
Save breast cancer patients from getting unnecessary radiation by skipping regular mammography and going straight to contrast-enhanced digital mammography in symptomatic women, German researchers told delegates at the recent RSNA 2012 meeting in Chicago.
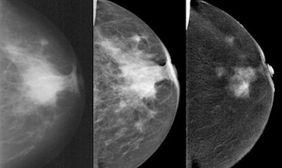
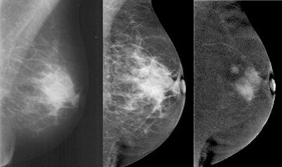
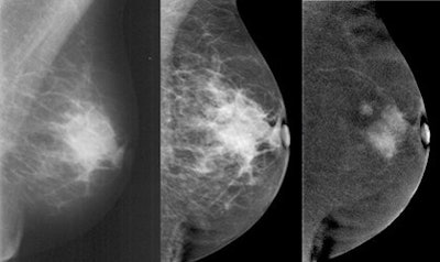
In the search for a breast cancer modality that has a higher sensitivity than mammography, contrast-enhanced mammography has come into focus. Contrast-enhanced mammography improves sensitivity without decreasing specificity, and is increasingly used as an adjunct in cases in which mammography is inconclusive, especially in symptomatic women, said Dr. Eva Maria Fallenberg from Charité - Universitätsmedizin Berlin.
Fallenburg and her colleagues compared contrast-enhanced digital mammography to mammography, and also the combination of mammography and contrast-enhanced digital mammography, for detection and tumor size estimation of histologically proven breast cancers.


The study was approved by the German governmental Health Authorities and Ethics Committee, and included 68 patients with biopsy-proven breast cancer. Contrast-enhanced digital mammography was performed as a bilateral mammogram (Senographe DS, GE Healthcare), starting two minutes after injection of 1.5 mL/kg of an iodinated contrast agent (300 mg/mL) with a flow of 3 mL/sec. Contrast-enhanced digital mammography and mammography images were interpreted by three blinded independent radiologists with an interval of four weeks for memory washout.
The researchers found 23 false negatives in mammography. There were three false negatives in the combination (mammography plus contrast-enhanced mammography) and two false negatives in contrast-enhanced mammography alone. Sensitivity was 87.6 % for mammography, 97.4% for contrast-enhanced mammography, and 92.3% for the combination.
"Contrast-enhanced digital mammography alone showed equal detection and sensitivity for the index cancer than the combination with mammo," Fallenberg concluded. "It is superior to mammo alone in lesion detection, and there was no significant difference in size evaluation between all the three modalities. So I would say in symptomatic patients we can start with contrast-enhanced mammography alone upfront and save 50% of the radiation dose."
In an interview with AuntMinnieEurope.com, Fallenberg cautioned the study contained too few patients to change clinical practice and more studies are needed, but it's a promising start.