
One-third of patients who have recovered from acute COVID-19 show pulmonary fibrosis-like changes on six-month follow-up CT, according to a study by researchers from China published on 26 January in Radiology. Future work must pursue a longer-term follow-up of patients -- at or beyond a year -- asserted a U.K. expert in interstitial lung disease in a linked editorial.
The findings suggest the need for further research to characterize COVID-19's long-term effects, wrote a team led by Dr. Xiaoyu Han of Huazhong University of Science and Technology in Wuhan, China.
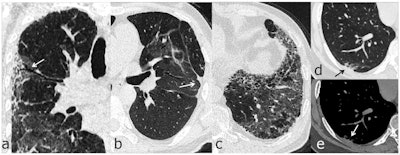
"Follow-up CT scans obtained within six months of disease onset showed lung fibrotic-like changes in more than one-third of patients who survived severe COVID-19 pneumonia," the researchers wrote. "[Our] report serves as a basis for new prospective large-scale long-term investigations analyzing these high-risk patients."
As the COVID-19 pandemic has proceeded, researchers have continued to learn about its ongoing effects. But the nature of lasting lung damage in patients who have recovered from severe COVID-19 has yet to be determined.
To address this knowledge gap, Han's group assessed pulmonary sequelae on six-month follow-up chest CT scans in 114 patients who survived severe COVID-19 (all patients underwent chest CT at symptom onset). Lung changes included opacification, consolidation, reticulation, and fibrotic changes.

The investigators found that 35% of the study participants (40 of 114) went on to develop lung changes within six months. Patients with the following factors at disease onset were at higher risk of manifesting signs of lung damage at six-month follow-up:
- Those older than 50
- Those who developed acute respiratory disease syndrome (ARDS)
- Those who had baseline CT lung involvement scores equal to or greater than 18 (out of a possible score of 25).
The team also found that 26% of patients had difficulty transferring inhaled air to the bloodstream (noted as abnormal diffusing capacity for carbon monoxide, or DCLO) at six-month follow-up.
More research on COVID-19's enduring effects is needed, according to the group.
"Whether or not these fibrotic-like changes, found at six months, reflect permanent change in the lung remains to be investigated," the authors noted.
And this further research must extend beyond six-months after COVID-19 recovery in order to clarify whether the lung damage is due to the virus or to injury caused by mechanical ventilation, according to an accompanying editorial written by a team led by Dr. Athol Wells of Royal Brompton and Harefield NHS Foundation Trust in London.
"Future work must pursue a longer-term follow-up of patients -- at or beyond a year -- to determine whether residual CT abnormalities at six months largely regress, as in past forms of diffuse alveolar damage, or persist," Wells and colleagues wrote. "In this regard, it may be important to distinguish between post-ARDS abnormalities (including ventilator-induced injury) and auto-inflammatory/auto-immune pathways triggered by COVID-19."