
Hybrid imaging involves combining two imaging modalities, typically PET and CT, SPECT and CT, or PET and MRI. It accounts for a significant proportion of the daily workflow in a number of imaging departments across the world, and is employed to study biological processes, with use of dedicated animal scanners in research applications.
The following four steps are necessary to ensure that hybrid imaging is used to its full potential:
1. Increased availability of radiopharmaceuticals
PET is not only about FDG, but many radiopharmaceuticals are able to offer significant advantages to patients, but cannot be used due to regulatory constraints that are not always fully justified. Also, different rules apply in different countries, causing inequality in patients' access to modern diagnostic procedures within the European Union (EU).
Radiopharmaceuticals are the core of hybrid imaging and their diagnostic use in combination with CT and MRI can exploit all the potential of clinical and preclinical imaging. In the near future, we should aim at using all modalities to their full capabilities. In practical terms, this means we must promote the use of various radiopharmaceuticals in both PET and SPECT, and combine the signals coming from these molecular probes with full diagnostic CT and MRI, according to patients' needs.


Different radiopharmaceuticals used in PET/CT to image different brain lesions. The panel shows how the molecular component of hybrid imaging is of paramount importance and should be selected according to the patients' needs.
2. Availability of training schemes dedicated to hybrid imaging
Scientific societies are offering educational activities aimed at developing the next generation of imaging professionals. The European School of Multimodality Imaging and Therapy, founded by the European Association of Nuclear Medicine (EANM), is a brilliant example. These educational activities should aim to provide all the competences and skills required in order to correctly use and interpret hybrid imaging, including a complete knowledge of radiopharmaceutical biodistribution and of PET, CT, and MR technology.
It is easy to understand the design and implementation of such a program is not "hassle-free." The courses should also be offered at a national level, in order to increase knowledge and confidence in hybrid imaging among the entire community.
3. Creation of a legal framework at the national level
This is essential to allow nuclear medicine physicians and radiologists to have access to hybrid imaging. Double certification (radiology and nuclear medicine) is not a long-term option.
We need to set up national programs to certify specialists able to interpret all diagnostic modalities employed in hybrid imaging. These programs should focus on the combined use of the different technologies (e.g., PET/CT and PET/MR), neglecting those techniques that do not require multimodality or hybrid imaging. The programs should be accessible not only to new specialists, but also to those who are already practicing imaging with hybrid modalities.
4. Generation of evidence of the clinical advantages of hybrid imaging
Different imaging modalities are used in combination in research and clinical practice to evaluate the characteristics of a particular organ or body area, but the high-end technology used in hybrid imaging is expensive and needs to be justified.
We need to design, finance, and promote clinical trials that focus on demonstrating the advantages of using the hybrid technologies, in particular PET/CT and PET/MR. Robust clinical results need to be produced in order to validate these new technologies in clinical settings, also from an economic point of view.


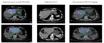
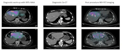
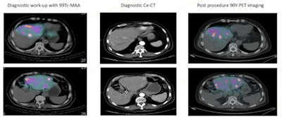
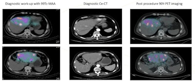
Example on how hybrid imaging modalities can be used successfully to guide liver cancer therapy with radioactive particles. Hybrid imaging can evaluate the feasibility of the therapy and then to assess the correct bio-distribution of the radioactive spheres immediately after the therapy. This is a perfect example on how nuclear medicine and radiology are collaborating not only on the imaging side, but also in performing interventional procedures.
I am confident the scientific community, at a European and national level, will be able to drive this important evolution in the imaging field. Some steps have already been taken and the great majority of us understand the importance of this evolution for the world of imaging.
As an example, in order to increase the diffusion of scientific reports on hybrid imaging, we decided to launch the European Journal of Hybrid Imaging (EJHI). The journal was created as a platform to publish papers focusing on the use of hybrid and multimodality imaging in clinical practice, clinical trials, and preclinical research. EJHI will actively contribute to the creation of a bridge between the different modalities employed in imaging and will facilitate their use by the scientific community.
Dr. Arturo Chiti is professor of diagnostic imaging and radiotherapy at Humanitas University, Milan,editor in chief of the European Journal of Hybrid Imaging, and a member of the editorial advisory board of AuntMinnieEurope.com.
The comments and observations expressed herein do not necessarily reflect the opinions of AuntMinnieEurope.com, nor should they be construed as an endorsement or admonishment of any particular vendor, analyst, industry consultant, or consulting group.

















