
An all-European machine dubbed "the most powerful MRI scanner in the world" has delivered its first images: a pumpkin scanned at 11.7 tesla. The plan now is to move on to patients, says Dr. Denis Le Bihan, PhD, who came up with the idea over 20 years ago.
"We are not ready yet to scan patients, hence our first image is of a pumpkin!" he told AuntMinnieEurope.com. "Besides the season, this vegetable was chosen because it has approximately the size of a human head, contains a lot of water, and has an internal structure that provides a crude 'model' of the brain. Still, the results are gorgeous -- a good sign for our future work!"
 MRI scans of a pumpkin at 11.7 tesla. Image courtesy of Drs. N. Boulant, C. Lerman, L. Quettier, and CEA-Paris-Saclay.
MRI scans of a pumpkin at 11.7 tesla. Image courtesy of Drs. N. Boulant, C. Lerman, L. Quettier, and CEA-Paris-Saclay.Before scanning patients, Le Bihan and his colleagues still have some technical optimization to perform, especially for the radiofrequency system.
"My colleagues have developed a fancy in-house multichannel coil compatible with parallel imaging, and related algorithms for acquisition and image reconstruction," he explained. "This technique is crucial as with 11.7 tesla, the frequency increases to 500 MHz. Such short waves result in signal inhomogeneities in the images which can be handled when using 'parallel transmission.' "
The group is also waiting for approval from the French regulators, added Le Bihan, the founder of NeuroSpin, part of the French Atomic Energy Commission (CEA). He is both a radiologist and a physicist, and he was credited with inventing diffusion MRI in the 1980s.
The 75-million-euro scanner
The 11.7-tesla MRI scanner is part of a project called Iseult that promotes molecular imaging using ultrahigh-field MRI. In addition to the CEA, the venture involves the University of Freiburg in Germany, Guerbet, Siemens Healthineers, and Bruker. It was founded as a French-German initiative in 2004 with a budget of up to 215 million euros, half of which came from industry and half from academia.
About 200 people have been involved in developing the scanner at an estimated cost of 75 million euros.
"The idea was to build a clinical MRI scanner operating at 11.7 tesla, which was considered crazy and highly risky at the time. But I knew I could count on the word-acclaimed expertise of my CEA colleagues, physicists, engineers and technicians of IRFU (Research Institute of the Fundamental Laws of the Universe)," Le Bihan noted.
 The Iseult MRI scanner weighs 150 tons in total. Image courtesy of the CEA.
The Iseult MRI scanner weighs 150 tons in total. Image courtesy of the CEA.NeuroSpin took delivery of the 5 x 5 x 5-m, 132-ton magnet in 2017. It was assembled in the factory of the former Alstom in Belfort, in the east of France, where French high-speed trains (TGV, or train à grande vitesse) are also built. The magnet had to be delivered by boat from Strasbourg via the North Sea, and then was shipped down the Seine River down to Paris, finally coming to NeuroSpin on a huge trailer, he recalls.
Physical installation of the system was a long process, Le Bihan conceded. It took two years to achieve the nominal field of 11.7 tesla, and the researchers had to take extreme care to avoid a quench that could have jeopardized the magnet -- or even destroyed it. First, they had to fix and install a "caloduc," which carries the 1.8 K helium produced on site to the magnet. Then the current was progressively ramped up in the magnet, step by step, from 1.5 tesla to 3 tesla, 7 tesla, 10.5 tesla, and finally 11.7 tesla. There are about 1,500 sensors controlling the magnet, and the operating current is close to 1,500 amp, far higher than in other MRI magnets.
"A nice feature of our magnet -- which was an issue at the beginning regarding field stability -- is that it is on an external power supply. Hence, it is easy to switch it on and off! This operation has been done several times already," he said.
Novel design elements
Le Bihan's overall aim was to get as high as possible in terms of field strength.
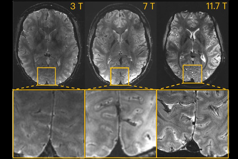
"I knew that images obtained in animals using small MRI systems operating at this field strength would give us the expected spatial resolution -- about 1/10th of a millimeter," he explained. "The limit was physical, as 11.7 tesla is close to the highest field strength that can be obtained using Niobium-Titan wires -- a material which is superconducting, used in all MRI magnets. To go higher would have required switching to another material."
Furthermore, to decrease the overall cost, the magnet is made of an assembly of 170 "double pancakes" (an original CEA design conceived for the CERN) and not a single solenoid, as for standard MRI magnets. The wire is also made of 10 strands, instead of one).
 Dr. Denis Le Bihan, PhD, in front of one of the so-called double pancakes. Image courtesy of CEA-Paris-Saclay, T. Paviot/CEA.
Dr. Denis Le Bihan, PhD, in front of one of the so-called double pancakes. Image courtesy of CEA-Paris-Saclay, T. Paviot/CEA.Two more 11.7-tesla systems are about to be installed in the U.S. (at the U.S. National Institutes of Health) and in Korea, although they are smaller, head-only magnets, which suggests that there is a genuine potential, according to Le Bihan, who estimates there are now about 100 7-tesla MRI systems installed worldwide.
"We should consider this outstanding instrument as a prototype," he said. "We are in a similar situation as with astronomy. Using fancy telescopes, one may discover new stars, planets. But, once we know where to look, more modest instruments would work as well.
"We hope that what we find or discover with our 11.7 tesla system may then be visible on lower field (7 tesla, 3 tesla) systems; this is MRI translational research in some way."
Future goals and plans
The plan now is to develop innovative strategies for MRI physics and conduct research on the normal brain and advanced functional MRI (fMRI) studies, such as cognitive neuroscience and neuropsychology and connectivity studies with diffusion tensor imaging to investigate the Human Brain Connectome.
"Our prime aim is to help understanding brain disorders to improve diagnosis, develop and monitor new therapies. Mainly, we target neurodegenerative diseases, such as Alzheimer's, and mental illnesses, such as schizophrenia, bipolar disorders, etc." Le Bihan said.
Some of the technical breakthroughs the group has made in designing and building the magnet and performing parallel imaging might benefit the manufacture and use of clinical MRI scanners operating at lower field strengths, he added.
"We are considering building higher field magnets for MRI, e.g., around 14 or 16 tesla. There are such projects (up to 20 tesla) already up in the air elsewhere (U.S., EU, China), but I think they have not been successful in getting finance yet," he said.
Besides higher-field systems, Le Bihan envisages what he calls a "social" magnet -- a kind of cylinder where two or three patients would sit down (not lie down) and interact while their brains are checked using fMRI.
"And, as the brain is not the only organ of interest, I am working on a light (perhaps mobile) breast dedicated MRI system for cancer screening," he said.
Le Bihan was director of NeuroSpin until 2017 and was in charge of the Iseult project from 2001 to 2017, when the magnet was delivered to NeuroSpin. He was succeeded by MRI physicists Cécile Lerman, PhD, and Nicolas Boulant, PhD, but he is still deeply involved.
Le Bihan also acknowledges the work of IRFU's project leader Lionel Quettier, PhD, and his predecessors Pierre Védrine, PhD, and Thierry Schild. IRFU designed not only the magnet but also the cryogenic factory underneath (producing liquid Helium at 1.8 K, lower that with standard MRI systems which operate at 4.2 K) and the automatic system which drives and monitors the magnet function 24/24 and 7/7, he said.



















