
A virtual training scheme designed to teach radiographers how to interpret CT colonography (CTC) exams is showing some signs of success. This provides further evidence that involving radiographers in colorectal cancer screening may allow double reading and lead to substantial cost savings -- as long as they are supervised by a radiologist.
In a study published online March 11 by the European Journal of Radiology, five radiographers underwent a teletraining program on CTC based on interpretation of 75 cases. The group had no experience with CTC and only very basic knowledge of colonic anatomy and pathology, although they had practical experience of abdominal CT and barium enema procedures (EJR, March 11, 2011).
After initial training, good sensitivity and positive predictive value (PPV) were obtained for polyps with a diameter of more than 6 mm, according to lead author Carsten Lauridsen, from the department of radiography education at Copenhagen's Metropolitan University College. In the training cases, overall per-polyp sensitivity was between 57% and 69.1%. Overall per-patient sensitivity, specificity, and PPV sensitivity was between 78.3% and 86.4%. In the test cases, overall per-polyp sensitivity was between 80.7% and 94.7%, and overall per-patient sensitivity, specificity, and PPV were between 64% and 92.9%.

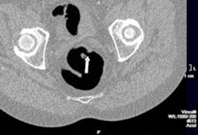
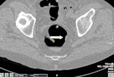
Example of a test case with two subtle rectal lesions in the rectum. Left: The small 7-mm polyp was detected by four out of five readers. Right: The 1-cm lesion with flat morphology was detected by all readers. This lesion was a flat cancer. Images courtesy of Dr. Philippe Lefere."The same radiographers were further evaluated in a larger study, also with good results," said co-author Dr. Philippe Lefere, a radiologist at Stedelijk Ziekenhuis in Roeselare, Belgium. "The program is conceived so that the novices perform the 75 examination themselves, and this allows them to learn the technique. We supervise each examination, and afterwards they are tested."
The authors admit the results cannot be generalized because of the low number of radiographers, and they concede further studies are necessary. Also, the radiographers were tested on only 20 cases. There were a total of 27 polyps with a diameter of more than 6 mm, meaning the radiographers were more alert to polyp detection compared with a screening setting with low disease prevalence.
Furthermore, the gold standard for the training cases was the report after consensus reading by two CTC experts, and this could have resulted in some false-negative and false-positive findings. In addition, the training was performed during 34 weeks in 2009, and such a long period could have had a detrimental impact on the final results.
Overall, however, this is a dynamic and effective approach, although it is not strictly a commercially available program, Lefere noted. No other radiographers have so far been educated, but the scheme is being used for radiologists.
















