
Communities in remote rural locations around the world often lack access to medical equipment such as imaging devices. Ultrasound scanners could bring numerous benefits to such low-resource populations, both for obstetrics and more general medical applications. And as smaller, more portable ultrasound units are developed, it should become easier to bring such devices into remote areas. The use of ultrasound in austere environments, however, is limited by battery life.
In the Zanskar mountain range in India, for example, most people live in small villages that are inaccessible for over half of the year due to extreme cold and heavy snow. To help such remote communities, the Himalayan Health Exchange organizes a trek each August to provide medical and dental services to these underserved villages. In 2017 and 2018, four emergency medicine residents from Palmetto Health Richland in Columbia, South Carolina, U.S., joined the trek.

The Palmetto physicians brought along a portable Lumify ultrasound system and demonstrated that it could be powered using only a solar panel for the entire monthlong trip. This was the first time that an ultrasound unit had been brought on the remote medical mission and represented the first use of medical imaging in this remote Himalayan region.
Dr. Laura Nolting, ultrasound director at Palmetto, described how this came about: "I was working in the pediatric emergency department one evening when I noticed Dr. Daniel Baker was wearing hiking boots. I inquired about his unorthodox shoe selection and he informed me he was breaking them in for an upcoming global health trip to the Himalayas," she explained. "He told me about the trek and using a solar pad as the primary source of power and I asked if he thought the portable Lumify would work; and we just went from there."
The trek supplied medical care to eight clinics, all located between 12,000 and 16,400 ft (3,660 and 5,000 m) above sea level and accessible only by foot. All the required medical and personal equipment was transported by the team -- 20 to 30 medical students, residents, support personnel, and physician instructors -- with limited use of donkeys and horses.

With no central power grid or infrastructure in this region, the team relied exclusively on solar power. They used a low-cost, lightweight Anker solar panel, which has three ports that provide 2.4 A each with enough direct sunlight. They brought along two handheld ultrasound Lumify probes (curved linear and linear), along with a compatible Galaxy tablet to display the images. In total, the tablet, probes, and solar pad added only about 1.1 kg of weight (Journal of Ultrasound in Medicine, January 17, 2019).
Case studies
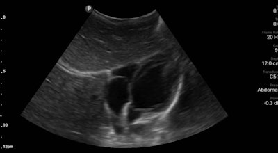
On a typical clinic day, the team saw 20 to 50 patients, approximately half of whom underwent scanning. Patients who received ultrasound exams included, for example, a woman with ankle pain following a stumble. The high-frequency linear probe clearly showed that she had a fractured ankle and she was placed in a splint and crutches.
The team also saw several children with high blood pressure and heart rate. The children underwent physical examination with additional ultrasound exams that revealed normal-appearing cardiac activity with no evidence of pulmonary hypertension. Another patient was a pregnant woman with occasional abdominal pain. The woman, who lived a two- to three-day walk from the closest hospital, received fetal sonography and was reassured that the fetus was developing as expected.
The solar panel was charged on the roof of the tent used for medical care. The authors noted that the time required to completely charge the ultrasound probe depended on the available direct sunlight on each particular day, making charging times unpredictable. However, they were still able to scan as and when needed and did not encounter a time when the machine was inadequately charged for use.

Other problems faced included low ambient light inside the tent, making the tablet screen difficult to see at times, and software updates for the probes, which had to be done before the trip began. But even with the limitations, the team concluded that solar-powered sonography is a feasible option to enhance medical care in some of the most isolated and inaccessible regions of our planet.
"The Himalayan Health Exchange has been offering this trek for the past 17 years. I have had residents participate for the past several years. I am not sure if anyone is planning on going this upcoming year but a few residents have voiced interest," Nolting told Physics World.
Tami Freeman is the medical and biophysics editor for Physics World.
© IOP Publishing Limited. Republished with permission from Physics World, a website that helps scientists working in academic and industrial research stay up to date with the latest breakthroughs in physics and interdisciplinary science.