Bone suppression detects more lung nodules on chest x-rays

2016 03 04 11 43 35 180 2016 03 04 Bone Suppression 20160304184402

VIENNA - Bone suppression can improve radiologists' detection of lung nodules on chest radiographs, according to a presentation this week at ECR 2016. The mean sensitivity improved significantly with the addition of the technique, the researchers found.

As with all cancers, the early detection of lung cancer is beneficial for survival. Solid nodules detected by chest radiography could affect lung cancer staging, and because of its low radiation dose, chest radiography is the most commonly used method for detecting lung nodules.

However, chest x-ray can miss anywhere from 19% to 26% of lung cancers, depending on the region, according to Dr. Yun Wang from the department of radiology at Shanghai Changzheng Hospital.

"A major cause of radiologists' missed lung cancer is obscuration of overlying bone structures," she said. "Fortunately, a new technique emerged."

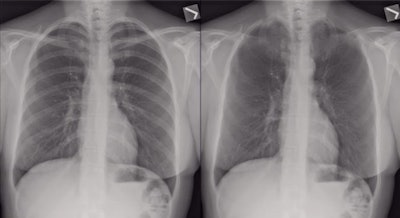
The technique is bone suppression imaging, in which a postprocessing bone suppression algorithm can be used to suppress the conspicuity of bones on chest radiographs to create corresponding bone suppression chest images.

Left, chest radiograph; right, bone suppression. Image courtesy of Dr. Yun Wang.Left, chest radiograph; right, bone suppression. Image courtesy of Dr. Yun Wang.

In their observer study, the researchers included 95 standard, posteroanterior digital chest radiographs from patients with a solitary nodule confirmed by CT and 46 control subjects. Four observers -- two radiologists and two residents -- indicated their confidence level regarding the presence of a nodule for each lung on a scale of 1 to 5, with 1 being not suspicious and 5 being definitely suspicious.

They indicated their confidence levels first with the standard images and then with the addition of bone suppression images. The locations of the lung nodules on the chest x-rays were identified by consensus by two other radiologists who did not participate in the observer study, with all of the nodules confirmed by CT.

The average nodule size was 28 ± 10 mm (range, 9-49 mm). The 95 nodules were all solid nodules, and 91 were obscured by the clavicle or ribs. The mean value of the area under the receiver operator characteristics (ROC) curve for the four observers significantly improved from 0.844 with the standard images alone to 0.887 with the bone suppression images (p < 0.001).

The mean sensitivity for the four observers also significantly improved, from 73% with standard radiographs alone to 78% with the additional bone suppression images. Specificity increased with the bone suppression images from 83% to 84.5%.

The sensitivity in the study was higher than previously reported in the literature because the chest x-rays had better image quality, and also possibly because the study included larger lung nodules. Specificity increased with bone suppression possibly because incomplete suppression decreased due to a better algorithm, or the number of false-positive nodules decreased on bone suppression images, she said.

Bone suppression can be used to improve the detection of lung nodules on chest x-rays, the researchers concluded.

Page 1 of 138
Next Page