Spanish researchers have reported success with an automated tool for liver tumor detection and delineation that uses several deep-learning (DL) methods for biomedical image segmentation.
SALSA (System for Automatic Liver tumor Segmentation And detection) achieves precise identification and delineation of liver cancer on CT images, facilitating more accurate quantification of tumor burden, which is a critical factor in cancer prognosis and management, according to Maria Balaguer-Montero, a doctoral student and research assistant, and colleagues in the radiomics group at the Vall d'Hebron Oncology Institute (VHIO) in Barcelona.
“The model achieved superior accuracy in tumor identification and volume quantification, outperforming state-of-the-art tools and exceeding the inter-reader agreement among three expert radiologists,” they noted. “SALSA holds promise for improving cancer care, enhancing patient outcomes, and increasing healthcare system efficiency by providing rapid, consistent, and reliable data on liver cancer count and volume, supporting both clinical trial endpoints and decision-making in clinical practice.”
 Dr. Raquel Pérez López, PhD (center, holding wooden rail with both hands), head of the radiomics group at VHIO and chair of the ESR Research Committee, with her colleagues. Photo courtesy of VHIO.
Dr. Raquel Pérez López, PhD (center, holding wooden rail with both hands), head of the radiomics group at VHIO and chair of the ESR Research Committee, with her colleagues. Photo courtesy of VHIO.
Evaluation of liver tumor burden is crucial at different stages of cancer treatment, and it is typically performed on medical images, such as CT. Currently, this task is carried out manually by radiologists, which is not only time-consuming but also prone to variability, they explained in a poster presentation at ECR 2025.
“Furthermore, the need for a more comprehensive assessment of liver tumors extends to treatment monitoring in cancer patients,” the authors added. “The evaluation of cancer volume changes throughout treatment on CT images, as opposed to relying solely on the maximum diameter of a few tumors (as defined by the standard Response Evaluation Criteria In Solid Tumors, RECIST), has the potential to offer a more accurate response assessment and prediction of clinical outcomes.”
SALSA was developed and validated on 1,598 contrast-enhanced CT scans of the liver, coming from 1,306 patients with cancer (20% of them without liver tumor burden), accounting for a total of 4,908 liver tumors. The images used for the development and testing of the model came from an internal dataset consisting of 885 CT scans from 593 patients, whereas the external validation data was gathered from four independent open-access repositories.
“The whole dataset comprises a wide range of images, including both primary and secondary tumors with differing sizes and visual characteristics, helping the model’s ability to generalize,” the researchers pointed out. “Both datasets exhibit similar distributions in terms of gender, number of liver tumors, percentage of primary liver cancer patients, and disease burden.”
Image preprocessing and model development
The team developed a preprocessing pipeline to optimize the training process. It included a cropping around the whole liver with Total Segmentator, resampling to 1 mm3 voxel size, and applying a padding to the final scan. To identify the optimal model candidate, it trained three different state-of-the-art DL architectures: Vanilla U-Net, nnU-Net, and TransUNet. These models were evaluated using two approaches: patient-wise evaluation (considering all the tumor burden, volumetric assessment) and tumor-wise evaluation (each individual lesion compared to its corresponding ground truth, defined as the reality you want to model with your supervised machine-learning algorithm).
To evaluate the tool, the authors tested several practical applications. First, the best-performing model was compared with the state-of-the-art, publicly available liver tumor segmentation algorithm. Secondly, a subcohort of 25 patients from the test set was re-segmented by three radiologists, enabling them to compare the detection and segmentation performance of the experts with those of the tool. Also, they developed a software application to assess the radiologists’ preferences between a manual and an automatic contour. Finally, they assessed total tumor volume (TTV) quantification as a prognostic biomarker.
Performance and results
The nnU-Net framework clearly outperformed the other two architectures in segmentation capabilities, making it the representative model for SALSA.
