
The giant octopus in the registration area, the impressive model of Poseidon in the opening ceremony, and the host of other aquatic images from ECR 2019 looked stunning on social media, but what were the longer-lasting impressions and substantive issues to take away from this year's congress in Vienna? Our editorial team has compiled a list of the five main trends.
 An oceanic theme pervaded at ECR 2019, with a giant octopus greeting arrivals at the Vienna congress and a remarkable opening ceremony presided over by the ocean god Poseidon. Photos courtesy of ESR/ECR Today/Sebastian Kreuzberger.
An oceanic theme pervaded at ECR 2019, with a giant octopus greeting arrivals at the Vienna congress and a remarkable opening ceremony presided over by the ocean god Poseidon. Photos courtesy of ESR/ECR Today/Sebastian Kreuzberger.1. Radiology's glass ceiling is breaking down
"Go for it, girls!" urged Dr. Christiane Kuhl, director and professor of radiology at University Hospital RWTH Aachen in Germany, in our exclusive video interview from ECR 2019.
 Dr. Christiane Kuhl. Photo by Christof. G. Pelz.
Dr. Christiane Kuhl. Photo by Christof. G. Pelz.The fact that a serious researcher and scientist like Kuhl felt entirely comfortable issuing such a bold and unexpected exclamation confirms that European radiology is entering a new era. The days of massive gender imbalances in leadership positions appear to be numbered, as more women gain the confidence to apply for the top jobs when they arise.
The big change is that many role models now exist on both sides of the Atlantic -- and arguably the most inspirational and charismatic figure of all is Dr. Hedvig Hricak, PhD, chair of radiology at Memorial Sloan Kettering Cancer Center in New York City and a former RSNA president. At ECR 2019, she organized the new Women in Focus program, a two-day series of special sessions dedicated to women in healthcare.
"If you are thinking about a leadership role, take opportunities, and be prepared to take a risk if you are excited by a challenge that is presented, even if you do not know where it may lead. Be brave and trust in yourself," Hricak told delegates.
The scale of the task ahead for women in redressing the balance should not be underestimated, however. Kuhl is one of only two female radiology department heads at German university hospitals, and a similar situation exists in many other European nations. The glass ceiling will not be shattered overnight, but at least the process has well and truly begun.
 Women in Focus was a new special area of ECR 2019 dedicated to women in radiology.
Women in Focus was a new special area of ECR 2019 dedicated to women in radiology.2. AI advancements fuel discussion on ethics, validation
Although artificial intelligence (AI) technology may not have achieved quite the same level of interest at ECR 2019 as at RSNA 2018, AI was still one of the central themes in the scientific program at this year's congress.
Attendees were able to catch up on the latest AI developments by sitting in on the special focus sessions, New Horizons sessions, and a record number of 44 scientific sessions devoted to the topic. What's more, the Artificial Intelligence Exhibition (AIX) Theatre -- part of the AIX hall (see trend No. 4) -- featured standing-room-only keynote presentations and wide-ranging interactive panel discussions throughout the week.
Although image analysis applications always generate the most publicity, AI's initial use in radiology in Europe is revolving around speeding up and optimizing image acquisition -- embedded particularly in CT and ultrasound systems. AI technology has advanced rapidly over the past few years, however, and ECR 2019 prudently featured significant discussion on ethical considerations, including addressing biases inherent in the image datasets used to train algorithms and determining who is legally responsible for AI-based decisions.
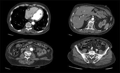
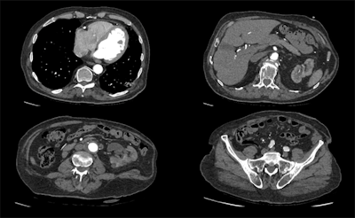
 A 100-kV CT scan with a dose length product of 159.8 mGy.cm, using Canon's Advanced Intelligent Clear-IQ Engine (AiCE). Images are courtesy of Radboud UMC, Nijmegen, the Netherlands, and originally appeared in ECR Today on 1 March 2019.
A 100-kV CT scan with a dose length product of 159.8 mGy.cm, using Canon's Advanced Intelligent Clear-IQ Engine (AiCE). Images are courtesy of Radboud UMC, Nijmegen, the Netherlands, and originally appeared in ECR Today on 1 March 2019.Luminaries also noted that rigorous clinical validation of AI algorithms remains an important obstacle for widespread acceptance and deployment of AI for image analysis applications in clinical practice. Developers need to demonstrate in prospective studies that their algorithms can yield high levels of performance on images generated by equipment of different vendors and in different patient populations -- not just on the images on which they were trained.
In addition, presenters stressed during ECR 2019 the need for radiologists to keep control of the AI process, become educated on the data science behind AI algorithms, and remain involved even after deployment to ensure quality assurance of continuously learning algorithms.
3. Attention shifts to patients in gadolinium debate -- plus, 7-tesla MRI advances
The safety of gadolinium-based contrast agents (GBCAs) continues to draw keen interest from clinicians. Many people are familiar with the studies suggesting that higher signal intensities in the brain are due to lingering traces of retained gadolinium; today's task is to determine how to inform patients about the risks of GBCAs versus the benefits of a GBCA-enhanced MRI scan.
What is the best approach to patient education? Should that risk be spelled out in an informational pamphlet given to every patient? Or should the information only be given to those who ask about gadolinium? These are the vital questions.
