Leeds Teaching Hospitals NHS Trust (LTHT) in the U.K. is partnering with Lucida Medical to investigate an AI tool for improving prostate cancer diagnosis.
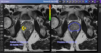
In collaboration with Lucida, LTHT is evaluating the effectiveness of the Prostate Intelligence (Pi) tool, an AI and machine-learning software system, for identifying prostate cancer lesions on MRI scans.
Lucida Medical
The ongoing study will compare AI-generated results from the Pi software against real-world outcomes for 100 patients who have recently completed a prostate cancer treatment pathway. The software highlights potential areas of concern on MRI scans and assesses risk scores and prostate size with AI algorithms that analyze prostate MR images. In clinical use, Pi would be set up to run automatically as soon as a patient’s MRI scan is completed.
As the project progresses, the study team hopes that the AI software will be sensitive and specific enough to identify prostate cancer.



















