
In tandem with Lung Cancer Awareness Month, France's union of private radiologists, Fédération nationale des médecins radiologues (FNMR) has renewed its calls for implementation of lung cancer screening through a new petition.
In a press conference on 18 November, the FNMR was joined by the country's union of pneumologists (Syndicat National de l'Appareil Respiratoire, SAR) and the union of radiotherapists (Syndicat National des Radiothérapeutes Oncologues, SNRO), who have lent their voice to the campaign. Their joint petition urges the government to implement lung cancer screening in the form of pilot trials in several regions so that it can later be rolled out across the country.
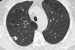
In recent years, the FNMR, which successfully lobbied the government to implement breast cancer screening in France, has asked Parliament to launch a series of regional trials using low-dose CT in at-risk patients, but these demands have, to date, been rejected.
Lung cancer is one of the most frequent and deadliest cancers in France, causing more than 33,000 deaths each year, the unions noted in a statement. Several studies have shown the significant benefits of lung cancer screening. The most recent, the Belgian-Dutch NELSON study, revealed that the use of low-dose CT scans in targeted at-risk populations allowed early cancer detection and a mortality reduction of 25% in men, and more than 40% in women.
The unions noted that the first national lockdown period showed that without screening, cancers increase in number and severity. A task force comprising oncologists, pulmonologists, and thoracic radiologists has recently recommended that informed and consenting patients between the ages of 50 and 74 who smoke but have agreed to a smoking cessation program or who have stopped smoking within the past 10 years (threshold of 10 cigarettes per day for 30 years or 15 per day for 25 years) be screened with low-dose thoracic CT without contrast.
The unions agree with these recommendations, noting that a second reading would be undertaken by computer-aided diagnosis rather than by another radiologist. If the examination is negative and there aren't other risk factors, screening will be repeated at one year, then every two years until 74 years of age. The lung cancer screening petition is open to all medical doctors.



















