
PARIS - Malgré son rôle thérapeutique vital, la radiologie n'est peut-être jamais si populaire que quand elle s'exerce auprès des morts. Grâce à l'engouement pour des thrillers centrés sur la résolution de crimes par examen post mortem, les autopsies virtuelles utilisant le scanner bénéficient d'une image attrayante, voire sexy, selon M. Patrice Mangin, docteur à l'Hôpital Universitaire de Lausanne en Suisse.
Certes les autopsies effectuées à un rythme haletant dans la fiction ont une longueur d'avance sur la science. Or M. Mangin et sa collègue Silke Grabherr ont démontré que la radiologie médico-légale avait en réalité une base solide en Suisse; assez pour fonder un jour une sous-spécialité à part entière, estiment ces experts.
La session consacrée aux autopsies virtuelles a fait salle comble lors des Journées Françaises de Radiologie (JFR), le congrès annuel de la Société Française de Radiologie (SFR). Seuls cinq radiologues, dont trois intervenants, ont admis en levant la main qu'ils pratiquaient régulièrement des scanners post mortem; y compris les deux orateurs suisses.
Les autopsies virtuelles peuvent jouer un rôle lorsque l'équipe médico-légale soupçonne un cas de maltraitance d'enfant. Sur cette image, le scanner crânien post mortem avec rendu volumique suggère une subluxation atlanto-axiale rotatoire. Veuillez remarquer la position de la masse latérale droite de la première vertèbre cervicale comparée à la colonne de masses latérales droites des vertèbres inférieures. Il s'agit d'une découverte non accidentelle dans plusieurs scanners post mortem. Images fournies avec l'aimable autorisation du docteur Anders Persson, PhD, Centre pour la science de l'imagerie médicale et la visualisation, Université Linköpings, Suède.Malgré un intérêt accru, des obstacles administratifs, légaux et financiers ont retardé l'adoption de cette technique par la France. Le gouvernement reconnaît qu'une autopsie virtuelle est un acte médical et a identifié des centres principaux, qui sont remboursés pour l'examen. Actuellement, c'est l'hôpital qui bénéficie du remboursement. Reste à savoir qui du personnel sera payé et pourquoi, a souligné le docteur Bernard Proust du Centre Hospitalier Universitaire de Rouen (CHU-Rouen).
De l'autre côté de la frontière, en Suisse, quatre instituts de médecine légale ont été créés et standardisent les méthodes et protocoles, d'après Mme Grabherr. D'ici à 2013, sept centres Suisses auront rejoint ce réseau de praticiens, a-t-elle ajouté.
Le genre d'examen tomodensitométrique pratiqué sur un cadavre alimente les débats, et le travail de Mme Grabherr vise à augmenter l'usage de routine de l'angioscanner, ou angio-CT, un outil d'une grande valeur diagnostique, qui permet entre autres de fournir une cartographie détaillée du système vasculaire. La spécialiste a présenté les résultats d'une étude réalisée sur 45 corps humains en 2010, qui compare différentes techniques de perfusion utilisées lors d'un agioscanner post mortem, afin de soutenir le protocole suisse proposé (International Journal of Legal Medicine, novembre 2011, Vol. 125:6, pp. 791-802).
Dans une étude antérieure effectuée avec l'Institut de Médecine Légale à l'Université de Bern et publiée en 2008, la radiologue a montré comment la perfusion rétrograde du réseau veineux révélait des anormalités vasculaires, confirmant le diagnostic d'intoxication par drogues suspecté (American Journal of Roentgenology, février 2008, Vol. 190:2, pp. 345-351).
L'angioscanner améliore les études post mortem, en déterminant par exemple la source exacte d'une hémorragie. La procédure devrait être appliquée en routine pour les arrêts cardiaques subits, les décès par traumatisme et ceux survenant après une intervention médicale, recommande Mme Grabherr.
La technique d'angio-CT post mortem en phases multiples développée par les instituts suisses utilise une pompe construite sur mesure, et qui assure que les volumes d'agent de contraste sont assez élevés pour irriguer complètement le système vasculaire. Après avoir travaillé sur deux versions prototypes avec la société Fumedica, la troisième génération a fait son entrée sur le marché en septembre dernier, toujours selon l'experte.
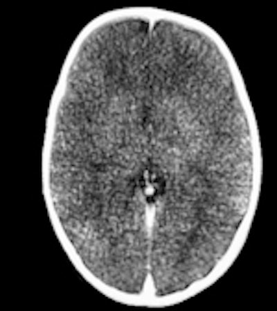
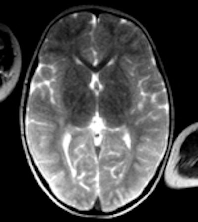
Ci-dessus: cet enfant a été retrouvé mort dans son lit; un scanner et un IRM post mortem ont été effectués un jour après l'heure du décès.

