Dear AuntMinnieEurope Member,
The preliminary findings of a significant U.K. training survey were published last month. They make ugly and depressing reading but cannot be ignored, Dr. Paul McCoubrie writes in a new viewpoint column.
Ever since we posted McCoubrie's first article back in 2013, he's brought clarity, common sense, and good humor to a wide range of topics. I think you'll agree he's done so again here.
Thankfully, it's still relatively rare for a radiologist's clinical practice to come under intense scrutiny at a long and protracted tribunal, but that's exactly what happened to Dr. Claudia Lorena Martinez Higueros. Don't miss our report on the outcome of the investigation.
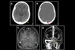
The incidence of ischemic stroke among adolescents and young adults is now a public health concern due to significant morbidity and extended disability in this age group. How can imaging help? A team from Santander in Spain has provided some answers.
Any research conducted at Erasmus Medical Center in Rotterdam, the Netherlands, is well worth a second look, so make sure you check out a new study on risk factors in osteoarthritis.
Last Friday's story about the latest breast cancer screening guidelines from the European Society of Breast Imaging has proved very popular. In case you missed it, you can get the full details here.
Looking ahead, two important congresses begin soon: the International Society for Magnetic Resonance in Medicine Annual Meeting in Singapore (4-9 May) and the 105th German Radiology Congress in Wiesbaden (8-10 May). Watch out for our coverage.
Philip Ward
Editor in Chief
AuntMinnieEurope.com



















