
The sudden appearance of animals in radiology images is not the result of eye fatigue, but may be an easily recognizable, and highly memorable, sign of disease to be reported. Identifying the eye of a tiger, the face of a giant panda, a butterfly, or a penguin not only helps to narrow down the elaborate list of differentials, but can also facilitate the diagnosis on the basis of imaging findings alone, according to a study presented at the 2011 European Congress of Radiology (ECR) in Vienna.
"Animals in the brain" proved to be the second most popular poster with radiologists using the Electronic Presentation Online System (EPOS) during ECR. The authors, Drs. Ankur Arora and Abhay Kapoor from the department of radiodiagnosis at the Govind Ballabh Pant Hospital in New Delhi, India, received a Certificate of Merit from the judges of the Scientific Exhibition.
Based on a shared experience among radiologists that certain neurologic conditions have characteristic radiologic manifestations that resemble various types of animals, the authors gathered a rich glossary of these signs to assist colleagues. Keyword references to birds, insects, and the different body parts of animals illustrate classic neuroradiologic manifestations.

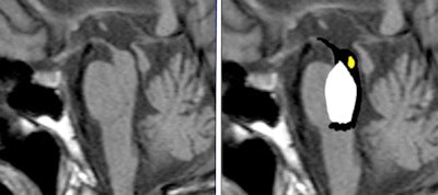
An example of these useful signs is the "penguin" seen in an MRI of the brain. More than amusing, the penguin is an interesting radiological sign seen in patients with progressive supranuclear palsy (PSP), noted Arora. It refers to atrophy of the midbrain tegmentum, with a relatively preserved pons on midsagittal T1-weighted images. The "penguin sign" can be helpful in distinguishing progressive supranuclear palsy from multisystem atrophy and Parkinson's disease.
In their poster, the authors provide 20 examples of animal-shaped radiological patterns and the conditions they may signal. "Face of the Giant Panda" is an uncommon intracranial manifestation of Wilson's disease caused by a combination of signal intensity changes at the level of midbrain on T2-weighted MR images. A "tiger-striped" cerebellar foliar pattern that consists of alternating bands on T1- and T2-weighted images is considered almost pathognomonic of Lhermitte-Duclos disease.
Beyond the animal kingdom, the authors are avid collectors of other patterns in radiology readings. In a letter to the Korean Journal of Radiology (November-December 2010, Vol. 11:6, pp. 702-703), they congratulated Dr. Dong Zhang, for his contribution of what they called a unique and interesting finding. He first identified the presence of a "notch sign" in neuro MRI readings that may help a radiologist in narrowing down the differentials in patients with suspected central nervous system lymphoma.