
11 octobre 2019 -- Le scanner cone beam (ou CBCT) est supérieur à la tomodensitométrie (TDM) pour visualiser l'oreille en cas de surdité de transmission, il pourrait bientôt être remboursé par le système de santé national, ont entendu les participants au congrès national de radiologie: JFR (Journées Françaises de Radiologie).
Jusqu'ici, alors que les CBCT dentaires et sinusiens font partie des examens remboursés, les CBCT de l'oreille ne le sont pas, bien que cette modalité surpasse la tomodensitométrie pour analyser de petites structures telles que l'étrier. Le CBCT de l'oreille est très utile pour la planification pré-chirurgicale de l'oreille moyenne et pour la visualisation du positionnement des implants cochléaires, selon le Pr Francis Veillon, professeur d'imagerie à l'Université de Strasbourg et chef du département d'imagerie viscérale et ORL dans ce CHU.
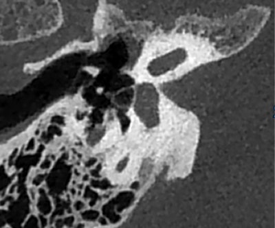
Le CBCT de l'oreille surpasse la tomodensitométrie pour analyser de petites structures telles que l'étrier. L'image est reproduite avec l'aimable autorisation du Pr Veillon."Les excellents résultats obtenus par le CBCT en font un outil indispensable pour les patients malentendants. Ne pas l'utiliser coûte plus cher", a déclaré le Pr Veillon à l'auditoire lors de la journée de formation pré JFR. "Le CBCT joue un rôle crucial dans l'évaluation des patients à opérer ou non."
Le Pr Veillon espère que le CBCT deviendra un outil de routine pour examiner les patients souffrant d'une surdité de transmission. Il prévoit d'insister auprès du gouvernement à la lumière des résultats d'une étude commencée en 2018 comparant la résolution du CBCT à celle de la TDM incluant des cas d'autres centres (Amiens, Bruges, Lille, Paris, Strasbourg et Toulouse) en 2020. Il espère une décision positive du gouvernement en matière de remboursement en 2021.















