
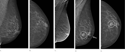
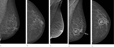
A new study published on 6 April in Radiology indicates the use of digital breast tomosynthesis (DBT) could result in lower interval cancer rates and earlier detection than the use of conventional digital mammography.
In the population-based trial study, researchers led by Dr. Kristin Johnson from Lund University found that the interval cancer rate in the trial was 1.6 cancers per 1,000 screened women, compared with 2.8 cancers per 1,000 screened women in the control group, with an age-adjusted odds ratio of 0.6 (p = 0.02). The team said decrease in interval cancer rates when DBT is used may be attributed to improved detection of rapidly growing cancers with poorer prognosis, possibly contributing to lower breast cancer mortality.

"Our study suggests that there is an effect of DBT on interval cancer rate in population screening and that it could translate into additional screening benefit," study authors said.
The trial was designed to compare one-view DBT with two-view digital mammography (DM) in breast cancer detection for 14,848 women at a clinical practice in Malmö, Sweden, between January 2010 and February 2015. The interval cancer rates and cancer characteristics in the trial were compared with an age-matched contemporary control group, screened with two-view DM at the same center. The screening population for the control group, which consisted of 26,738 screening occasions, saw women screened with standard two-view digital mammography between January 2010 and December 2015.
"In the practice in Malmö, DBT is used in the work-up of some recalled women, normally if DM and ultrasound did not rule out or confirm breast cancer," Johnson told AuntMinnieEurope.
The group also examined the impact of DBT on interval cancers by age group. Women under 55 years old in the trial had an interval cancer rate of 1.3 per 1,000, compared with the 2.6 per 1,000 seen in the control group. Meanwhile, women over 55 years old in the trial had an interval cancer rate of 1.8 per 1,000, compared with the 3 per 1,000 seen in the control group. However, these differences were not statistically significant.

Johnson said this difference is expected due to the different screening intervals.
"In the younger age group, women are screened every 18 months and in the older age group every 24 months. Shorter intervals mean less time for cancers to be clinically detected," she said. "With this said, one should be careful when drawing conclusions from subgroup analyses since the number of interval cancers are few, especially in the trial. The differences in interval cancer rates between age groups in the trial and in the control group are not statistically significant."
The team also noted that the trial includes women ages 40-49 and to researchers' knowledge, the interval cancer rate in the study's control group is the highest in the trials published thus far.
Digital mammography is the screening method recommended in the current Swedish screening guidelines. DBT in this capacity will be evaluated by the Swedish National Board of Health and Welfare, as it is not used in population screening in Sweden (except in trials).
Johnson told AuntMinnieEurope.com that the team is working on a cost-benefit analysis of the trial. Researchers are also analyzing false positives and plan to analyze breast density of screenings in the trial.