
A training workshop about pediatric radiology will be held in Dresden, Germany, on 28 and 29 March. In this interview, Dr. Gabriele Hahn, the scientific lead and a specialist in pediatric radiology at the Dresden University Clinic, discusses the relative importance of pediatric radiology in Germany and what the event has to offer.
German Radiological Society (Deutsche Röntgengesellschaft, DRG): Where does pediatric radiology in Germany stand in 2014?
Dr. Gabriele Hahn would like to see more pediatric radiologists in Germany.
Hahn: In a problematic situation, unfortunately! For a number of years now, pediatric radiologists at universities and at major pediatric clinics have really had their work cut out, mainly just in holding their ground and safeguarding staffing for this area of practice. It is often the case that many departments have lost their independence -- and with that, it has also become a great deal more difficult to find a way of preparing the next generation. As a result, the number of practicing pediatric radiologists in Germany is declining all the time. This trend first emerged around 20 years ago, but it has become more acute, to the extent that only a few individuals have stuck with pediatric radiology.
Why has all this happened?
Compared with general radiology or neuroradiology, pediatric radiology is a field that is not particularly lucrative financially. In addition, there is not much research going on in this field, and this is for a number of reasons. What we would really like to see, therefore, is radiology, pediatrics, and pediatric surgery attaching greater importance overall to pediatric radiology, viewing it as a small, niche field that is a real necessity.
What characterizes a good pediatric radiologist?
A real clinical feel for the work, coupled with a "radiological eye." Pediatric radiologists need a thorough knowledge of childhood disorders because these differ widely from their adult counterparts. Furthermore, when dealing with children it is a fundamental necessity that practitioners give greater thought to radiation doses, because children are far more sensitive to radiation than adult patients are. Their tissue is still growing and there are also matters of reproduction to consider, so a particularly close watch needs to be kept, to ensure that the smallest possible amounts of radiation are used. This means using caution and having a reliable indication before opting for x-ray and CT scanning for investigations.
The upshot of this is that, as a pediatric radiologist, one must have a particularly sound knowledge of MRI and ultrasound techniques. Research in these fields is therefore also of particular importance for pediatric radiologists.
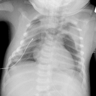
Full-term newborn after cesarean section with pneumomediastinum and pneumothorax on both sides. Image courtesy of Dr. Gabriele Hahn.How would you like to see pediatric radiology develop in Germany?
It would be good if we could have a stronger interdisciplinary culture and better communication. In Dresden, the medical disciplines that provide pediatric care work well with pediatric radiology, with a good sense of shared purpose, and this leads to correct diagnoses. That is satisfying, both to medical staff in their work and to younger patients and their parents. What is important, however, is an appropriate level of financial support for pediatric radiology departments, which need to be appropriately equipped. In order to be suitable for pediatric use, we need to have the right radiological devices to hand, tailored in each case to the age of the child.
In terms of knowledge, what will people gain from attending your event, "Pediatric Radiography -- what is needed today?" [Röntgen im Kindesalter -- was ist noch zeitgemäß?]?
This will be the sixth time that our continuing education event on pediatric radiology will have been held in Dresden. At this event, we are looking to provide an alternative thematic focus. We will be spending our time either on specific imaging methods or on a variety of clinical issues surrounding childhood illnesses.
In March, our focus will be upon conventional x-ray investigations during childhood. Assessing pediatric x-rays is one of the most difficult tasks, calling for a great deal of clinical and radiological experience. From my lengthy experience as a pediatric radiologist, I can tell that a lot of colleagues, radiologists, and clinicians who have not had appropriate training find it difficult to reach the correct diagnosis or to come up with normal findings. There are, in fact, major differences between children and adults. A finding that is normal in a child can be pathological in an adult, even a suspected tumor. Furthermore, children are not little adults.
Our focus at this event will be to deal with basic knowledge of pediatric radiology: In technical terms, where does pediatric radiology stand today? What disorders can be diagnosed using radiography? Under what circumstances is a particular image enough to make the right diagnosis, and when are further investigations going to have to be undertaken? At this event, we will not be talking just with pediatric radiologists, but also with doctors, primarily as they go through their continuing radiology and pediatrics education, and with pediatric surgeons and any others with an interest here.
Editor's note: This article is an edited version of a translation of an interview carried out in German and published online by the German Radiological Society (DRG,Deutsche Röntgengesellschaft). Translation by Syntacta Translation & Interpreting.


















