
Dutch artificial intelligence (AI) software developer Thirona has introduced two free software applications to assist in the triage of suspected COVID-19 cases.
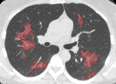
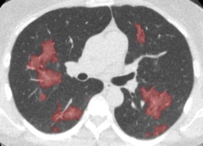
Based on the company's existing AI software for lung diseases, CAD4COVID-CT is designed for use with CT exams, while CAD4COVID-Xray is targeted at radiographs. CAD4COVID-CT assesses the suspicion of COVID-19, as well as the severity of the infection based on the percentage of the affected lung, according to the vendor.
Developed in collaboration with Radboud University Medical Center in the Netherlands and the Fraunhofer Institute for Digital Medicine MEVIS in Germany, CAD4COVID-CT was trained and validated in over 500 CT scans and performs at the same level as a radiologist, Thirona said.

The software is available in the cloud, and it is also being integrated into Smart Reporting's medical documentation platform. Additionally, the German company released a free template in March to provide guidance for diagnosing COVID-10 on chest CT.
Earlier this month, Thirona and sister company Delft Imaging introduced CAD4COVID-Xray, a software application for helping to triage COVID-19 cases and indicate the affected lung tissue on chest radiographs. CAD4COVID-Xray is built on the technical core of the CAD4TB software, which was developed by Thirona and distributed by Delft for use in tuberculosis screening.

Although the reverse transcription polymerase chain reaction (RT-PCR) test and CT are the preferred options for diagnosing COVID-19, x-ray can be a useful tool in resource-constrained settings. The modality is currently utilized in many countries for front-line triage before any further testing, Delft and Thirona said.
As a result, Thirona and Delft have partnered on the CAD4COVID-Xray project with several academic institutions and hospitals in the Netherlands and abroad. These organizations -- and other partners as they sign up -- will help with the ongoing development, validation, and improvement of CAD4COVID-Xray, according to the vendors.