Dear Molecular Imaging Insider,
In Switzerland, the mean annual effective dose per capita from CT examinations increased from 0.28 mSv in 1998 to 1.24 mSv in 2021. This was mainly due to a significant increase in the number of CT and PET/CT exams performed, according to a new study.
The situation has led to the introduction of clinical audits in radiation protection. Today's top story is about how the whole process was managed and what the auditors found.
Lutetium-177 vipivotide tetraxetan (Pluvicto) is showing great promise in prostate cancer. This targeted radioligand therapy was approved by the European Medicines Agency in December 2022, but very little evidence of its efficacy and toxicity has so far been provided. A group from Johns Hopkins has published novel data on the radiopharmaceutical.
Microplastics have been found in the lungs, large and small intestines, liver, placenta, semen, and bloodstream, but not in the human brain, according to researchers from Berlin. They've detected microplastics in olfactory bulb brain tissues of eight deceased individuals in Sao Paulo, Brazil.
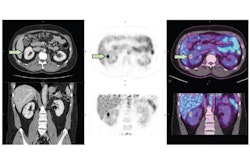
An emerging PET radiotracer fills an unmet need to identify small lesions in the kidney, which could allow earlier diagnosis of clear-cell renal cell carcinoma, a multinational research team has reported. Check out our article.
Finally, an important U.K. study has found that F-18 FDG-PET/MRI may become an essential tool for evaluating how patients with large vessel vasculitis respond to treatments. PET/MRI achieved what no other available imaging approach can do: It distinguished active from inactive disease and tracked disease activity over time.
These news stories are just a sample of the material we've posted during the last few weeks in the Molecular Imaging Content Area. Please contact me if you have any ideas for future coverage.
Philip Ward
Editor in Chief
AuntMinnieEurope.com





