The model showed high accuracy in liver tumor detection with a patient-wise precision of 99.6% and a recall of 94.2% for the external validation cohort. When considering each lesion individually, SALSA obtained a lesion-by-lesion detection precision of 81.7% and a recall of 57.9% in the same dataset, according to the researchers.
In parallel, the tumor masks automatically generated by SALSA exhibit good overlap with the ground truth. Both approaches reported high values in segmentation metrics for the test and external validation cohorts.
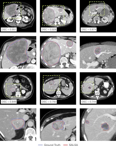
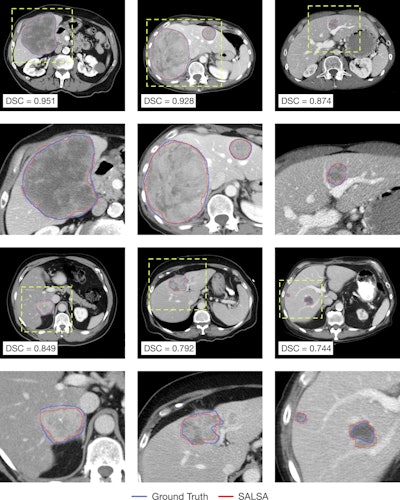
 Visual inspection of the automatically delineated contours. Representative cases of liver tumors delineated by SALSA (red) alongside the ground truth (blue) segmented masks. Yellow-dashed boxes indicate the magnification done for better visualization. Image courtesy of Maria Balaguer-Montero, Dr. Raquel Perez-Lopez et al and presented at ECR 2025.
Visual inspection of the automatically delineated contours. Representative cases of liver tumors delineated by SALSA (red) alongside the ground truth (blue) segmented masks. Yellow-dashed boxes indicate the magnification done for better visualization. Image courtesy of Maria Balaguer-Montero, Dr. Raquel Perez-Lopez et al and presented at ECR 2025.
To explore the variability among radiologists in detecting and delineating liver tumors, the team randomly selected a group of 25 patients from the test cohort. Three radiologists, blinded to the ground truth, delineated all liver tumors in each case. All outlines created by both the radiologists and the models were measured against a ground truth -- specifically, masks segmented manually by the reference expert radiologist (Rad 1) -- allowing the authors to assess the intra- and intervariability among radiologists.
Additionally, for expert validation purposes, a user-friendly web application was developed to allow direct comparison of radiologist preferences between manual segmentations and those generated by the SALSA tool. The application, available at https://radiomics.vhio.net/salsa/, featured the entire liver volume as a scrollable element and allowed for window adjustment and navigation to aid radiologists in accurately evaluating the quality of the contours, depicted over the scan using random colors in order to avoid biasing the choice. Also, a second module for the use of SALSA on any scan is available at the same domain.
“The prognostic value of liver cancer burden was assessed using the automatic quantification of TTV generated by SALSA. Analysis was conducted on data including the test set, 141 patients, and all the cases from the TCIA-CRLM external validation cohort, 197 patients. The association between TTV and clinical outcome in the form of overall survival was studied,” the authors wrote, adding that the results revealed a higher liver cancer burden is associated with a poorer prognosis in both datasets explored.
They acknowledged that the masks considered as ground truth were assessed by only one experienced radiologist per scan, introducing variability, as has been proven in the substudy. Also, the criteria for the segmentation for the external validation cohorts were undisclosed (lesions smaller than 1 cm in diameter were delineated in the ground truth). All the development and test datasets were segmented following RECIST guidelines. Therefore, lesions smaller than 1 cm in diameter are not delineated by SALSA.
The VHIO team also published an article on this topic on 15 April 2025 in Cell Reports Medicine.
You can access the full ECR exhibit on the EPOS website of the ESR. The co-authors of the ECR presentation were Adrià Marcos Morales, Marta Ligero, David Leiva, Luz Maria Atlagich, Nikolaos Staikoglou, Christina Zatse, Camilo Monreal, and Raquel Perez Lopez.




















