Clinical News
Informatics
Industry News
Medical, Legal, And Practice
Education
Subspecialties
More
Sign In
Breast Imaging
CV
Chest
Emergency
GI
GU
Head & Neck
Interventional
Physics
MSK
Neuro
Nuclear
Pediatric
Radiation Oncology
Cardiac Imaging
CT misread prompts government apology
By
AuntMinnieEurope.com staff writers
The Government of the Australian Capital Territory has issued an apology in relation to a death following an aortic dissection and CT misread.
September 23, 2025
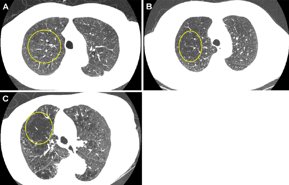
Low-dose CT ties emphysema to mortality in previous smokers
By
Amerigo Allegretto
Emphysema found on baseline low-dose chest CT is tied to death related to all causes, chronic obstructive pulmonary disease, and cardiovascular disease, Spanish authors have reported.
September 16, 2025
eMyosound to start cardiac ultrasound trial in 3 Boston hospitals
By
AuntMinnieEurope.com staff writers
The trial will validate eMyosound technology for the quantitative assessment of myocardial stiffness in patients with heart failure.
September 10, 2025
GEHC completes first global installation of CT system in France
By
AuntMinnieEurope.com staff writers
GE HealthCare has completed the first worldwide installation of its Revolution Vibe CT system at the Radiologie du Var – ELSAN in Ollioules, France.
September 5, 2025
GEHC launches AI-loaded cardiovascular ultrasound unit
By
AuntMinnieEurope.com staff writers
GE HealthCare (GEHC) has unveiled an adaptive cardiovascular ultrasound system at the 2025 European Society of Cardiology Congress in Madrid.
September 2, 2025
Ukraine hosts international cardiovascular conference
By
Edna Astbury-Ward, PhD
Further evidence of Ukraine’s ongoing commitment to medical education was provided by the two-day conference “Modern Cardiovascular Interventions: Lviv Forum.” It attracted around 360 onsite attendees and 870 virtual delegates.
June 20, 2025
Researchers unveil 10-year results of Scottish CT trial
By
Frances Rylands-Monk
CT assessment of coronary artery disease can have a major impact on the management of patients with stable chest pain, according to new analysis from the SCOT-HEART trial presented on 1 September at ESC 2024.
September 2, 2024
Multidisciplinary team led by Charité unveils coronary AI roadmap
By
Liana Gruenberg
In part three of our video interview series recorded onsite at the Charité in Berlin, Prof. Dr. Dr. Marc Dewey explains to Contributing Editor Liana Gruenberg about a new coronary AI roadmap.
February 8, 2024
CT-FFR imaging assesses adverse outcome risk in angina patients
By
Kate Madden Yee
CT angiography-derived fractional flow reserve (CT-FFR) imaging helps clinicians assess stable angina patients' adverse outcome risk -- even if they have high coronary artery calcium scores, a Danish research group has found.
September 14, 2023
Vista.ai secures deal to commercialize AI in Japan
By
AuntMinnieEurope.com staff writers
AI developer Vista.ai has signed a partnership deal with investment and commercialization firm HekaBio to market its One Click MRI AI software in Japan.
August 31, 2023
ESC calls for competency-based cardiac imaging
By
AuntMinnieEurope.com staff writers
The European Society of Cardiology (ESC) has called for competency-based cardiac imaging delivery to ensure effective patient care, according to a statement published on 25 August in the
European Heart Journal
.
August 27, 2023
GE unveils new technology at ESC meeting
By
AuntMinnieEurope.com staff writers
GE HealthCare has launched a digital tool for use in atrial fibrillation (AFib) cases and a new ultrasound device at the European Society of Cardiology (ESC) Congress 2023 in Amsterdam.
August 24, 2023
Page 1 of 96
Next Page