
Watch out for triple-negative breast cancer as it will often demonstrate benign morphological features on ultrasound, researchers from Bosnia and Herzegovina and Croatia have found. Biopsies should still be performed unless the lesion is clearly a cyst or typical fibroadenoma, they insist.
The team's retrospective study compared shear-wave elastography (SWE) features of 26 triple-negative breast cancers with 32 tumors that were not. The researchers found that the triple-negative cancers often are softer on SWE and have a lower lesion-to-fat stiffness ratio compared with the other, more common types of invasive breast cancers (European Radiology, 1 August 2015).
Caution is needed in clinical practice because the regular shape of the lesion and the softness found in triple-negative cancers, unlike in other common invasive cancers, should not exclude triple-negative breast cancer, according to lead author Dr. Martina Džoić Dominković from the radiology department at General Hospital Orašje in Bosnia and Herzegovina and the diagnostic and interventional radiology department at the University Hospital "Dubrava," University of Zagreb School of Medicine in Croatia.
"One should be aware that biologically aggressive cancers like [triple-negative breast cancers] actually have less prominent elastographic features than common but less aggressive invasive cancers," she noted.

Scarcity of research
Triple-negative cancers are a distinct subgroup of breast cancers that do not express estrogen receptors, progesterone receptors, or HER2. They are considered to have an unfavorable prognosis because of their aggressive tumor biology. They comprise 15% of all breast cancers and lack effective targeted therapies, according to the authors. They are usually large, high-grade tumors with relatively high rates of recurrence and distant metastasis.
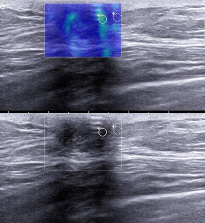
Studies show that these cancers present as masses with circumscribed margins without calcifications on mammography, masses that are hypoechogenic and oval or round with posterior acoustic enhancement on ultrasound, and enhancing masses on MRI with sharp margins and rim-type enhancement, most often with a persistent type of dynamic curve.
A few studies have evaluated elastographic features of invasive breast cancers, but none provided values specific for triple-negative cancers. Džoić Dominković and colleagues sought to analyze qualitative and quantitative SWE features of these cancers and determine possible discriminators from other invasive breast cancers.
They reviewed reports and images of 26 triple-negative cancers in 23 women. They were diagnosed in a one-year period and had undergone SWE (Aixplorer, SuperSonic Imagine). As a control, 30 female patients with 32 tumors that were invasive breast cancers with HR+ or HER2+ features also examined in the same time period with SWE were randomly selected.
A statistically significant difference was also observed in the SWE estimated shape of the lesion between the triple-negative and control groups: 57.7% of tumors in the negative group had regular SWE lesion shape, while only 6.2% of tumors in the control group had a regular shape.
In terms of homogeneity, the researchers found that 19.2% of the triple-negative lesions were homogenous, 38.5% were moderately homogenous, and 42.3% were heterogeneous. In the control group, 3.1% of the lesions were homogenous, 28.1% were moderately homogenous, and 68.7% were heterogeneous.
Other findings demonstrated statistically significant differences in SWE evaluation of the maximum elasticity of the stiffest portion of the mass of the two groups: The mean value for maximum elasticity of triple-negative cancers was 166.85 ± 64.71 kPa, compared with 226.63 ± 54.1 kPa for the control group. When maximum elasticity values were cut off at 150.7 kPa or less, there was sensitivity of 50% and specificity of 93.7% for triple-negative cancers.
The mean minimum elasticity in the control group was 142.33 ± 44.66 kPa, compared with 102.69 ± 37.2 kPa for the negative group. When minimum elasticity values were cut off at 125.76 kPa or less, the sensitivity was 80.8% and the specificity was 68.7% for triple-negative cancers.
Triple-negative cancer is tricky
The results demonstrate triple-negative breast cancers most commonly present as red (stiff), but a significant proportion of tumors appear as blue or green (soft), as well as orange. However, invasive cancers that are not triple-negative almost exclusively present as red.
Lesion stiffness from most to least stiff | |||||
Type | Red (stiff) | Orange | Yellow | Green | Blue (soft) |
Triple-negative lesions | 42.3% | 15.4% | 3.8% | 19.2% | 19.2% |
Nontriple-negative lesions | 93.7% | 3.1% | 3.1% | 0% | 0% |
"While the difference is statistically significant, it cannot be used in clinical practice as the sole discriminator between [triple-negative] and other invasive breast cancers," the researchers wrote.
However, when the information is used in combination with the fact that triple-negative cancers are significantly more often regularly shaped and less commonly heterogeneous, the combination of qualitative SWE features added to B-mode ultrasound features can identify triple-negative cancers, they added.
"Apparently, the fact that the tumor is regularly shaped and is not stiff on SWE does not imply that it should not be biopsied under ultrasound guidance, as this is actually quite a common appearance of [triple-negative cancers]," Džoić Dominković and colleagues wrote.
It's also important to keep in mind the cutoff values for stiffness vary between different manufacturers, and it has not been demonstrated that the same lesion will produce reproducible results with a different unit of the same scanner, and, thus, these results are only applicable to the Aixplorer scanner the researchers used.
The researchers are undertaking further studies in this area.
Because triple-negative breast cancers are very rare, "we will continue to collect further cases and process our results," Džoić Dominković wrote in an email to AuntMinnieEurope.com. "Also, we plan to see what the other imaging characteristics of [triple-negative cancers] are on mammography, ultrasound, and MRI."