Radiologists at Bolzano Hospital in Italy performed a CT exam of the iceman known as ötzi and detected calcifications in the carotid artery and the arteries near the base of the skull, according to a report by Nachrichten.
ötzi is a mummy that archaeologists found frozen in the ötztal Alps in September 1991. It was not until 2013 that clinicians were able to acquire an adequate CT scan of ötzi's chest and head.
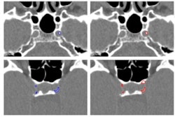
A recent analysis of the CT data published in RöFo disclosed calcifications in the chest, carotid artery, and various arteries of the skull base. The presence of arteriosclerotic plaques confirms ötzi's case as one of the oldest known incidents of vascular calcifications and also suggests the importance of genetic disposition as a trigger for coronary atherosclerosis, lead author Dr. Patrizia Pertner of Bolzano Hospital told Nachrichten.



















