
15 octobre 2019 -- L'épidémie de stéatohépatite non alcoolique (NASH) chez les enfants évolue encore plus vite que celle d'obésité, ont déclaré des experts lors des JFR 2019 à Paris. Dans la population adulte, il est devenu l'une des principales indications de la transplantation du foie dans certains pays. Par conséquent, les outils permettant de détecter et de classer la NASH chez les enfants sont essentiels pour assurer un bon suivi et de bons résultats.
Une meilleure détection de la NASH dans la population pédiatrique devrait devenir possible dans les prochaines années, grâce au développement d'outils tels que l'échographie quantitative multiparamétrique et l'IRM multiparamétrique, selon le Pr Stéphanie Franchi-Abella, PhD, responsable de la radiologie interventionnelle pédiatrique à l'Hôpital Bicêtre, au Kremlin-Bicêtre.
Dans une présentation du samedi matin pendant la séance sur la NASH chez les enfants et les adultes, le Pr Franchi-Abella a expliqué comment des changements comportementaux menant à l'obésité chez les enfants et les adolescents signifiaient que la stéatose hépatique non alcoolique (NAFLD) est devenue une cause importante de maladie chronique du foie chez les enfants, avec une prévalence allant de 3% à 10% dans la population générale et jusqu'à 70% chez les enfants obèses.
"Le défi est de pouvoir détecter la stéatose hépatique et de distinguer les patients atteints de stéatose simple de ceux qui évoluent vers la NASH, qui associe la stéatose à une inflammation et un gonflement des hépatocytes et peut évoluer vers une cirrhose et / ou un carcinome hépatocellulaire", a-t-elle déclaré. "En outre, la NASH est associée au diabète sucré de type 2 et au syndrome métabolique, qui nécessitent une gestion spécifique."
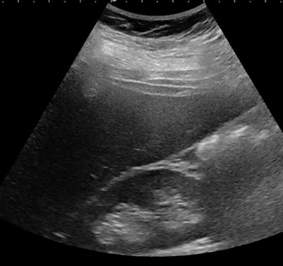
![Échographie d'une jeune fille de 14 ans souffrant d'obésité sévère (indice de masse corporelle [IMC], 42 kg / m2). Il existe une hépatomégalie associée à une augmentation de l'échogénicité hépatique par rapport au rein droit et à une atténuation correspondant à une stéatose sévère. Ci-dessous, le même patient présente une augmentation du ratio foie / reins. Toutes les images avec l'aimable autorisation de Pr Stéphanie Franchi-Abella, PhD.](https://img.auntminnieeurope.com/files/base/smg/all/image/2019/11/ame.2019_10_10_21_09_1189_steatose-fig-1a.png?auto=format%2Ccompress&fit=max&q=70&w=400)
La détection précoce est importante, car le régime alimentaire peut inverser le processus au début de la maladie. Cependant, la détection et la quantification de la teneur en graisse du foie et de la fibrose et de l'inflammation associées, indispensables au diagnostic de la NASH, restent difficiles chez les enfants; L'échographie en mode B reste relativement limitée pour le diagnostic de stéatose hépatique, la teneur en matières grasses devant être supérieure à 20%, mais la quantification n'est pas encore disponible comme outil clinique de routine sur les échographes, selon le Pr Franchi-Abella.
Bien que l'évaluation de la fibrose hépatique s'améliore avec l'utilisation de l'élastographie par ondes de cisaillement (SWE), elle n'a pas encore été validée pour une utilisation en pédiatrie. Pendant ce temps, la quantification de la stéatose et de la fibrose par IRM reste difficile chez les enfants et moins efficace que chez les adultes.

La lumière à l'horizon
Cependant quelques lueurs d'espoir se dessinent à l'horizon. Les développements récents dans la technologie ultrasonore peuvent améliorer la quantification de la teneur en graisse grâce à l'utilisation du paramètre d'atténuation contrôlée (CAP), tandis que les techniques SWE peuvent aider à évaluer la fibrose et l'inflammation, cette dernière par l'évaluation de la viscosité.

"A l'heure actuelle, l'étalon-or pour le diagnostic de la NASH chez les patients pédiatriques reste la biopsie du foie, qui est à la fois imparfaite et invasive. C'est pourquoi un effort énorme est actuellement déployé pour développer une évaluation non invasive de ces troubles", a déclaré le Pr Franchi-Abella. "En construisant des scores en utilisant des tests de laboratoire et en effectuant une échographie en mode B et une quantification par ultrasons avec CAP et SWE, nous pouvons améliorer considérablement la détection de la NAFLD précoce et de faibles niveaux de fibrose chez les patients NASH."
Bien entendu, l'amélioration des techniques d'IRM sera également très importante, a-t-elle ajouté. Chez la population adulte, l'IRM fournit la quantification la plus précise du contenu en graisse hépatique, en particulier lors de l'utilisation en routine clinique de séquences de quantification à la fraction lipidique de densité proton (PDFF) et à partir de la spectroscopie dans des centres de recherche. L'élastographie par résonance magnétique hépatique fournit également de bons résultats pour la détection de la fibrose chez ces patients.
Cependant, les résultats, y compris ceux obtenus par élastographie par résonance magnétique, ne sont pas optimaux dans la population pédiatrique, principalement pour deux raisons: D'abord, à cause de problèmes techniques pour les patients les plus jeunes qui ont besoin de sédation et pour lesquels la segmentation automatique pour la quantification de la teneur en graisse peut être difficile. Aussi, la NASH chez les enfants et les adolescents est différente de la maladie chez la population adulte, avec moins d'inflammation, principalement périportale et moins fibrotique.
"Nous devrons sélectionner les patients qui nécessitent une détection spécifique: les patients en surpoids et obèses et, en raison de facteurs héréditaires, les frères et sœurs des patients atteints de NASH, car environ 59% des frères et sœurs sont également touchés", a-t-elle déclaré.