
Our facility is a private clinic 18 km north of Paris, located in a relatively poor suburban area. We were confronted by COVID-19 cases quite early on in the pandemic, when the first cluster was discovered in the nearby Creil area.
We had to face an increasing number of cases until the real tide came in -- more a tsunami than a tide. We had to cope with several different problems at the same time: staff absenteeism (colleagues who got sick or were confined to home due to potential contacts, closed schools, etc.), global fear of the unknown, problems of cancer patients in our cancer-focused center, lack of protective gear because the authorities gave priority to public hospitals, global unpreparedness, and the drastic reduction of overall activity, leading to potential financial problems.

On a positive note, all radiologists and staff have responded very well, taking necessary protection measures, building protective shields in plexiglass for the desks and so on, and organizing dedicated imaging pathways for suspected COVID-19 patients. Initially, we devoted one CT scanner to COVID-19 cases, proven or suspected, but soon we had to use both CT systems.

At peak periods, we have simultaneously had to handle cases coming from our own emergency department, a nearby large regional hospital that has been saturated with cases, and GP referrals or even self-referred patients. We noticed that many patients were well informed, through the media, and they knew that CT was a useful tool for screening and diagnosis. Also, our catchment area has multiple ethnic origins with many overcrowded households, aiding virus transmission.
We did not expect such a peak, and we were not able to implement regulatory measures as we have been overwhelmed, doing up to 80 CT scans a day, and had to increase the number of staff and radiologists onsite at the same time. Everybody soon became handling/cleaning specialists.

We were also asked to participate in night shifts at our hospital, a 250-bed clinic that became converted overnight into a COVID-19 center, and some of us, mostly the younger ones, have participated. Of course, everybody is conscious about the risks, which are to be calculated, if possible, and limited with stringent measures.

We are all well aware of our colleagues -- radiologists and nonradiologists -- who have been infected and eventually succumbed to the disease. But we wanted to show our staff that we were onsite and beside them; teleradiology is not an acceptable solution at present, unless secondary advice is needed. We have also had to explain cases to patients and refer them to the adequate point of care.
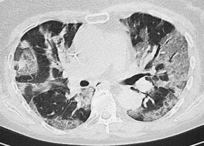
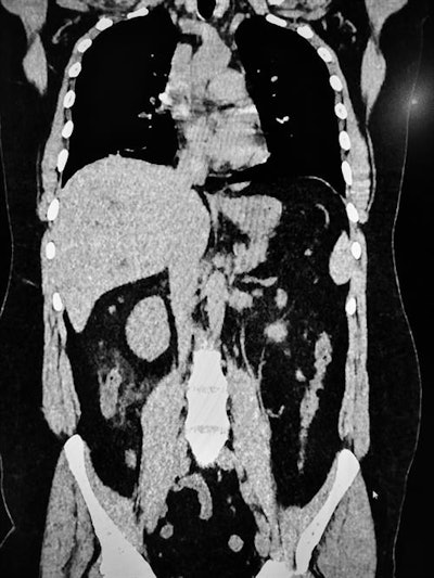
Thanks to the national and international publications and information campaigns, we have become quite aware of the COVID-19 CT features, but soon we had quite a lot of nontypical cases, including patients with extrathoracic findings or severe cases in young people. We have also had some patients from our hemodialysis center presenting with less severe cases and many patients with ear, nose, and throat symptoms or associated diseases, including pulmonary emboli. This is quite a problem in COVID-19 cases that require cooperation with clinicians, especially emergency specialists.

On the other hand, we have encountered some difficulties handling non-COVID-19 cases and more severe emergencies because of delays, and also with our cancer patients for staging and/or follow-up because the bulk of nonemergency scheduling was postponed. It seems there is a slow reduction of case numbers, and soon we should be able to resume scheduling within the limitations due to confinement and security measures.

Last but not least, VIDI's national network throughout France has proved, once more, to be useful for circulating information, tips, and tricks very quickly, offering ideas and ways to handle some problems, including the provision of protective gear. We also came to an agreement with a French software company, DeepLink Medical, to promote structured reporting software dedicated to COVID-19 according to French Society of Radiology (SFR) recommendations.
We are now looking forward to the future, knowing that adaptation is the key word. Later there will be a chance to reorganize our healthcare system, whose deep structural problems have been demonstrated by this crisis.
Dr. Robert Lavayssière is a staff radiologist and CEO of Centre d'Imagerie Paris-Nord, Sarcelles, France. He is also general manager of VIDI, the French network of 46 clinics and 850 radiologists, and vice president of the Fédération Nationale des Médecins Radiologues (FNMR).