
Gadopiclenol at half the dose of gadobutrol is just as effective for lesion evaluation on contrast-enhanced body MRI examinations, a research group led by Prof. Dr. Christiane Kuhl, PhD, from Aachen University Hospital in Germany has reported.
The findings suggest that gadopiclenol shows promise as an alternative to other gadolinium-based contrast agents (GBCAs), which have prompted some concern about the potential for kidney injury, they explained in a study published on 18 July in Radiology.
"Gadopiclenol offers a substantially higher relaxivity than current state-of-the-art GBCAs," Kuhl and colleagues noted. "Accordingly, gadopiclenol could be used at a dose lower than that approved for other current GBCAs."
The high stability of gadopiclenol and lower injected dose make it suitable for patients who undergo repeated contrast-enhanced MRI examinations, such as hepatic MRI for the surveillance of patients with liver cirrhosis or cerebral MRI for patients with multiple sclerosis, they added. Also, when contrast-enhanced MRI is used on a population-wide scale, environmental issues will become even more important because GBCAs are excreted via the urinary tract and thus enter the wastewater.
Contrast-enhanced breast MRI with gadopiclenol (0.05 mmol/kg) and gadobutrol (0.1 mmol/kg). Subtraction of axial 3-D T1-weighted dynamic contrast-enhanced MRI scans in a 55-year-old woman with invasive breast cancer, no special type; images were acquired immediately after (A) gadopiclenol administration at 0.05 mmol/kg and (B) gadobutrol administration at 0.1 mmol/kg. All images and captions courtesy of Prof. Dr. Christiane Kuhl and the RSNA."This is the ideal contrast agent for healthy people who will predictably require repetitive contrast agent injections such as women with extremely dense breast tissue who undergo breast MRI for screening," Kuhl told AuntMinnieEurope.com. "This is where I see the most important use of this new contrast agent."
Study logistics
GBCAs are generally considered safe, with adverse reactions reported in 0.07% to 2.4% of cases (which tend to be mild), the authors wrote. But gadolinium can remain in the body -- especially in those with impaired kidney function -- which can lead to nephrogenic systemic fibrosis. To avoid this complication, researchers have sought to develop contrast agents that don't deposit into body tissues, such as gadopiclenol, a nonionic macrocyclic GBCA.
Kuhl's group compared the performance of gadobutrol to gadopiclenol for lesion evaluation via a study that included 260 participants who underwent both gadopiclenol- and gadobutrol-enhanced MRI and had at least one identified lesion. Most patients presented with neoplasms (66%), and the most frequent of these were liver metastases and breast cancer.
The gadopiclenol exam was performed with 0.05 mmol/kg of contrast, while the gadobutrol exam was performed with 0.1 mmol/kg. The exams were read by 18 readers divided into three reading groups to compare the two contrast agents.
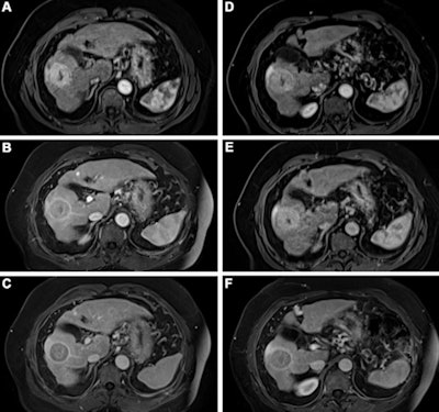
Contrast-enhanced MRI of the liver after administration of gadopiclenol (0.05 mmol/kg) and gadobutrol (0.1 mmol/kg). Axial 3D T1-weighted dynamic contrast-enhanced MRI scans during the (A, D) arterial, (B, E) portal venous, and (C, F) delayed phases in a 66-year-old man with hepatocellular cancer. Images were obtained after administration of gadopiclenol at 0.05 mmol/kg (in A, B, and C) or gadobutrol at 0.1 mmol/kg (in D, E, and F).The investigators found that gadopiclenol at half the dose of gadobutrol performed comparably for all qualitative visualization parameters and for all readers. The majority of readers across the three groups (ranging from 75% to 83%) reported no preference between the two agents for image quality.
The researchers also reported that the 28 adverse events (12 in patients who received gadopiclenol and 16 in patients who received gadobutrol) were comparable in frequency, intensity, and type. Milder adverse events included injection site pain, nausea, headache, vomiting, and extravasation. There was one acute kidney injury after the use of gadobutrol and one case of renal failure.
The study findings could translate into better patient care, according to the authors.
"[Our] findings suggest that macrocyclic contrast agents with high relaxivity, like gadopiclenol, should preferably be used for contrast-enhanced MRI, in particular for individuals who require multiple contrast-enhanced MRI examinations and for susceptible individuals, such as pediatric patients and patients with impaired renal function," they concluded.
Clinicians must continue to discern which agent is best for their patients, taking cost into consideration, wrote Mustafa Bashir, MD, of Duke University in Durham, NC, U.S., and colleague Kerry Thomas, MD, of the University of North Carolina at Chapel Hill, in an accompanying commentary.
"As with all medical decision-making, the potential benefits of any new pharmaceutical agent, including GBCAs, must be weighed against costs," they noted.
The complete study can be found here.

















