according to the study authors.
Furthermore, with no letup in the demand for CT, detection of these adrenal incidentalomas looks set to increase, making it vital for doctors to formulate patient-tailored and cost-effective treatment plans.

The 15-year study, published online on 29 January in Lancet: Diabetes & Endocrinology, may prove the first step toward establishing an accepted treatment strategy tailored to each patient that, speculatively, will both improve their outcomes and optimize expenditure. It shows how such adrenal incidentalomas progress and how tumor type and progression can have an impact on patients' risk of cardiovascular (CV) event and death.
Although metabolic alterations and increased risk of CV event have been noted in patients with silent hypercortisolism (subclinical Cushing's syndrome), this is thought to be the first time that CV event incidence and mortality in the long term have been assessed in such patients.

The study, which took place between January 1995 and September 2010 at the S. Orsola-Malpighi Hospital in Bologna, revealed that some tumors become more active over time and that the risk of CV event rises in adrenal incidentaloma patients with mild hypercortisolism, even when the clinical signs of overt hypercortisolism are not present.
The study cohort was composed of 198 consecutive outpatients who were assessed every 18 to 30 months over the first five years before being divided into one of three groups: those with stable mild hyperproduction of cortisol (in which 16.7% of patients experienced a CV event); those with mild hyperproduction of cortisol which worsened over the five-year period (in which 28.4% of patients experienced a CV event); and those with nonfunctioning tumors (in which 6.7% experienced a CV event). Individual follow-up ranged from 26 months to 15 years.
The new study is a breakthrough for determining how patients with silent adrenal tumors should be managed and which patients will benefit from a surgical approach, according to Dr. Guido Di Dalmazi.
Compared with stable nonsecreting adrenal incidentaloma patients, unadjusted survival for CV-specific mortality was lower in patients with stable mild hypercortisolism (97.5% versus 78.4%) and those with worsened secreting patterns (97.5% versus 60%). Furthermore, survival rates for all-cause mortality were lower in patients with stable mild hyperproduction of cortisol (57%) compared with those with stable nonsecreting tumors (91.2%).
Prior to the study, the lack of historical data about these tumors meant that there was no established treatment strategy for such patients, and their management differed from hospital to hospital, leading to high costs but varying results for patients, according to the authors.
"The most important aspect of this study is now we know more about the natural history of this disease and how we should treat patients," said Dr. Guido Di Dalmazi, a researcher and endocrinologist at the S. Orsola-Malpighi Hospital. "Due to the increased incidence of CV event and mortality associated with elevated cortisol levels, we can speculate that a surgical rather than nonsurgical approach will be beneficial in patients with a secreting tumor."
The next step is to study which specific patients will benefit from surgery and which from drug therapy, according to Di Dalmazi, who pointed to patients with bilateral disease as potential candidates for a medical rather than surgical approach.