
Borrowing a technique from the virtual colonoscopy playbook, researchers from South Carolina and Germany found that coronary CT angiography (CTA) is better than previously thought compared to catheter-based coronary angiography -- in fact the two tests are essentially equivalent, they said.
The comparison was obtained following the development of an enhanced reference standard known as segmental unblinding, which compares the results of two tests to each other rather than to a so-called "gold standard" modality -- which often tends to be at least slightly tarnished.
Perhaps the biggest problem with gold standard tests -- whether used for optical colonoscopy, catheter angiography, or any other exam -- is that they inherently limit the success of any new test to which they're compared, said U. Joseph Schoepf, MD, in an interview with AuntMinnie.com. The study was presented last month at the 2010 Society of Cardiovascular Computed Tomography meeting (SCCT) in Las Vegas.
"Whatever results you accomplish with the newer test, the best possibility is that it is as good as the traditional test, but it can never be better and typically it's worse than the traditional test in your analysis," said Schoepf, who is a professor of medicine and radiology at the Medical University of South Carolina (MUSC) in Charleston.
Principal investigator Matt Kerl, MD, along with Schoepf and colleagues, followed almost exactly the segmental unblinding method used by Pickhardt et al in their landmark 2003 virtual colonoscopy trial (New England Journal of Medicine, December 4, 2003, Vol. 349:23, pp. 2191-2220).
The essential difference was the group's focus on coronary artery segments rather than colon segments.
Pickhardt and colleagues used optical colonoscopy followed by virtual colonoscopy (also known as CT colonography or CTC). But instead of simply comparing the virtual colonoscopy results to optical colonoscopy and expressing the VC sensitivity as a percentage of the optical colonoscopy sensitivity, the researchers took the extra step of doing the comparison in reverse.
In other words, after the colonoscopy interpretation, they went back to compare VC to the colonoscopy results, pointing out apparent lesions optical colonoscopy may have missed and enabling the gastroenterologists to recheck those segments for possible missed lesions. The resulting enhanced gold standard was a fairer comparison of the techniques, delivering for VC higher sensitivity compared to conventional colonoscopy than it would otherwise have achieved.
In the cardiac study from MUSC and the University of Frankfurt, the researchers followed the same method but with coronary artery segments, Schoepf said.
"We had two cardiologists interpret those catheter angiographies blinded, then based on result of coronary CT angiography, we alerted those same interpreters to areas that looked funny on CTA -- and we asked them to have a second look to see if there was something they had missed. And that was indeed so in a number of cases," Schoepf said.
The researchers from MUSC and the University of Frankfurt prospectively compared the per-segment and per-patient accuracy of coronary CTA and invasive coronary angiography (ICA) for diagnosing significant stenosis using composite findings from both tests as an enhanced reference standard.
A total of 113 patients underwent both coronary CTA and invasive angiography, and the researchers assessed the per-segment and per-patient accuracy of coronary CTA compared with initial angiography interpretation. Angiographers were then unblinded to the coronary CTA results to re-evaluate angiography with knowledge of the coronary CTA findings -- the enhanced reference standard.
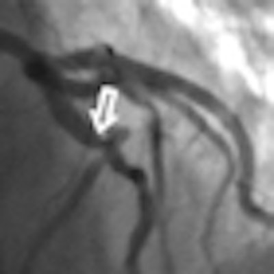
Invasive coronary angiography and coronary CTA studies in a 62-year-old woman. Significant stenosis of the mid left anterior descending coronary artery (arrows) just proximal to the second diagonal branch was missed during initial interpretation of invasive coronary angiograms (upper left) due to superimposition of vessels. The lesion was detected on coronary CTA, displayed as curved multiplanar reformat (right). Re-evaluation of invasive coronary angiography (lower left) after unblinding of coronary CTA results confirms lesion in a single angiographic projection. Images courtesy of Matt Kerl, MD, and U. Joseph Schoepf, MD.Using the enhanced reference standard instead of the initial angiography interpretation alone, accuracy of coronary CTA for identifying segments (patients) with 50% or greater stenosis increased from 97.7% (96.5%) to 98.1% (98.2%).
Per-segment/per-patient sensitivity rose from 90.5% (100%) to 90.8% (100%), and per-segment/per-patient specificity increased from 98.4% (94.3%) to 98.9% (97.1%).
Coronary CTA found six segments and two patients with stenoses of 50% or greater that had been missed on initial angiography. The diagnostic accuracy between the tests was not significantly different (p = 0.87).
Using the enhanced referenced standard shows that "these two tests are not that much different," Schoepf said. The results convey a couple of messages about the tests, he said.
"Catheter angiography is a good gold standard, but it may not be the best because of limitations this test has which we all know about," Schoepf said. For one thing, angiography has trouble depicting a key coronary artery, the left main, because it's typically tortuous and complex anatomy is not well-suited to catheterization.
A current article in Circulation describes problems with the projection angles in catheter angiography, Schoepf said. Depending on the angle, a minor slit stenosis can appear quite significant at angiography, leading to false positives and potentially needless intervention.
"If you take vertical projection images of that it may look perfectly fine, but if you're angulated by 90°, you see a significant stenosis all of the sudden," he said.
Of course, coronary CTA has its own limitations, which include difficulty visualizing the smallest and most distal lesions. But the take-home message for the study is that nothing beats the power of an enhanced gold standard, Schoepf said.
"What we recommend is that people abandon the idea of using catheter angiography as the gold standard for measuring the performance of coronary CTA because of the known limitations that are inherent to catheter angiography," he said. "Approaches such as ours -- which create more-independent reference standards by combining results from both tests -- may be more valuable and accurate in describing the performance of a test."
By Eric Barnes
AuntMinnie.com staff writer
August 4, 2010
Related Reading
Workstations deliver divergent soft-plaque results in CCTA, July 20, 2010
Cardiac CAD safely rules out coronary artery disease, June 1, 2010
Diagnostic balloon occlusion in normal coronary arteries is safe, May 18, 2010
Symptomatic patients with zero CT calcium scores still have cardiac events, October 2, 2009
Copyright © 2010 AuntMinnie.com


















