
A PET study suggests that maintaining cardiovascular health during midlife can help reduce the risk of neurodegenerative disease later in life. That's the key finding of investigators from the Spanish National Center for Cardiovascular Research in Madrid.
Researchers led by Catarina Tristao-Pereira studied F-18 FDG-PET scans of individuals with subclinical atherosclerosis. Over a five-year period, these high-risk individuals had a steeper decline in cerebral glucose metabolism compared with individuals at low risk.
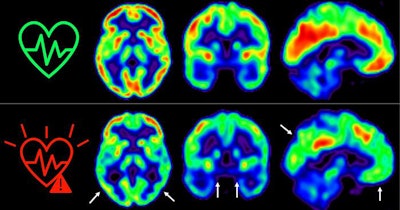
"The progression of subclinical carotid atherosclerosis during midlife is associated with a greater decline in metabolism in Alzheimer's brain regions," the group wrote, in an article published in the September issue of Lancet Healthy Longevity.
Cardiovascular disease and dementia often coexist at advanced stages, yet longitudinal studies examining the interplay between atherosclerosis and its risk factors on brain health in midlife are scarce, the authors explained. To address this gap in the literature, the researchers aimed to identify longitudinal associations between cerebral glucose metabolism on PET imaging, subclinical atherosclerosis, and cardiovascular risk factors.
The researchers gathered data from 370 middle-aged (40 to 50 years old) asymptomatic subjects with preclinical atherosclerosis from the Progression of Early Subclinical Atherosclerosis (PESA) study, an ongoing Spanish cohort study of 4,184 individuals launched in Madrid in 2010.
Participants underwent cerebral F-18 FDG-PET baseline scans and then during follow-up visits over five years, with annual percentage changes in FDG brain uptake assessed as the primary outcome. Sixty-one (16%) participants were women and 309 (84%) were men, while 73 (20%) participants were apolipoprotein E (APOE) e4 carriers susceptible for Alzheimer's disease.

According to the analysis, a persistent high risk of cardiovascular disease was associated with an accelerated decline of cortical F-18 FDG uptake compared with low-risk individuals. Specifically, on average, standard uptake value ratios (SUVRs) decreased by 61% per year in the whole cortex and by 77% per year in hypometabolic regions associated with Alzheimer's disease.
"Our results show that asymptomatic middle-aged individuals at high risk of cardiovascular disease over a five-year period have a steeper decline in cerebral glucose metabolism compared with individuals at low risk," the authors wrote.
The researchers noted that the data expand on results from a previous study in a smaller PESA study cohort that confirmed higher cardiovascular risk was associated with lower cerebral glucose metabolism. With this new data in hand, the group plans additional research to look at the causality of these associations.
"Further studies are necessary to investigate whether midlife subclinical carotid atherosclerosis and associated cardiovascular risk factors are causally associated with later cognitive decline and with the development of dementia," the team concluded.
The full article is available here.