
Radiographers have a greater capacity for triaging extracolonic findings at CT colonography after training, but they may still not be of significant support to radiologists, Dutch researchers said at the recent European Congress of Radiology (ECR).
Several modeling studies have shown CT colonography (CTC) to be less cost-effective than other screening options. Radiographers can report findings as well as radiologists, but the radiologist still has to look at the scans for extracolonic findings. Dr. Thierry Boellaard and colleagues from the department of radiology at Academic Medical Center, University of Amsterdam, hypothesized that radiographers could be trained to triage screening CTC for extracolonic findings.
![]() |
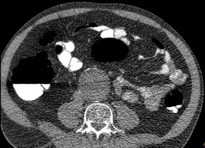
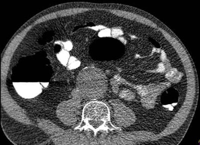
| Image shows a large abdominal aortic aneurysm, which is a relatively easily detectable and common possibly important finding. Image courtesy of Dr. Thierry Boellaard. |
Eight technologists participated in a structured training program that consisted of study assignments and a 16-hour course with presentations, observation of expert reading, and reading 100 unblinded cases. For the final exam, 70% (84/120) of scans with possibly or probably important findings and 69.5% (139/200) without possibly or probably important findings were correctly triaged. The radiographers improved between the first and final exam in identifying possibly important scans (52.3% versus 70.5%).
However, there was no improvement in identifying probably important scans (both were 68.8%). The radiographers' average reading time decreased from 11:51 minutes to 4:13 minutes.
"High accuracy results -- especially high negative predictive value -- are required to justify radiographers reading extracolonic findings," Boellaard told AuntMinnieEurope.com. "At the end of our training, radiographers missed 30% of likely unimportant and possibly important findings, which is indeed too high."
Although the researchers observed a learning effect for the likely unimportant findings, they did not observe improvement for the most important category, the probably important findings; furthermore, radiographers incorrectly triaged 30% of CTC examinations without extracolonic findings as abnormal (i.e., specificity of 70%), he added.
"It is uncertain whether the specificity can increase after additional training," Boellaard said. "With this specificity, a radiologist read for extracolonic findings is required for 30% of the normal examinations. Since radiographers were not trained in differential diagnosis and further workup, a radiologist read is required for the true abnormal examinations as well. In an asymptomatic screening population, this is approximately 10%."
A next step for this research would require defining a more elaborate and/or more effective training program, he said.


















