
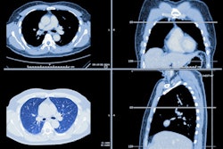
Artificial intelligence (AI) software developers Aidoc and Imbio have formed a partnership to develop an AI package for the detection and quantification of pulmonary embolism (PE).
The end-to-end platform will prioritize cases of suspected PE and automatically calculate right ventricle/left ventricle (RV/LV) ratio, bringing together Aidoc's computer-assisted triage offering for PE with Imbio's quantitative imaging software, according to the vendors.
Designed to assist thoracic radiologists, the combined offering is currently available for investigational use only.



















