Screening for breast cancer in women under 40 may be useful for early detection, according to research presented at the annual scientific meeting of the Royal Australian and New Zealand College of Radiologists (RANZCR) held in October in Melbourne.
Using data from a retrospective review, a team led by Dr. Vanessa Atienza-Hipolito of Women’s & Breast Imaging (WBI) in Cottesloe and Murdoch, Australia, aimed to determine the utility of breast cancer screening in symptomatic women younger than those covered under current recommendations.
National Australian screening programs invite women between the ages of 50 and 74 for routine screening mammograms. Women between 40 and 50 years old are eligible for screening, but they do not receive invitations.
Correlative mammographic, sonographic, and histopathological findings in a 37-year-old woman presenting with a left breast skin abnormality and palpable mass. (a) Synthesized 2D mammogram, left breast, mediolateral oblique (MLO) projection: Spiculated mass density in the upper outer quadrant.Courtesy Atienza-Hipolito and Alderman; RANZCR
Under the guidelines, routine screening is not recommended for women under the age of 40, but those in this group may have diagnostic imaging if they are symptomatic.
Atienza-Hipolito and colleagues conducted a retrospective audit at a single metropolitan breast imaging center for symptomatic women 40 years and under who underwent diagnostic breast imaging between January 2013 and December 2024. Their analysis included only data from 71 women with biopsy-confirmed breast cancer.
The women who were under 35 generally underwent targeted breast ultrasound with limited mammography, while women between 35 and 39 underwent diagnostic mammography with or without ultrasound, in accordance with RACGP and BreastScreen WA guidelines.
Correlative mammographic, sonographic, and histopathological findings in a 37-year-old woman presenting with a left breast skin abnormality and palpable mass. (a) Synthesized 2D mammogram, left breast, mediolateral oblique (MLO) projection: Spiculated mass density in the upper outer quadrant.Courtesy Atienza-Hipolito and Alderman; RANZCR
The majority of cases (49; 69%) occurred in women ages 35 to 40, with 15 cases (21%) in the 30 to 34 age group. Women under 30 accounted for seven cases (10%).
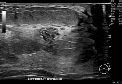
Correlative mammographic, sonographic and histopathological findings in a 29-year-old woman presenting with a palpable left axillary lump, subsequently shown to be accessory breast tissue. (a) Ultrasound, left breast, 12 o’clock position: A 10 mm partially irregular hypoechoic lesion with internal calcific foci, located 1 cm from the nipple.Courtesy Atienza-Hipolito and Alderman; RANZCR
Cases in the under-30 age bracket remained consistently low across the study period, and the number of total cases fluctuated from year to year, ranging between three and 10 cases per year.
However, there was a peak in annual diagnoses in 2022, with the increase notable in the 35 to 40 age group.
The authors suggest that, while limited to a single center, the results of the review suggest that screening for symptomatic women under the recommended ages may be necessary for early detection of some cases. Multicenter studies and population-based studies, coordinated in collaboration with professional and governmental organizations, may confirm their findings on a wider scale.
The poster is available for reading on the EPOS section for the RANZCR ASM 2025, which is available on the European Society of Radiology's website.


















