
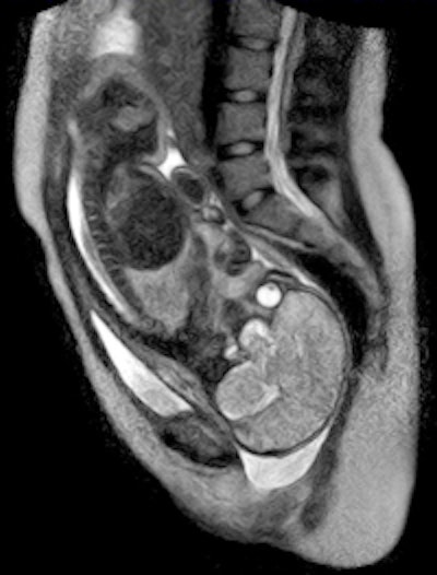
German physicians and healthcare providers at Charité University Hospital in Berlin recently followed the birth of a child on an open MRI system.
![]()  | 
| Image courtesy of Charité University Hospital. | 
The hospital reported that the birth on November 20 was without complications and both mother and baby are doing well. The baby, a boy, weighed 2,585 grams (5.7 lb) and was 47 cm (18.5 inches) in length.
The study was performed as part of a two-year research and development project on open MRI involving a novel fetal monitoring system that allowed the monitoring of the child's heartbeat during the birth process. The researcher team, led by radiologist Ulf Teichgräber, MD, noted that the open design of the scanner provided easy access to mother and child during the study.
The research team plans to explore the birth process and movements of the unborn child and the mother's pelvis to better understand why approximately 15% of pregnant women need a cesarean section due to the baby not moving properly into the birth canal.
Related Reading
MRI-compatible incubator increases procedure use for neonates, August 31, 2010
MRI predicts neurodevelopmental outcomes in prematures, August 17, 2006
MRI delineates brain injuries in newborns, May 3, 2006
MRI corresponds with neurodevelopmental outcome in preterms, November 14, 2005
MRI delineates complexity of preterm brain, April 30, 2004
Copyright © 2010 AuntMinnie.com


