A gauche: scanner conventionnel, épaisseur de coupe de 5mm. A cause de la décomposition, il peut être difficile de différencier la matière grise et la substance blanche, même un jour après l'heure du décès. Au milieu: image 3D, rendu volumique. Cette technique permet dans certains cas de mieux maîtriser les changements post mortem dans l'atténuation cérébrale, mais il reste difficile de différencier les divers tissus cérébraux. Aucune pathologie n'a pu être détectée. A droite: l'IRM (séquence T2) offre une meilleure différentiation entre les divers tissus cérébraux. Si le corps a une température d'à peu près 10° C, les images IRM peuvent être assez bruyantes. Après le scanner et l'IRM, le syndrome de l'enfant battu a été exclu.Répondant aux questions des radiologues français, elle a expliqué que la technique pouvait être appliquée à des cadavres en état avancé de décomposition, du fait de la résistance surprenante des artères à la putréfaction. Son groupe a ainsi appliqué avec succès cette technique sur des cadavres au préalable gelés.
Le président de la séance, M. Fabrice Dedouit, docteur au Centre Hospitalier Universitaire de Toulouse, et M. Mangin ont donné une vue d'ensemble des technologies de pointe pour ce secteur en plein développement, insistant sur les avantages d'un examen non destructif face à l'autopsie traditionnelle. L'autopsie virtuelle utilisant le scanner offre une alternative crédible en cas d'objection religieuse ou culturelle à l'autopsie chirurgicale, ou bien lorsque ouvrir un corps présente un danger potentiel, par exemple chez des victimes d'un acte possible de bioterrorisme. Les preuves existent qu'une étude visuelle des gaz emboliques, qui disparaissent une fois le corps ouvert, peut également permettre de déterminer les causes du décès et les méthodes employées pour y parvenir.
"Donnez-moi vos os et je vous dirai qui vous êtes," a déclaré M. Dedouit, expliquant comment le scanner pouvait être utilisé pour identifier des corps détruits au-delà de toute reconnaissance possible après un accident, ou bien des squelettes retrouvés dans les bois, grâce aux signatures anatomiques telles que des prothèses recensées dans les registres radiologiques, et même des bijoux fondus sur le corps. La moitié des identifications sont réalisées à partir d'archives radiographiques du thorax, un quart à partir de variations dans l'anatomie.
"Nous sommes loin de pouvoir remplacer le médecin légiste mais ce qui est sûr, c'est que nous assisterons à l'émergence progressive d'une sous-spécialité en radiologie," a affirmé M. Mangin.
Des directives seront nécessaires, mais avant qu'elles ne puissent être établies il est impératif de standardiser les méthodes et protocoles, comme ceux qui sont en train d'être élaborés en Suisse, a-t-il remarqué.
L'imagerie médico-légale est un champ ouvert aux explorations scientifiques et aux découvertes visant à mieux établir les connaissances médicales relatives aux effets du trépas sur le corps humain. Un cas qui a particulièrement retenu l'attention des congressistes fut celui présenté par le docteur Guillaume Gorincour, radiopédiatre de l'Assistance Publique-Hôpitaux de Marseille, qui a mené des études poussées sur des victimes d'accidents de plongée.
M. Gorincour a fait valoir que, passé un certain délai, tous les cadavres présentaient des traces d'embolie gazeuse, auparavant considérée comme une signature de la cause de décès chez les plongeurs ayant subi des changements de pression rapides. Il a indiqué que cette conclusion pouvait seulement être formulée si l'examen intervenait trois heures après l'accident, et impossible passé six heures.
Il a également découvert que l'emphysème sous-cutané, soit la présence d'air dans les tissus sous-cutanés, pouvait être provoqué par les efforts mis en œuvre pour ressusciter une victime de noyade, sans pouvoir être toujours attribuable à un accident.
Le radiologue poursuit actuellement des tests sur des animaux, afin d'explorer ces phénomènes et d'autres faits liés aux accidents de plongée. Il utilise une chambre hyperbare unique en France et peut-être dans le monde: une torpille prélevée sur un sous-marin abandonné depuis 20 ans dans le sous-sol d'un hôpital, et qu'il a convertie en outil scientifique pour étudier les effets de la pression dans des études sur le grand animal, en particulier le cochon.
"On est loin des études sur les souris," a-t-il conclu.



