There is growing concern among the radiology community regarding patients developing "gadophobia" and opting out of GBCA-enhanced MRI scans, despite the fact that these studies could determine the presence or absence of a suspected disease.
 7-tesla MRI can detect the total burden of larger and smaller infarcts, including small microinfarcts in the deep gray matter (shown here inside red frames). Images are courtesy of Dr. Jeroen Hendrikse and originally appeared in ECR Today on 28 February 2019.
7-tesla MRI can detect the total burden of larger and smaller infarcts, including small microinfarcts in the deep gray matter (shown here inside red frames). Images are courtesy of Dr. Jeroen Hendrikse and originally appeared in ECR Today on 28 February 2019.Outside of gadolinium, a clinical session on 7-tesla MRI drew an overflowing crowd interested in hearing the experiences of a handful of clinical sites around the world using ultrahigh-field MRI. The higher signal-to-noise ratio of 7-tesla MRI and other technical benefits offer new insights into neuro and musculoskeletal imaging. Cardiovascular and abdominal MRI are thought to be the next applications to benefit from 7-tesla scanning.
Before you petition your radiology department chair to purchase a 7-tesla magnet, however, you should know there are also challenges, such as greater potential for artifacts and the difficulty in reaching a homogeneous transmit field for uniform image contrast. Oh, and there is that hefty price tag, too.
4. Vendors highlight practical uses of AI in radiology
Artificial intelligence is taking over radiology, and ECR 2019 was no exception. Vendors exhibiting at the Vienna meeting highlighted their progress in making AI a useful clinical tool for practical applications that go beyond just analyzing images.
For example, one vendor discussed its work on an algorithm that tries to predict which patients will fail to show up for scheduled imaging exams -- an expensive irritant for any radiology department. The algorithm combines data on the patient's clinical condition with other data such as age, appointment time, and even weather conditions. Imaging sites could use the algorithm to schedule additional reminders for patients, or to reschedule their appointment to a time when they are more likely to show up.
A common theme demonstrated by vendors at ECR 2019 was finding ways to use AI to help radiologists prioritize which cases they should interpret first. A number of vendors demonstrated algorithms that analyze images and flag the ones that could be signs of emergent conditions -- stroke on CT, for example, or pneumothorax on x-ray. These types of applications point toward AI's future as an assistant to radiologists that never tires or needs more coffee.
The organizers of ECR 2019 contributed to the technology's high profile at the meeting by dedicating an entire room of the exhibit hall to AI developers: the Artificial Intelligence Exhibition. Rather than forcing attendees to search the halls of the Austria Center Vienna, those inclined were easily able to find multiple exciting AI start-ups in a single location.
 Nvidia's Deep Learning Institute offered self-paced training for attendees at ECR 2019.
Nvidia's Deep Learning Institute offered self-paced training for attendees at ECR 2019.The hall also included the AIX Theatre for moderated talks on the technology by some of radiology's leading minds. Meanwhile, self-paced training was available at dedicated workstations.
All these developments at ECR 2019 without a doubt helped foster interaction and collaboration on AI in radiology in ways that will pay dividends in future years. They show that radiology vendors, working closely with radiologists, are seizing the high ground when it comes to making AI a reality for routine clinical use.
5. Patient engagement grows in importance
The medical imaging community has realized for a while now that it simply cannot afford to pay lip service and scant regard to the views of patients, but at ECR 2019, the profile and extent of patient engagement reached a new high.
Several sessions were dedicated to the patient's perspective, and they involved members of the European Society of Radiology's Patient Advisory Group (ESR-PAG) as participants and speakers. For instance, at Thursday's session about how to improve communication of critical information to patients, Austrian-born Caroline Justich -- who as a young woman was diagnosed with two tumors: a plexus papilloma and a pituitary adenoma -- explained why she felt that without positive and clear messages from her radiologist and oncologist, she would have been far less optimistic and more fearful when starting therapy.
"As a patient, you always try to read the radiologist's face, or study how they talk to colleagues while your examination takes place. These nonverbal clues lead to uncertainty and misinterpretation that result in distress for the patient. This needs to stop," she told delegates.
 In AI, we hear very little mention of patients, said Dr. Hugh Harvey.
In AI, we hear very little mention of patients, said Dr. Hugh Harvey.Radiologists must be skilled in direct communication with patients, said Dr. Christian Loewe, who is head of the cardiovascular and interventional radiology department at the Medical University of Vienna. Increasingly, radiologists are the first doctors to inform patients about a possibly unfavorable finding, particularly during ultrasound or image-guided intervention and therapy, he added.
As we enter the era of artificial intelligence, the effect of technology on patients is becoming more important than ever, noted Dr. Hugh Harvey, clinical director of Kheiron Medical, in a video interview. Some companies even brought patient advisors with them to ECR 2019, he said.
"Everybody is so focused on the impact of AI on workflow and improving the productivity of the radiology service that we hear very little mentioned of the patient," Harvey said. "We need to be rigorous about our impact on patients. Why are we collecting patient data and what are using it for? What will be the impact of our software once it's been deployed?"
It's been 22 years since the special exhibit "The patient is not a thing" took ECR by storm. The legacy of this groundbreaking, interactive exhibit from Scandinavia continues to be felt today.



















