
Anybody who thinks headbanging is an entirely safe activity that poses no health risk should read a new report from Germany. It features what is thought to be the first reported case of a patient who developed a chronic subdural hematoma after a heavy metal concert.
In January 2013, a 50-year-old man came to the neurosurgical department of Hannover Medical School with a two-week history of a constant worsening headache affecting the whole head. Although his medical history was unremarkable and he reported no previous head trauma, four weeks before he had been headbanging at a Motörhead gig.

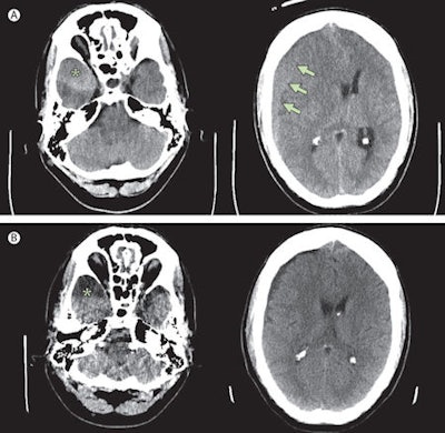
A cranial CT scan confirmed the man had a chronic subdural hematoma on the right side of his brain. Surgeons removed the hematoma through a burr hole and used closed system subdural drainage for six days after surgery. His headache subsided and his last examination two months later revealed he was well (Lancet, 5 July 2014, Vol. 384, pp. 102).
"We are not smart-asses who advise against headbanging," lead author Dr. Ariyan Pirayesh Islamian, from the neurosurgical department in Hannover, told AuntMinnieEurope.com. "Our purpose was not only to entertain the readership with a quite comical case report on complications of headbanging that confirms the reputation of Motörhead as undoubtedly one of the hardest rock 'n' roll bands on earth, but to sensitize the medical world for a certain subgroup of fans that may be endangered when indulging themselves in excessive headbanging."
Headbanging refers to the violent and rhythmic movement of the head synchronous with rock music, most commonly heavy metal. Motörhead helped to pioneer speed metal, where fast tempo songs that have an underlying rhythm of 200 beats per minute (BPM) are played. Although the activity is generally considered harmless, headbanging-related injuries include carotid artery dissection, whiplash, mediastinal emphysema, and odontoid neck fracture.
The Hannover case illustrates the impact of headbanging on the development of subdural hematoma, according to Islamian. The patient displayed an arachnoid cyst in the middle cranial fossa; these cysts usually are detected in asymptomatic patients evaluated for unrelated symptoms, and, in a minority of cases, they become symptomatic by, for example, traumatic intracystic or subdural hemorrhage caused by rupture of bridging veins or unsupported veins surrounding the cyst.
The annual risk of hemorrhage within or around the cysts is reported to be less than 0.1%, and although the risk of sustaining a significant head injury with accompanying subdural hematoma is unknown, the chances appear higher in the presence of an underlying congenital arachnoid cyst, he explained. Conversely, the importance of a subdural hematoma as a differential diagnosis in patients with a diagnosed asymptomatic arachnoid cyst showing signs of increased intracranial pressure even after minor head affection is highlighted by this case.
Punk rock is dead and gone, but rock 'n' roll will live on and on, Dr. Ariyan Pirayesh Islamian noted.
"Even though there are only a few documented cases of subdural hematomas, the incidence may be higher because the symptoms of this type of brain injury are often clinically silent or cause only mild headache that resolves spontaneously," he noted.
The authors' review of the literature revealed a total of three cases of subdural hematomas subsequent to headbanging, two of which were classified as subacute hematomas, with one requiring surgical evacuation of the hematoma. Both cases showed excellent outcome, whereas one patient suffered from an acute subdural hematoma, leading to his sudden death.
The case has not led to any changes in procedures because it is normal practice to screen patients with CT or MRI when a patient's headache worsens even under analgesic medication, Islamian said. This is to rule out a tumor, hydrocephalus, and hemorrhage.
At two months follow-up postsurgery, the patient was free of neurological symptoms.
"This case serves as evidence in support of Motörhead's reputation as one of the most hard-core rock 'n' roll acts on earth, if nothing else because of their music's contagious speed drive and the hazardous potential for headbanging fans to suffer brain injury," he continued. "Any band like Motörhead that has proven its integrity and has stuck to the values of rock 'n' roll for so many years deserves respect and credit. ... Punk rock is dead and gone, rock 'n' roll will live on and on!"
Islamian studied medicine at the Philipps University Marburg between 2000 and 2006, and then undertook a neurosurgical residency in the International Neuroscience Institute of Hannover. Since July 2011, he has worked in the neurosurgical department of the Hannover Medical School. No further studies are planned in this area in the near future, he said.