
Efforts to develop artificial intelligence (AI) algorithms to help diagnose pediatric wrist fractures need to improve, say Austrian radiologists. To that end, they have developed a large annotated public dataset of x-ray images and encouraged its use in an article published on 20 May in Scientific Data.
"Large publicly available datasets enable researchers around the globe to compare their algorithms in a standardized way, yet there are still limited options accessible to date," wrote first author Dr. Eszter Nagy, a pediatric radiologist at the Medical University of Graz, and colleagues.
Wrist fractures are the most common type of fractures seen in emergency departments, and they account for 25% of fractures seen in children. Yet evidence suggests they are also among the most commonly missed on x-rays.
Moreover, image interpretation requires specialized training, which can be lacking even in developed countries and unavailable altogether in some parts of the world. To improve the situation, the Graz researchers have released a dataset called GRAZPEDWRI-DX, an acronym composed of the terms "Graz," "pediatric," "wrist," and "digital x-ray."
"Our key aim in releasing this dataset is to encourage research in automated pediatric fracture detection. We believe that releasing the GRAZPEDWRI-DX dataset could improve research in this field," the authors wrote.
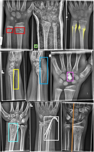
The dataset contains annotated pediatric trauma wrist x-rays of 6,091 unique patients treated at the University Hospital Graz between 2008 and 2018. A total number of 10,643 studies (20,327 images) are included, typically covering posteroanterior and lateral projections. The dataset is annotated with 74,459 image tags and features 67,771 labeled objects.

Between March 2018 and February 2022, several pediatric radiologists with between six and 29 years in musculoskeletal radiology validated all annotated dataset images. They placed lines, bounding boxes, or polygons to mark pathologies like fractures or periosteal reactions, as well as tagged general image characteristics.
Next, the group tested the dataset using a state-of-the-art neural network for object detection, namely YOLOv5. The total dataset was divided into a training set of 15,327 images and a validation set of 4,000 images. In a previously unseen test subset of 1,000 random samples, the model detected fractures with a precision of 0.917.
The authors noted that correct use of the dataset will require medical and radiological background knowledge, especially in interpreting obtained results and in drawing dataset-based conclusions.
Ultimately, the GRAZPEDWRI-DX dataset may enable assessment of a variety of research questions around the injured pediatric wrist, and it represents a significant step in the field since there are no other related pediatric datasets publicly available, the authors wrote.
"This dataset is publicly available to encourage computer vision research," the group concluded.