
French artificial intelligence (AI) startup Pixyl is claiming a win in a radiology data challenge held last week at the French national radiology congress, Journées Francophones de Radiologie (JFR), in Paris.
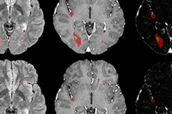
The Pixyl team delivered both the fastest and most accurate predictions of two-year clinical disability from MRI scans of a patient with multiple sclerosis (MS), according to the company.
Three data challenges pitted 20 multidisciplinary teams made up of data scientists, radiologists, researchers, and other domain experts against each other to develop the best AI algorithm on imaging databases. Each competing team received an initial set of training data one month prior to the congress, followed by a second set of data on the first day of the event. Results had to be submitted on the same day.
Teams from IBM and Owkin won the other data challenges at JFR 2019.
Pixyl believes that MR image analysis is an important step toward assessing and predicting clinical disability in MS and, thus, personalizing treatment for patients.



















